Nazim_NV86 Опубликовано 7 августа, 2018 Поделиться Опубликовано 7 августа, 2018 Добрый день коллеги. Встречали ли вы когда нибудь жалобы на нарушение обоняния после имплантации? "Все запахи стали одинаковыми"Чувство отвращения от некоторых продуктов. Физиологически с имплантами проблем на нахожу. Ссылка на комментарий
red_butler Опубликовано 7 августа, 2018 Поделиться Опубликовано 7 августа, 2018 а какой протез? Позиции импланта/тов? Ссылка на комментарий
Nazim_NV86 Опубликовано 7 августа, 2018 Автор Поделиться Опубликовано 7 августа, 2018 14-16 с синусом стоят год, стоит металлокерамика. 45,46 пока с фдм. Осстем. Ссылка на комментарий
red_butler Опубликовано 7 августа, 2018 Поделиться Опубликовано 7 августа, 2018 Может синусит? Ссылка на комментарий
Bier Опубликовано 7 августа, 2018 Поделиться Опубликовано 7 августа, 2018 КТ пазух делайте полное. Ссылка на комментарий
Nazim_NV86 Опубликовано 7 августа, 2018 Автор Поделиться Опубликовано 7 августа, 2018 Как сделает - выложу скрины. 1 Ссылка на комментарий
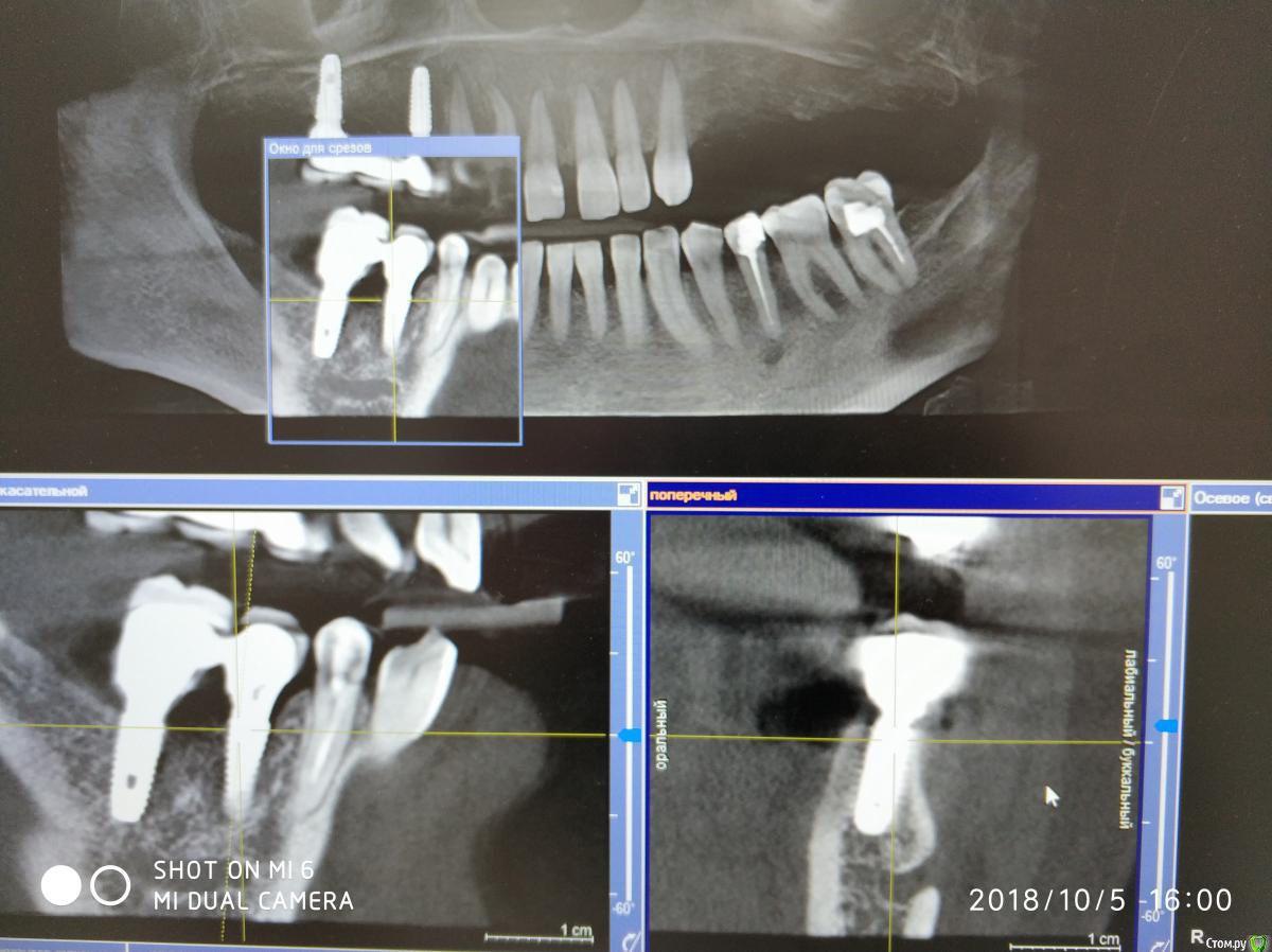
Nazim_NV86 Опубликовано 11 октября, 2018 Автор Поделиться Опубликовано 11 октября, 2018 Появилась свежая КЛКТ Ссылка на комментарий
red_butler Опубликовано 11 октября, 2018 Поделиться Опубликовано 11 октября, 2018 Как сделает - выложу скрины. покажите срезы синусов, что нам толку от имплантов Ссылка на комментарий
Kev Опубликовано 11 октября, 2018 Поделиться Опубликовано 11 октября, 2018 Тот случай, когда появилась возможность есть пищу, но уже пропало желание=))Пациенту сколько лет? Ссылка на комментарий
dentikl Опубликовано 11 октября, 2018 Поделиться Опубликовано 11 октября, 2018 Добрый день коллеги. Встречали ли вы когда нибудь жалобы на нарушение обоняния после имплантации? "Все запахи стали одинаковыми"Чувство отвращения от некоторых продуктов. Физиологически с имплантами проблем на нахожу.спортсмен?боксер? Ссылка на комментарий
Nazim_NV86 Опубликовано 11 октября, 2018 Автор Поделиться Опубликовано 11 октября, 2018 (изменено) Женщина. Примерно 50-53. Скрины синуса сделал, но замотался и забыл выложить. Синусы вч оба чистые. Слева правда есть маленькое мукоцеле. Сегодня предложил ей снять коронки и походить с формирователями. По семейным причинам уехала к дочери помогать. Отложили на месяц. Так у нас есть месяц на расследование ) Изменено 11 октября, 2018 пользователем Nazim_NV86 Ссылка на комментарий
