Bier Опубликовано 24 июля, 2018 Поделиться Опубликовано 24 июля, 2018 Коллеги, хочу посоветоваться, как вы поступаете в таких ситуациях? Ссылка на комментарий
red_butler Опубликовано 24 июля, 2018 Поделиться Опубликовано 24 июля, 2018 Удалил бы восьмой 1 Ссылка на комментарий
Bier Опубликовано 24 июля, 2018 Автор Поделиться Опубликовано 24 июля, 2018 Удалил бы восьмойИ дальше что? Ссылка на комментарий
колесников Опубликовано 24 июля, 2018 Поделиться Опубликовано 24 июля, 2018 Прошу дистализировать 8ку и ставлю профайл 4.5х9 +сст 1 Ссылка на комментарий
Neilrus Опубликовано 24 июля, 2018 Поделиться Опубликовано 24 июля, 2018 (изменено) мне кажется в вопросе подвох.Вижу два варианта или мезиализировать (что тяжко и не факт) или дистализировать ортовинтом и через пару мес после имплантат Изменено 24 июля, 2018 пользователем Neilrus 1 Ссылка на комментарий
johniola Опубликовано 24 июля, 2018 Поделиться Опубликовано 24 июля, 2018 Оставь как есть,иди в отпуск и не парься 3 Ссылка на комментарий
Bier Опубликовано 24 июля, 2018 Автор Поделиться Опубликовано 24 июля, 2018 Оставь как есть,иди в отпуск и не парься Нее, надо же полечить 2 Ссылка на комментарий
Kotyara Опубликовано 24 июля, 2018 Поделиться Опубликовано 24 июля, 2018 ну так видимо оно прибыльнее будет. Потом еще и верхнюю восьмерку заимплантировать можно. Мы не ищем легких путей 1 Ссылка на комментарий
Aquarius Опубликовано 24 июля, 2018 Поделиться Опубликовано 24 июля, 2018 Предположу ,что все таки дистализация , раз кнопка уже приклеена. 1 Ссылка на комментарий
АнтонТЛТ Опубликовано 24 июля, 2018 Поделиться Опубликовано 24 июля, 2018 Реплантация 8-ки на место 7-ки) 1 Ссылка на комментарий
chervoncevdaniil Опубликовано 24 июля, 2018 Поделиться Опубликовано 24 июля, 2018 Почему такое желание сохранить эту восьмерку?Я так понимаю,что даже если она успешно дистализируется,то контакт будет только на медиальной ямке с верхним 7 1 Ссылка на комментарий
Irouil Опубликовано 24 июля, 2018 Поделиться Опубликовано 24 июля, 2018 Я у себя в клинике такие решения не принимаю, это прерогатива ортодонта) 1 Ссылка на комментарий
Bier Опубликовано 24 июля, 2018 Автор Поделиться Опубликовано 24 июля, 2018 ну так видимо оно прибыльнее будет. Потом еще и верхнюю восьмерку заимплантировать можно. Мы не ищем легких путейАлександр, в данном кейсе моя часть работы выполнялась за символическую плату. Ссылка на комментарий
Bier Опубликовано 24 июля, 2018 Автор Поделиться Опубликовано 24 июля, 2018 в теме появился правильный ответ Ссылка на комментарий
M@estro Опубликовано 24 июля, 2018 Поделиться Опубликовано 24 июля, 2018 Причем восьмерку тянули за эту кнопку, она,вероятно, была полу-ретинированная. С одной , в -общем-то, целью : чтобы целее была при удалении. 1 Ссылка на комментарий
Bier Опубликовано 24 июля, 2018 Автор Поделиться Опубликовано 24 июля, 2018 Причем восьмерку тянули за эту кнопку, она,вероятно, была полу-ретинированная. С одной , в -общем-то, целью : чтобы целее была при удалении. загнул ты немного Ссылка на комментарий
AlexanderGudkov Опубликовано 24 июля, 2018 Поделиться Опубликовано 24 июля, 2018 Крис Чанг стаил - мезиализация)) Ссылка на комментарий
M@estro Опубликовано 24 июля, 2018 Поделиться Опубликовано 24 июля, 2018 (изменено) загнул ты немного Ну гадаю жи) Уж если мог без кнопки вынуть и пересадить - зачем ее вешали тогда? Изменено 24 июля, 2018 пользователем M@estro Ссылка на комментарий
M@estro Опубликовано 24 июля, 2018 Поделиться Опубликовано 24 июля, 2018 Крис Чанг стаил - мезиализация)) имхо плохая идея. Есть наблюдения,не видел, чтоб работало так, как хотелось бы. Ссылка на комментарий
АнтонТЛТ Опубликовано 24 июля, 2018 Поделиться Опубликовано 24 июля, 2018 Если мизиализировать, то надо делать корикотомию вестибулярно, язычно и оклюзионно, мезиально и дистально. После этого двигать зубо-костный конгламерат. 1 Ссылка на комментарий
егорджан Опубликовано 25 июля, 2018 Поделиться Опубликовано 25 июля, 2018 неужели и правда реплантация? Ссылка на комментарий
колесников Опубликовано 25 июля, 2018 Поделиться Опубликовано 25 июля, 2018 Ну какая ремплантация в гребень? Там и простая имплантация не пройдёт. Мезиализвция... корпусно моляр сместить это надо ещё суметь и какие сроки ,я даже не представляю,стоит ли оно того? 1 Ссылка на комментарий
Bier Опубликовано 25 июля, 2018 Автор Поделиться Опубликовано 25 июля, 2018 Ну какая ремплантация в гребень? Там и простая имплантация не пройдёт. Мезиализвция... корпусно моляр сместить это надо ещё суметь и какие сроки ,я даже не представляю,стоит ли оно того?почему не пройдет имплантация? гребень широкий. Ссылка на комментарий
red_butler Опубликовано 25 июля, 2018 Поделиться Опубликовано 25 июля, 2018 И дальше что?И сразу имплантировать Ссылка на комментарий
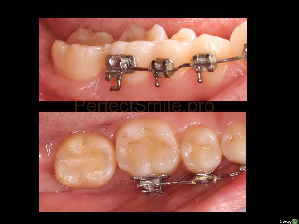
Bier Опубликовано 25 июля, 2018 Автор Поделиться Опубликовано 25 июля, 2018 Ситуация через 2 месяца 6 Ссылка на комментарий
Рекомендуемые сообщения
Для публикации сообщений создайте учётную запись или авторизуйтесь
Вы должны быть пользователем, чтобы оставить комментарий
Создать аккаунт
Зарегистрируйте новый аккаунт в нашем сообществе. Это очень просто!
Регистрация нового пользователяВойти
Уже есть аккаунт? Войти в систему.
Войти