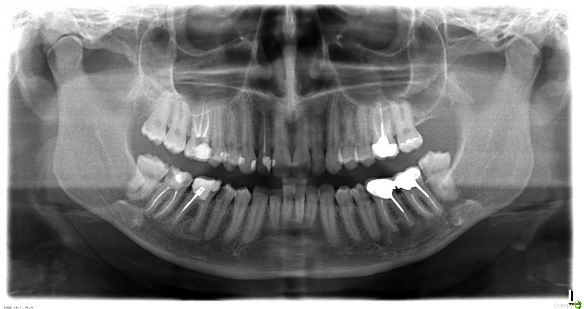
AnnaVA Опубликовано 19 августа, 2018 Поделиться Опубликовано 19 августа, 2018 (изменено) Здравствуйте! Помогите пожалуйста разобраться, что за образование над зубом. Около пяти лет назад случайно обнаружила шишку на десне над зубом (по схеме из интернета зуб 14:-). Диаметр примерно 1 см. Сделала ОПТГ. По ней никто из врачей, щупавших и смотревших шишку, ничего определенного не сказал. Один из хирургов сказал, что ничего страшного, обычная киста от плохого зуба, который следует залечить. Само образование, если не беспокоит, можно не трогать. Собственно меня это образование сильно не беспокоило. Редко поднывало после прогулок в мороз. Не более. По совету хирурга были пролечены все проблемные зубы на этой стороне, однако зуб, над которым располагается шишка, терапевт не стала трогать, мотивировав тем, что выглядит он нормально, а темный цвет обусловлен пломбой, которая в нем находится. За пять лет размер и форма не менялись. На данный момент образование практически не беспокоит, но на одном из снимков видно, что там отсутствует костная ткань. Вопрос: что это за образование и насколько оно опасно? Также на ОПТГ видны гранулемы(?) на нижней челюсти. Одна на корне зуба со штифтом, вторая под зубом с коронкой. Как быть с ними? Терапевт считает, что при попытке вытащить штифт корень сломается. Штифт стоит там уже лет 20. С коронкой все видимо еще сложнее. Зубы не беспокоят. Буду очень признательна за ваше мнение. Есть КТ. Изменено 19 августа, 2018 пользователем AnnaVA Ссылка на комментарий
AnnaVA Опубликовано 22 августа, 2018 Автор Поделиться Опубликовано 22 августа, 2018 Здравствуйте! Удалите тему пожалуйста. Ссылка на комментарий
Bier Опубликовано 22 августа, 2018 Поделиться Опубликовано 22 августа, 2018 темы мы не удаляем.Над 14 зубом ничего не вижу, можете стрелкой показать? Ссылка на комментарий
AnnaVA Опубликовано 22 августа, 2018 Автор Поделиться Опубликовано 22 августа, 2018 темы мы не удаляем.Над 14 зубом ничего не вижу, можете стрелкой показать?Здравствуйте еще раз! Сегодня была у стоматолога. Над 14 зубом воспаления не видно из-за гайморовой пазухи. Убрали старую пломбу и нерв, из-за которого видимо и возникла проблема. Точнее нерв пострадал из-за близкого расположения пломбы. Почистили каналы и заложили лекарство. Будем ждать результат. 1 Ссылка на комментарий
Bier Опубликовано 22 августа, 2018 Поделиться Опубликовано 22 августа, 2018 на нижних зубах грамотный доктор сможет сделать резекцию верхушки с ретроградной пломбировкой.А может и сможет достать штифты. Ссылка на комментарий
AnnaVA Опубликовано 23 августа, 2018 Автор Поделиться Опубликовано 23 августа, 2018 на нижних зубах грамотный доктор сможет сделать резекцию верхушки с ретроградной пломбировкой.А может и сможет достать штифты.Да, нижние шестерки планируем попробовать перелечить. Спасибо! Ссылка на комментарий
Рекомендуемые сообщения
Для публикации сообщений создайте учётную запись или авторизуйтесь
Вы должны быть пользователем, чтобы оставить комментарий
Создать аккаунт
Зарегистрируйте новый аккаунт в нашем сообществе. Это очень просто!
Регистрация нового пользователяВойти
Уже есть аккаунт? Войти в систему.
Войти