Перейти к содержанию
Стоматология для всех

Кариес+Прикус


Alex1808

Рекомендуемые сообщения

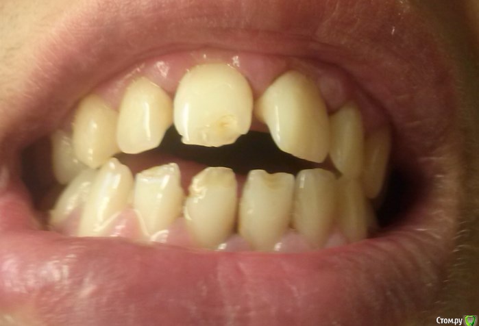
Здравствуйте,имею открытый прикус,но изначально обращался к врачам по поводу устранения кариеса и реставрации на передних 4 зубах (1 верхний и 3 нижних).

Ходил в разные местные клиники,в одних предлагают сначала поставить брекеты,а потом лечить желтизну/ставить виниры/компониры,в других сразу предлагают ставить компониры (видимо нету ортодонта).

Сам хочу сначала убрать/замазать/восстановить передние зубы (пусть не до уровня вкладок,но хотя бы привести их в божеский вид),а потом уже ставить на них брекеты,так как торчащие из под брекетов несколько лет желто-оранжевые сколы не соотносятся с общей целью улучшения улыбки и самочувствия.

Можно ли до брекетов как-то их отреставрировать?

Большое спасибо за ответы.

P.S зубы не болят,в реальности цвет дефектов на пораженных зубах темнее и глубже,чем на фото.

 

post-55724-0-65086700-1534588269_thumb.jpg

post-55724-0-15372600-1534588412_thumb.jpg

post-55724-0-06777800-1534588427_thumb.jpg

Ссылка на комментарий

Для публикации сообщений создайте учётную запись или авторизуйтесь

Вы должны быть пользователем, чтобы оставить комментарий

Создать аккаунт

Зарегистрируйте новый аккаунт в нашем сообществе. Это очень просто!

Регистрация нового пользователя

Войти

Уже есть аккаунт? Войти в систему.

Войти
×
×
  • Создать...
Вверх