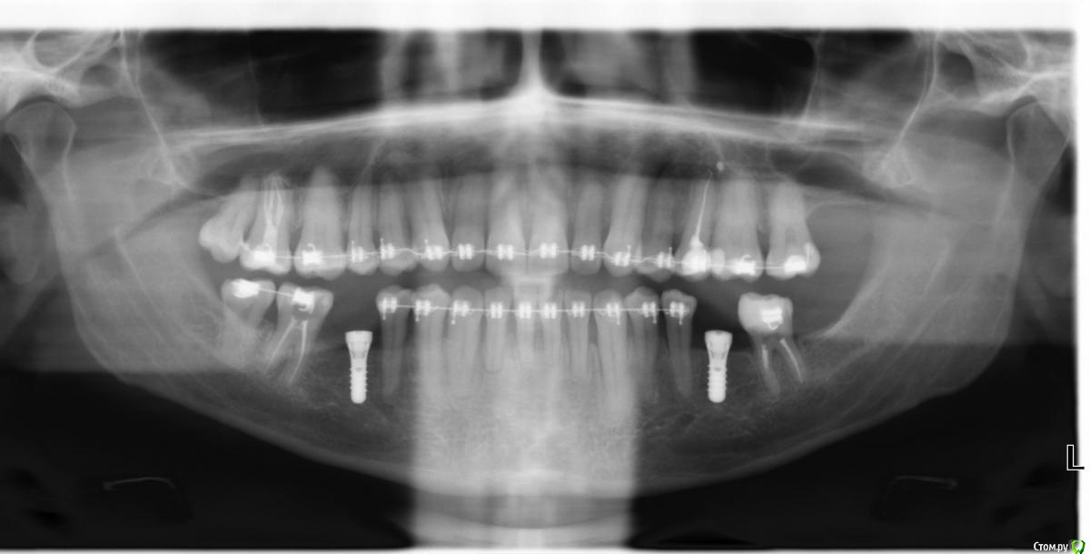
Михаил Н. Опубликовано 23 августа, 2018 Поделиться Опубликовано 23 августа, 2018 Всем доброго здравия! Меня зовут Михаил, и у меня к вам, по-видимому, достаточно мудрёный вопрос) 14 июня я сделал имплантацию, двумя имплантами Straumann в область нижней челюсти.И где-то через две недели у меня начались странные ощущения в области шеи и глотки.Словно посторонний предмет застрял на уровне кадыка, плюс боль.В глотке ощущения, что жжет и болит. Воспалилось верхнее нёбо и задняя часть языка и тоже жжет и болит.Из-за этого пришлось 3 июля снять брекет-систему, хотя лечение и не было завершено. Спустя пару недель добавился сухой кашель, а недавно стало временами закладывать нос.Без выделений. И появилось новое ощущение - быстрая утомляемость при жевании. Уже побывал в больнице, где проверили, что это не щитовидка, не сердце, не лор-патология,и не бытовая аллергия. Аллергологи заявляют, что точный тест на титан и цирконий ничего не даст, слишком много сложностей. Мой стоматолог говорит, что импланты в порядке, не отторгаются. Нижнечелюстной нервне повреждён. СОИ не повышен - то есть воспаления нет. Однако получается, что симптомы потихоньку нарастают.Неврологи говорят - тревожное состояние и выписывают успокоительные. Которые не влияют ни на что)Был у фониатра - она сказала, что воспаление действительно есть, но отчего - не знает. Возможно и зубы. Может ли это быть тот самый случай индивидуальной непереносимости имплантов, или металлов в их составе?Или вялотекущей аллергии, или какой-нибудь гальваники.Это вроде бы материал Roxolid, то есть там Титан и Цирконий.И, если так, то выход у меня, насколько понимаю только один - удаление? Снимок (еще с брекетами) добавил Ссылка на комментарий
Bier Опубликовано 23 августа, 2018 Поделиться Опубликовано 23 августа, 2018 Причина может быть и не в них, но реально выяснить ее не просто. Попробуйте эксплантировать их, пока не приросли совсем. Накладно конечно, но что делать. Ссылка на комментарий
Михаил Н. Опубликовано 23 августа, 2018 Автор Поделиться Опубликовано 23 августа, 2018 Причина может быть и не в них, но реально выяснить ее не просто. Попробуйте эксплантировать их, пока не приросли совсем. Накладно конечно, но что делать.Накладные расходы и так только растут. Да, жалко, но вариантов нет.Беда в том, что пара докторов, с которыми я общался по поводу удаления имплантов говорят, что это очень травматично, и можно ухудшить положение. Ссылка на комментарий
hogsmeed Опубликовано 23 августа, 2018 Поделиться Опубликовано 23 августа, 2018 Формирователи ставили сразу? Ссылка на комментарий
Михаил Н. Опубликовано 23 августа, 2018 Автор Поделиться Опубликовано 23 августа, 2018 Формирователи ставили сразу?Да, сразу же. Ссылка на комментарий
hogsmeed Опубликовано 23 августа, 2018 Поделиться Опубликовано 23 августа, 2018 (изменено) Не пробовали их выкрутить на пару дней? Там другой по составу металл Изменено 23 августа, 2018 пользователем hogsmeed Ссылка на комментарий
Михаил Н. Опубликовано 23 августа, 2018 Автор Поделиться Опубликовано 23 августа, 2018 Не пробовали их выкрутить на пару дней? Там другой по составу металлА что, так можно было?! Я не знал, и никто не говорил.Попробую. Скажите, а что, действительно операция по выемке имплантов считаетсятакой травматичной? Ссылка на комментарий
hogsmeed Опубликовано 23 августа, 2018 Поделиться Опубликовано 23 августа, 2018 Состав формирователей десны может различаться от фирмы к фирме, я бы исключил аллергию на них в первую очередь. Лекарства от аллергии помогают?Импланты приросли хорошо, вынимать их будет не просто, прошло уже больше 2-х месяцев, мы протезировать начинаем на таком сроке Ссылка на комментарий