Дмитрий Л. Опубликовано 11 октября, 2018 Поделиться Опубликовано 11 октября, 2018 Чувствительность языка как? Ссылка на комментарий
Nazim_NV86 Опубликовано 12 октября, 2018 Автор Поделиться Опубликовано 12 октября, 2018 Срезы пазух. На чувствительность языка жалоб не слышал. Как приедет тесты сделаю. Ссылка на комментарий
Борис80 Опубликовано 13 октября, 2018 Поделиться Опубликовано 13 октября, 2018 ... по поводу жалоб, если извращение запахов, то как ни печально, следовало бы предположить изменения в ЦНС(травмы, опухоли передней черепной ямки) ведь или механическое препятствие, тогда запахи отсутствуют, а так запахи есть, но искажены... уровень рецепторов обычно дополняется некой симптоматикой, как травмы или токсическое воздействие... Вот я и предположил ЦНС,а имплантация просто наложилась по времени 2 Ссылка на комментарий
___49___ Опубликовано 13 октября, 2018 Поделиться Опубликовано 13 октября, 2018 Добрый день коллеги. Встречали ли вы когда нибудь жалобы на нарушение обоняния после имплантации? "Все запахи стали одинаковыми"Чувство отвращения от некоторых продуктов. Физиологически с имплантами проблем на нахожу.Пожалуйста соберите полный анамнез , вы не обозначали сроки когда проводилась имплантация, протезирование и когда появились жалобы на потерю обоняния, а также как эта потеря происходила ( внезапно или постепенно ) . Ждем . Ссылка на комментарий
Nazim_NV86 Опубликовано 2 февраля, 2019 Автор Поделиться Опубликовано 2 февраля, 2019 (изменено) В продолжении беседы:02.08.16г. была микрогайморотомия справа ( ДЗ выписке: киста г.п.).10.08.17г. поставлены 14,16 с открытым синус-лифтингом(апатос микс+эволюшн). Синус был чистый как до, так и после операции. Соустье работало.18.01.18г. поставлены 45,46. После операций никаких особенностей. 19.04.18г. 4 фдм. И примерно в это время (со слов) появились проблемы с запахами. Коронки сданы 29.05.18г.