МарияЯ Опубликовано 5 августа, 2018 Поделиться Опубликовано 5 августа, 2018 Установлены имплантаты. Карточка в клинике утеряна, наклейки при имплантации не давались, доктор переехал в другой город. Сделала ОПТГ. Новый доктор глядя на снимок сказал, что установлена система Niko. Ортопед тоже подтверждает его слова. Подняла платёжные документы- в них прописана система Semados. Можно ли доверять определению системы имплантатов по ОПТГ? Или достоверный ответ можно получить только при вскрытии десны? Ссылка на комментарий
red_butler Опубликовано 5 августа, 2018 Поделиться Опубликовано 5 августа, 2018 http://forum.stom.ru/topic/20613-sovety-patcientam-obiazatelno-k-prochteniiu/ Ссылка на комментарий
МарияЯ Опубликовано 5 августа, 2018 Автор Поделиться Опубликовано 5 августа, 2018 (изменено) Ок Изменено 5 августа, 2018 пользователем МарияЯ 1 Ссылка на комментарий
red_butler Опубликовано 5 августа, 2018 Поделиться Опубликовано 5 августа, 2018 Снимок не прикладываю, т.к. не прошу определения типа системы у участников форума. Нужен ответ только на поставленный вопрос: Достоверен ли метод определения системы имплантата по ОПТГ?ну нет так нет... Ссылка на комментарий
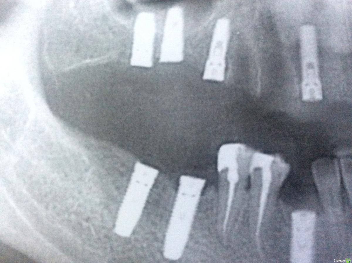
МарияЯ Опубликовано 5 августа, 2018 Автор Поделиться Опубликовано 5 августа, 2018 На руках только распечатанный снимок. Вот максимально приближенное фото установленных имплантатов Ссылка на комментарий
МарияЯ Опубликовано 6 августа, 2018 Автор Поделиться Опубликовано 6 августа, 2018 81 просмотр и ни одного ответа Ссылка на комментарий
red_butler Опубликовано 6 августа, 2018 Поделиться Опубликовано 6 августа, 2018 Можно ли доверять определению системы имплантатов по ОПТГ? это как викторина 81 просмотр и ни одного ответа качество снимка не позволяет дать ответ Ссылка на комментарий
МарияЯ Опубликовано 6 августа, 2018 Автор Поделиться Опубликовано 6 августа, 2018 это как викторина качество снимка не позволяет дать ответ Я правильно Вас поняла, что ответ возможен, но только при хорошем качестве снимка? Ссылка на комментарий
red_butler Опубликовано 6 августа, 2018 Поделиться Опубликовано 6 августа, 2018 Я правильно Вас поняла, что ответ возможен, но только при хорошем качестве снимка?по рентгену можно попытаться угадать производителя и марку Ссылка на комментарий
Bier Опубликовано 7 августа, 2018 Поделиться Опубликовано 7 августа, 2018 Мария, некоторые имплантаты имеют прямо характерную узнаваемую форму и легко узнаются на снимках. А некоторые очень похожи между собой и тогда получается гадание на кофейной гуще. Я не работал ни НИКО ни Семадосом по этому ответ дать сложно. Но как правило во рту у пациента стоит именно то, что записано в карточке. Ссылка на комментарий
МарияЯ Опубликовано 8 августа, 2018 Автор Поделиться Опубликовано 8 августа, 2018 Мария, некоторые имплантаты имеют прямо характерную узнаваемую форму и легко узнаются на снимках. А некоторые очень похожи между собой и тогда получается гадание на кофейной гуще. Я не работал ни НИКО ни Семадосом по этому ответ дать сложно. Но как правило во рту у пациента стоит именно то, что записано в карточке.Доброго времени суток! Спасибо за ответ. Ещё бы знать, что в карточке написано((( В первом сообщении писала, что в клинике ее найти не смогли(( Ссылка на комментарий
Рекомендуемые сообщения
Для публикации сообщений создайте учётную запись или авторизуйтесь
Вы должны быть пользователем, чтобы оставить комментарий
Создать аккаунт
Зарегистрируйте новый аккаунт в нашем сообществе. Это очень просто!
Регистрация нового пользователяВойти
Уже есть аккаунт? Войти в систему.
Войти