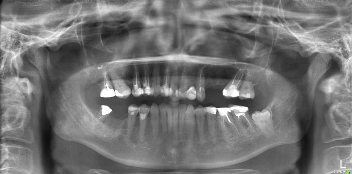
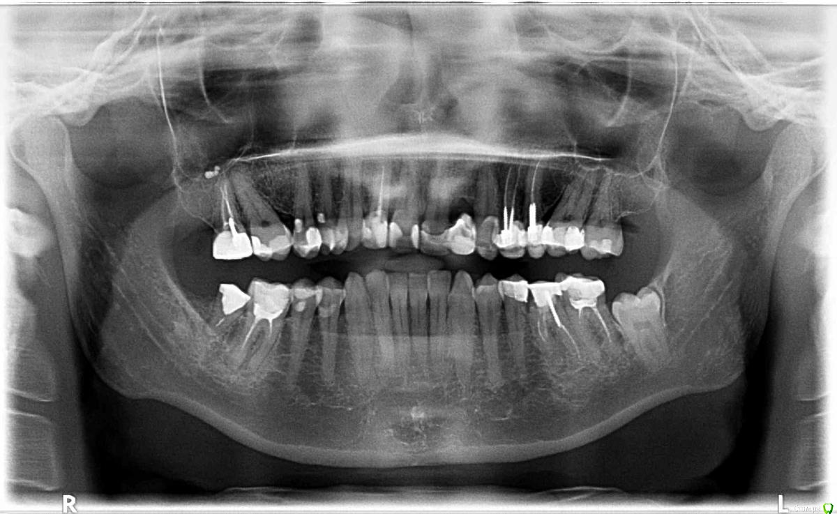
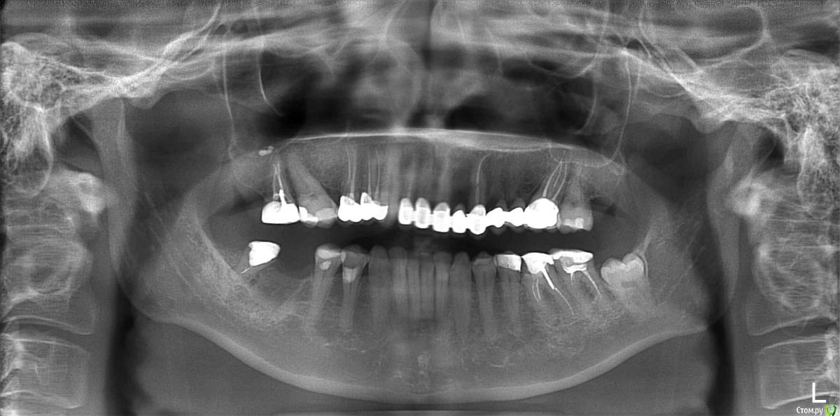
ElenaP. Опубликовано 17 августа, 2018 Поделиться Опубликовано 17 августа, 2018 Уважаемые доктора и специалисты! Помогите, пожалуйста, разобраться, что произошло с моими верхними зубами после установки цельного моста из 8 зубов. 1. Почему ширина всего зубного ряда уменьшилась на почти на 1,5 см, снимок "после" был сделан на той же машине, что и "до". 2. Почему провисло "небо" слева, что это означает? 3. Что за треугольники на снимке "после" в уголках верхней челюсти, похожие на разрез челюсти? Простите, если мои вопросы непрофессиональные, мой доктор считает, что все хорошо, хотя мост пришлось снять из-за сильнейших болей в лице и во рту, разумеется. Прошло более 5 месяцев, до сих пор хожу с временными мостами, но все страшно болит. Спасибо большое. На всякий случай даю снимок оригинальный, до того, как решилась на это безумие. Ссылка на комментарий
kramer Опубликовано 17 августа, 2018 Поделиться Опубликовано 17 августа, 2018 (изменено) 1. Ничего не изменилось. На снимке №2 и 3 в фокус попал еще позвоночный столб, поэтому объекты на снимке №1 кажутся больше. 2. ??? 3. Укажите стрелкой. Изменено 17 августа, 2018 пользователем kramer Ссылка на комментарий
kramer Опубликовано 17 августа, 2018 Поделиться Опубликовано 17 августа, 2018 Что болит, как болит, когда началось, что предпринимали? Нужно больше данных. Ссылка на комментарий
Бендер Опубликовано 17 августа, 2018 Поделиться Опубликовано 17 августа, 2018 Нижний ряд тоже получается ушёл на полтора сантима? Ссылка на комментарий
Рекомендуемые сообщения
Для публикации сообщений создайте учётную запись или авторизуйтесь
Вы должны быть пользователем, чтобы оставить комментарий
Создать аккаунт
Зарегистрируйте новый аккаунт в нашем сообществе. Это очень просто!
Регистрация нового пользователяВойти
Уже есть аккаунт? Войти в систему.
Войти