Инна2106 Опубликовано 27 июля, 2018 Поделиться Опубликовано 27 июля, 2018 (изменено) Добрый день.Прошу помочь определить в чем может быть причина ситуации с зубом которая длиться уже две недели.Началось все в ночь 13 августа проснулась от боли в одном участке нижней челюсти, именно не зубе, а челюсти, боль не острая, а тупая ноющая. Встала, походила все прошло. Весь день ничего не болело. В ночь все повторилось уже дважды просыпалась от боли, не определенного зуба, а низа левой челюсти. Для снятия боли достаточно было просто походить в течении 5 минут, все успокаивалось.На следующий день пошла к врачу, сделал снимок, осмотрел, сказал, что есть небольшая гранулема под шестым зубом под коронкой из-за не до конца запломбированного канала, но это как оказалось старая проблема, определялась еще на ортопанораме зимой. Но по его словам она не может давать такого рода болей. Ночью не спала вообще, четыре раза вставала от болей, причем стоило только принять горизонтальное положение и начиналась ноющая боль в нижней челюсти слева, и потом верхней челюсти слева. Суть в том что боли появлялись именно когда ложилась, не важно днем или ночью, пока ходишь, сидишь ничего не беспокоило. Снова поехала на прием к врачу, сделал много проб, и воздухом и нитью, подозревал трещину по снимку рядом в зубе под пломбой, но сказал нить не цепляется и не рвется значит ее нет, но вскрывать этот зуб не смысла так как на простукивание все было спокойно и сверху и снизу. Десна все розовые, кровоточивости нет. Через три дня поехала к другому врачу сделал свой снимок, предположил как вариант что восьмерка может двигать зубной ряд оттуда и боль, но сама восьмерка абсолютно спокойна, не болит, нет отечности десны. Его заключение, что причина в троичном нерве, а не в зубах. До этого по рекомендации первого врача принимала Азитромицин 3 дня и Нимесил не помогло. Начала пить Нейродикловит (диклофенак с витаминами группы В) и наконец-то начала ночью спать, но с понедельника 23 июля начал болеть зуб при накусывании рядом с коронкой (семерка), я на эту сторону и так не ем уже две недели, почувствовала боль при пережевывании пищи. когда верхних зуб попадал на нижний, попробовала постучать ложкой и ощутила боль в семерке снизу. В среду поехала к третьему врачу, он сделал пришлифовку семерки нижней с верхней так как нагрузка на зуб неправильно распределялась на одно сторону, порекомендовал попить Нимесил и наблюдать.Суть в том, что на данный момент исчезли боли в горизонтальном положении, но не могу жевать и есть нормально, сам зуб не болит, но если попробовать накусить слегка зубочистку на семерку появляется боль, отпускаешь проходит.Очень прошу помогите разобраться что это и как себе помочь, скоро нужно уезжать и не знаю стоит ли сейчас снимать коронку или все же причина не в этом зубе. Стоит ли делать КТ, новую ортопанораму, если по снимкам ничего не видят. Внизу прикрепила фрагмент ортопанорамы делала в феврале этого года, и нашла снимок этого сделанный в конце апреля прошлого года для сравнения.Заранее большое спасибо. Изменено 27 июля, 2018 пользователем Инна2106 Ссылка на комментарий
Инна2106 Опубликовано 27 июля, 2018 Автор Поделиться Опубликовано 27 июля, 2018 Еще снимок Ссылка на комментарий
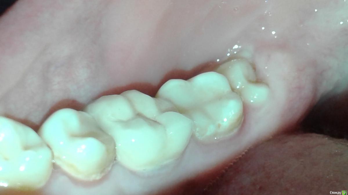
kramer Опубликовано 27 июля, 2018 Поделиться Опубликовано 27 июля, 2018 (изменено) Да банально пульпит нижней семерки. Там кариес под пломбой, видно же. Изменено 27 июля, 2018 пользователем kramer 1 Ссылка на комментарий
red_butler Опубликовано 27 июля, 2018 Поделиться Опубликовано 27 июля, 2018 Да банально пульпит нижней семерки. Там кариес под пломбой, видно же. тут кандидатов на пульпит прорва 2 Ссылка на комментарий
Инна2106 Опубликовано 27 июля, 2018 Автор Поделиться Опубликовано 27 июля, 2018 Про пульпит я у всех трех врачей с самого начала спрашивала, все его отрицают, так как нет реакции на холодное, горячее, воздух, зуб не болит все это время, появилась только реакция по накусывание и простукивание. По Вашему мнению нужно удалить нерв в семерке и боль пройдет?Да банально пульпит нижней семерки. Там кариес под пломбой, видно же. Ссылка на комментарий
