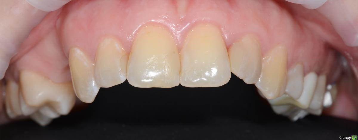
Foxtrot Опубликовано 29 августа, 2018 Поделиться Опубликовано 29 августа, 2018 Доброго времени суток! Как думаете стоит ли устанавливать 2 импланта, удастся ли добиться эстетики мягких тканей? Как бы вы поступили в данной ситуации? У меня пока 3 варианта:1) нкр + импланты - первым этапом, десна - вторым.2) нкр + сст - первым, времянки и еще десна (по ситуации) - вторым.3) 1 имплант, сст, времянка с консолью.Все в один этап как-то страшновато. Ссылка на комментарий
x4ex Опубликовано 29 августа, 2018 Поделиться Опубликовано 29 августа, 2018 (изменено) По всей видимости между экваторами 13 и 16 там около 10мм. Исходя из этого, я бы пошёл по 3 варианту с одним имплантатом нормальной ширины в области 15, только без немедленной нагрузки. Изменено 29 августа, 2018 пользователем x4ex Ссылка на комментарий
kamranchick Опубликовано 29 августа, 2018 Поделиться Опубликовано 29 августа, 2018 Можно ещё посмотреть как получится если через шаблон поставить астру 3.02 штуки Либо Штрауманн 2.9 2 штуки.Без Нкр с сст Ссылка на комментарий
Тимур86 Опубликовано 29 августа, 2018 Поделиться Опубликовано 29 августа, 2018 ощущение что Вы чуть недомерили кость Ссылка на комментарий
Podarev Опубликовано 29 августа, 2018 Поделиться Опубликовано 29 августа, 2018 Судя по фото пациент девушка. Какие эстетические требования предъявляет? Менее рисково по третьему плану пойти, но готовиться к высокой коронке на 14. В случае широкой улыбки могут возникать вопросы. Теоретически два по 3.0 проходят, но тогда все четко ставить надо Ссылка на комментарий
Bier Опубликовано 29 августа, 2018 Поделиться Опубликовано 29 августа, 2018 3й вариант, возможно без нагрузки Ссылка на комментарий
johniola Опубликовано 29 августа, 2018 Поделиться Опубликовано 29 августа, 2018 1 ИМПЛАНТ+ССТ+ 6 МЕСЯЦЕВ ЖДЁМ + КОНСОЛЬ Ссылка на комментарий
Foxtrot Опубликовано 29 августа, 2018 Автор Поделиться Опубликовано 29 августа, 2018 ощущение что Вы чуть недомерили кость прошу прощения. Без очков не вижу Ссылка на комментарий
Foxtrot Опубликовано 29 августа, 2018 Автор Поделиться Опубликовано 29 августа, 2018 Судя по фото пациент девушка. Какие эстетические требования предъявляет? Менее рисково по третьему плану пойти, но готовиться к высокой коронке на 14. В случае широкой улыбки могут возникать вопросы. Теоретически два по 3.0 проходят, но тогда все четко ставить надоДа, вы правы, пациент девушка 30 лет. Эстетические требования - умеренно высокие. По поводу третьего варианта, интересует долговечность конструкции, где-то читал что имеют место быть раскручивания и переломы. Ссылка на комментарий
Foxtrot Опубликовано 29 августа, 2018 Автор Поделиться Опубликовано 29 августа, 2018 Всем спасибо за ответы! Сам пока склоняюсь к 1 варианту с установкой по шаблону. Ссылка на комментарий
Рекомендуемые сообщения
Для публикации сообщений создайте учётную запись или авторизуйтесь
Вы должны быть пользователем, чтобы оставить комментарий
Создать аккаунт
Зарегистрируйте новый аккаунт в нашем сообществе. Это очень просто!
Регистрация нового пользователяВойти
Уже есть аккаунт? Войти в систему.
Войти