dashkovski Опубликовано 24 августа, 2018 Поделиться Опубликовано 24 августа, 2018 (изменено) Дорогие коллеги! Подскажите что делать. Пришёл мальчик 10 лет, 4 июля произошёл перелом и вколоченный вывих 21 зуба. Они обратились в одну из клиник нашего города, там им сделали ОПГ и почему то реплантацию сразу не провели, а поставили частичную брекет систему и приклеили кнопку на вколоченный зуб, при этом дугу поставили очень слабую 014NiTi . Спустя месяц они пришли ко мне на приём, решив что в той клинике им ни чем не помогли. Я поменяла дугу на более жесткую 16\22 NiTi, но спустя 3 недели никаких изменений не произошло, разве что соседние зубы начали подниматься, по снимку передний отдел виден не четко, но все же. И похоже на развивающийся периодонтит. Есть ли смысл сейчас реплантировать зуб и депульпировать и протезировать? Хотелось бы его сохранить до 18 лет Изменено 24 августа, 2018 пользователем dashkovski Ссылка на комментарий
Nazim_NV86 Опубликовано 24 августа, 2018 Поделиться Опубликовано 24 августа, 2018 Неплохо было бы посмотреть на состояние десны около 21. Наличие отёчности и выделений и т.д. RVG прикрепить. По поводу фиксации брекетами, думаю этого недостаточно. К 11 хотя бы СОМ приклеить не помешает. Ссылка на комментарий
Дмитрий Л. Опубликовано 24 августа, 2018 Поделиться Опубликовано 24 августа, 2018 Что с пульпой? Ссылка на комментарий
dashkovski Опубликовано 24 августа, 2018 Автор Поделиться Опубликовано 24 августа, 2018 ЭОД никто не делал, скорее всего там и пульпит и периодонтит и анкилоз уже, потому как такие зубы обычно за 1-2 дня вытягиваются. Отечность десны есть, но без выделений. 1 Ссылка на комментарий
Дмитрий Л. Опубликовано 24 августа, 2018 Поделиться Опубликовано 24 августа, 2018 Тоесть пульпа не оголена? Ссылка на комментарий
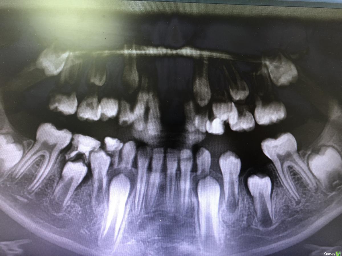
red_butler Опубликовано 25 августа, 2018 Поделиться Опубликовано 25 августа, 2018 Коллеги, я смотрел этого пациента. Зуб вколочен полностью, слизистая спокойная, отделяемого нет, на рвг перелом коронарной части на 1/2, эод провести не возможно. Снимок смогу прикрепить в понедельник 2 Ссылка на комментарий
red_butler Опубликовано 27 августа, 2018 Поделиться Опубликовано 27 августа, 2018 нимок смогу прикрепить в понедельник Ссылка на комментарий
red_butler Опубликовано 28 августа, 2018 Поделиться Опубликовано 28 августа, 2018 up Ссылка на комментарий
Джима Опубликовано 28 августа, 2018 Поделиться Опубликовано 28 августа, 2018 анкилоз 100%, я бы делала эндо с мта, потом кт - найти зоны анкилоза, потом можно попробовать пьезотомом рассечь эти зоны и выставить зуб в нормальное положение, месяц в брекетах, пока новый анкилоз произойдет, потом реставрация. И сказать родителям, чтоб готовились к имплантации, это уже не зуб, а времянка(( 3 Ссылка на комментарий
CRAZYDUCK Опубликовано 31 августа, 2018 Поделиться Опубликовано 31 августа, 2018 Мне кажется проще декоронацию сделать . Ссылка на комментарий
Дмитрий Л. Опубликовано 31 августа, 2018 Поделиться Опубликовано 31 августа, 2018 А как дело идёт? Тянется? Ссылка на комментарий
Бендер Опубликовано 3 сентября, 2018 Поделиться Опубликовано 3 сентября, 2018 И снова третье сентября... Ссылка на комментарий
red_butler Опубликовано 3 сентября, 2018 Поделиться Опубликовано 3 сентября, 2018 И снова третье сентября...Мальчишку передали коллегам, в моем филиале нет лицензии на детство, будут новости отпишусь Ссылка на комментарий
Рекомендуемые сообщения
Для публикации сообщений создайте учётную запись или авторизуйтесь
Вы должны быть пользователем, чтобы оставить комментарий
Создать аккаунт
Зарегистрируйте новый аккаунт в нашем сообществе. Это очень просто!
Регистрация нового пользователяВойти
Уже есть аккаунт? Войти в систему.
Войти