Инна2106 Опубликовано 27 июля, 2018 Автор Поделиться Опубликовано 27 июля, 2018 Вы тоже согласны что это пульпит 7-ки? На снимке там как трещина мне сказали может быть так на снимке вкладка определяться. Нужно удалить нерв в этом зубе?тут кандидатов на пульпит прорва Ссылка на комментарий
kramer Опубликовано 27 июля, 2018 Поделиться Опубликовано 27 июля, 2018 Про пульпит я у всех трех врачей с самого начала спрашивала, все его отрицают, так как нет реакции на холодное, горячее, воздух, зуб не болит все это время, появилась только реакция по накусывание и простукивание. По Вашему мнению нужно удалить нерв в семерке и боль пройдет? Как и сказано было выше, я насчитал с этой стороны 5 зубов, которые могут давать такую симптоматику, но из них 7ка наиболее вероятно. Ссылка на комментарий
Инна2106 Опубликовано 27 июля, 2018 Автор Поделиться Опубликовано 27 июля, 2018 На снимке не могу понять, в семерке как не видно одного корня зуба (я про что в 6-ке и 8ке их два, а в 7-ке один и второй как пятно). Что это означает?Как и сказано было выше, я насчитал с этой стороны 5 зубов, которые могут давать такую симптоматику, но из них 7ка наиболее вероятно. Ссылка на комментарий
kramer Опубликовано 27 июля, 2018 Поделиться Опубликовано 27 июля, 2018 На снимке не могу понять, в семерке как не видно одного корня зуба (я про что в 6-ке и 8ке их два, а в 7-ке один и второй как пятно). Что это означает?Сорри, не понял ваш вопрос. Все видно, 2 корня. Ссылка на комментарий
Инна2106 Опубликовано 27 июля, 2018 Автор Поделиться Опубликовано 27 июля, 2018 (изменено) когда смотришь на снимок зубов два корня и два канала, на 6 и 8-м зубах это четко видно в 7-м один видно второй не ясно где, визуально. Эта трещина на снимке под пломбой и есть кариес?Сорри, не понял ваш вопрос. Все видно, 2 корня. Изменено 27 июля, 2018 пользователем Инна2106 Ссылка на комментарий
kramer Опубликовано 27 июля, 2018 Поделиться Опубликовано 27 июля, 2018 (изменено) когда смотришь на снимок зубов два корня и два канала, на 6 и 8-м зубах это четко видно в 7-м один видно второй не ясно где, визуально. Эта трещина на снимке под пломбой и есть кариес? Я не знаю, куда вы смотрите, но мне видно все Трещина на снимке не может быть определена. А вот кариес видно. Он прям под пломбой. Изменено 27 июля, 2018 пользователем kramer Ссылка на комментарий
Инна2106 Опубликовано 27 июля, 2018 Автор Поделиться Опубликовано 27 июля, 2018 Я не знаю, куда вы смотрите, но мне видно все Эта трещина на снимке под пломбой и есть кариес? Я про семерку Ссылка на комментарий
Инна2106 Опубликовано 27 июля, 2018 Автор Поделиться Опубликовано 27 июля, 2018 (изменено) Если Вас не затруднит не могли бы Вы обвести место где это видно на снимке, я бы хоть врачу показала они в упор не видят там пульпитЯ не знаю, куда вы смотрите, но мне видно все Трещина на снимке не может быть определена. А вот кариес видно. Он прям под пломбой. Изменено 27 июля, 2018 пользователем Инна2106 Ссылка на комментарий
red_butler Опубликовано 27 июля, 2018 Поделиться Опубликовано 27 июля, 2018 Инна, Вам нужно найти врача, который проведёт полноценную дифференциальную диагностику, найдёт причинный зуб и проведёт терапию Ссылка на комментарий
Инна2106 Опубликовано 27 июля, 2018 Автор Поделиться Опубликовано 27 июля, 2018 Спасибо за совет, уже две недели этим занимаюсь, была уже у трех врачей, причину не находят, точнее видят только одну в шестерке под коронкой гранулему, но она не может давать таких симптомов по словам врачей. И единственное решение снимать коронку и перелечивать каналы, но опять же если дело в гранулеме, то почему болит семерка, а не пятерка, ведь гранулема со стороны пятерки. Да и если честно мне через несколько дней уезжать нужно и снять сейчас коронку с неизвестным исходом что из того выйдет страшновато и уезжать ничего не делая опасно.Инна, Вам нужно найти врача, который проведёт полноценную дифференциальную диагностику, найдёт причинный зуб и проведёт терапию Ссылка на комментарий
Рекомендуемые сообщения
Для публикации сообщений создайте учётную запись или авторизуйтесь
Вы должны быть пользователем, чтобы оставить комментарий
Создать аккаунт
Зарегистрируйте новый аккаунт в нашем сообществе. Это очень просто!
Регистрация нового пользователяВойти
Уже есть аккаунт? Войти в систему.
Войти