Михаил Н. Опубликовано 23 августа, 2018 Автор Поделиться Опубликовано 23 августа, 2018 Состав формирователей десны может различаться от фирмы к фирме, я бы исключил аллергию на них в первую очередь. Лекарства от аллергии помогают?Импланты приросли хорошо, вынимать их будет не просто, прошло уже больше 2-х месяцев, мы протезировать начинаем на таком срокеЛекарства от аллергии по-моему вообще никак не влияют.Это странно, но вот так. Ссылка на комментарий
hogsmeed Опубликовано 23 августа, 2018 Поделиться Опубликовано 23 августа, 2018 А лор сказал все чисто? Ссылка на комментарий
Михаил Н. Опубликовано 23 августа, 2018 Автор Поделиться Опубликовано 23 августа, 2018 (изменено) Лор говорит что есть хронический фарингит, но он не может давать такую картину боли. Кроме того - боль в полтора месяца? Тут или бы все уже развилось в какое-нибудь нагноение, или прошло.То же говорит фониатр. Изменено 23 августа, 2018 пользователем Михаил Н. Ссылка на комментарий
колесников Опубликовано 23 августа, 2018 Поделиться Опубликовано 23 августа, 2018 УЗИ щитовидной,мрт шеи делали? Ссылка на комментарий
Михаил Н. Опубликовано 24 августа, 2018 Автор Поделиться Опубликовано 24 августа, 2018 (изменено) УЗИ щитовидной,мрт шеи делали?Узи щитовидки и всё гормоны сделал. Не она.МРТ шеи не делал. Только КТ грудной клетки и трахеи. Ничего плохого не обнаружили.Кстати, когда узнавал про МРТ - сказали, что МРТ шеи не бывает. Только КТ. Изменено 24 августа, 2018 пользователем Михаил Н. Ссылка на комментарий
Михаил Н. Опубликовано 24 августа, 2018 Автор Поделиться Опубликовано 24 августа, 2018 Завтра иду на операцию. Пожелайте мне удачи.Все очень тяжело(( Ссылка на комментарий
колесников Опубликовано 24 августа, 2018 Поделиться Опубликовано 24 августа, 2018 Кт мягкие ткани не показывает. Отпишитесь о результатах. Будьте здоровы! Ссылка на комментарий
Михаил Н. Опубликовано 26 августа, 2018 Автор Поделиться Опубликовано 26 августа, 2018 Кт мягкие ткани не показывает. Отпишитесь о результатах. Будьте здоровы!Я не очень знаю, в чем разница между КТ и МРТ. Однако обзвонил все серьезные центры в Москве, и везде сказали, что делают только КТ шеи и глотки. Возможно, я просто не нашел нужную клинику. Операция прошла удачно, хотя я пока удалил только один имплант. Сделал под седацией, очень забавная, но не сильно помогающая штука.И, судя по тому, как отреагировал организм - почти словил Паническую Атаку.То есть где-то в организме затаилось коварное ВСД. Ссылка на комментарий
kramer Опубликовано 26 августа, 2018 Поделиться Опубликовано 26 августа, 2018 То есть где-то в организме затаилось коварное ВСД. ВСД не существует Ссылка на комментарий
gum Опубликовано 30 августа, 2018 Поделиться Опубликовано 30 августа, 2018 Как ваши дела? Что-то изменилось? Ссылка на комментарий
Михаил Н. Опубликовано 31 августа, 2018 Автор Поделиться Опубликовано 31 августа, 2018 ВСД не существует Я знаю, что она не включена в список воз.Тогда это Вегето сосудистый невроз. А имплантация стала триггером Ссылка на комментарий
Михаил Н. Опубликовано 31 августа, 2018 Автор Поделиться Опубликовано 31 августа, 2018 Как ваши дела? Что-то изменилось?Операция стала еще одним стрессом, и не принесла облегчения, увы. Но - неважно, что это аллергия или нервы или сосуды - выпутываться мне придется очень долго. Ссылка на комментарий
Irouil Опубликовано 2 сентября, 2018 Поделиться Опубликовано 2 сентября, 2018 Но - неважно, что это аллергия или нервы или сосуды - выпутываться мне придется очень долго.Если очень хочется - безусловно. Ссылка на комментарий
Михаил Н. Опубликовано 2 сентября, 2018 Автор Поделиться Опубликовано 2 сентября, 2018 Если очень хочется - безусловно.А хочется, чтобы быстро, естественно. Было бы странно утверждать обратное Ссылка на комментарий
Рекомендуемые сообщения
Для публикации сообщений создайте учётную запись или авторизуйтесь
Вы должны быть пользователем, чтобы оставить комментарий
Создать аккаунт
Зарегистрируйте новый аккаунт в нашем сообществе. Это очень просто!
Регистрация нового пользователяВойти
Уже есть аккаунт? Войти в систему.
Войти