При допросе (настойчивом) оказалось что пациентка часто болеет ОРЗ и постоянно лечится. Аллергоанамнез оказался впечатляющий. В анкете об этом нет информации. Перечень всего на что у неё была аллергия большой. Попросил перечислить мне на бумаге.На контр осмотр не пришла, поскольку снова заболела. Иммуноглобулины: А - 0,39 (0,65-4,21); М - 0,72 (0,33-2,93); G - 18,64 (5,52-16,31). от 23.01.19г Попросил сдать сам.Заключение МРТ от 21.08.18г. МР-картина очагов глиоза в белом веществе головного мозга сосудистого характера, умеренной наружной заместительной гидроцефалии. Данных за объёмные патологические образования и ишемические изменения не получено. Жду результатов других анализов (направлял терапевт). Изменено 2 февраля, 2019 пользователем Nazim_NV86 1 Ссылка на комментарий
Борис80 Опубликовано 4 февраля, 2019 Поделиться Опубликовано 4 февраля, 2019 все же центрального характера... 1 Ссылка на комментарий
Nazim_NV86 Опубликовано 11 февраля, 2019 Автор Поделиться Опубликовано 11 февраля, 2019 Невропатологи "не видят" ничего. Ссылка на комментарий
___49___ Опубликовано 11 февраля, 2019 Поделиться Опубликовано 11 февраля, 2019 (изменено) Невропатологи "не видят" ничего. Можете еще поискать в побочках тех препаратов, что она принимает постоянно ( в виду алергии или других заболеваний) . но имплантация вряд ли имеет к этому отношение . P\S: Один безобидный Омепрозол только чего стоит .....- Доктор я здорова - таблетки вообще не пью , а ну Омепрозол то уже лет 5 наверное как употребляю , но это же так.. от изжоги ....я то к вам не с этим пришла - у меня язык щипет , чем помазать ? .... Изменено 11 февраля, 2019 пользователем ___49___ Ссылка на комментарий
Roman K. Опубликовано 2 марта, 2019 Поделиться Опубликовано 2 марта, 2019 А как настроена пациентка? Она приходит к вам на прием с агрессией или просто ищет помощи в сложившейся ситуации. В разговоре употребляет фразы:" после вашей имплантации у меня появились проблемы" и т.д ? Ссылка на комментарий
Рекомендуемые сообщения
Для публикации сообщений создайте учётную запись или авторизуйтесь
Вы должны быть пользователем, чтобы оставить комментарий
Создать аккаунт
Зарегистрируйте новый аккаунт в нашем сообществе. Это очень просто!
Регистрация нового пользователяВойти
Уже есть аккаунт? Войти в систему.
Войти