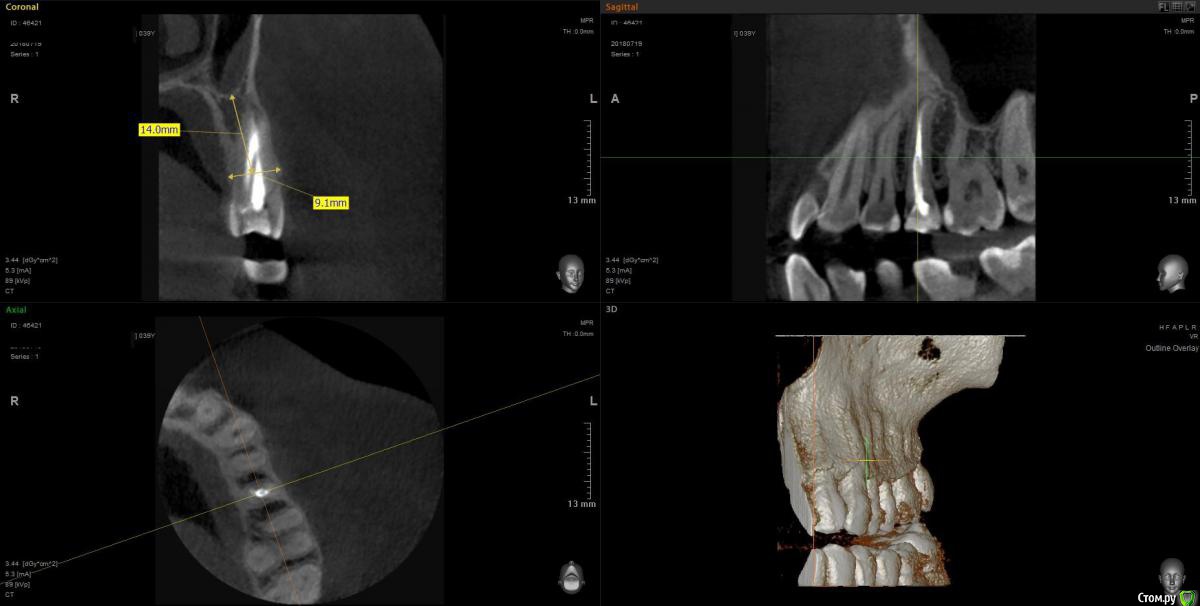
Eddie Опубликовано 21 июля, 2018 Поделиться Опубликовано 21 июля, 2018 (изменено) Добрый день, нуждаюсь в вашем совете. В клинике есть набор Nobel Tapered, которым, как я понял, можно установить Replace Select c полированной шейкой 0.75 мм и 1.5 мм, а так же груви. С нобелем раньше не работал, планируется одномоментная имплантация в позиции 25 зуба. Вопрос в том, как заглублять, работаю на осстем, в данном случае заглубил бы на 3-4 мм от зенита,а как с Nоbel-ем с полированной шейкой? Какой размер выбрать, выдержит 3.5? или лучше 4.3?( пациент крупный мужчина).Снимок прилагаю, причина удаления- продолный перелом Изменено 21 июля, 2018 пользователем Eddie Ссылка на комментарий
Aquarius Опубликовано 21 июля, 2018 Поделиться Опубликовано 21 июля, 2018 С Нобелем не работал, но по моему мнению, с учетом количества кости за апексом зуба, лучше взять более крупный калибр. Чтобы примерно с середины лунки уже " пошел зацеп " за стенки. Чтобы на апекс не надеяться. А так в принципе особо не принципиально, какая там шея у импла. Если схожесть есть с осстемом , то работайте по привычке. Опять же ИМХО 1 Ссылка на комментарий
АнтонТЛТ Опубликовано 21 июля, 2018 Поделиться Опубликовано 21 июля, 2018 Ставьте replace cc, он без полированной шейки и с конусным соединением. Ссылка на комментарий
колесников Опубликовано 21 июля, 2018 Поделиться Опубликовано 21 июля, 2018 Все зависит от того как удалится зуб. Вероятно вестибулярная пластинка анкилозирована с корнем. Вы подумали о ваших дальнейших действиях если во время удаления получите дефект компактной пластинки до апекса? Я бы подумал над тактикой удаления,выбор импланта дело второстепенное. Однозначно надо будет заглубить 3-4мм, имплант застабилизируется только апексом,полированную шейку не желательно заглублять и вообще такой Имплант не подходит для одномоментный имплантации. Измерения предпочтительно производить не от внешних ориентиров гребня,а в пределах губчатой кости . Диаметр импланта для премоляра лучше выбирать измеряя мезиодистальный отрезок корня. 1 Ссылка на комментарий
Eddie Опубликовано 22 июля, 2018 Автор Поделиться Опубликовано 22 июля, 2018 Всем спасибо за советы, к сожалению, выбор только из этих трех Нобелей Ссылка на комментарий
Irouil Опубликовано 22 июля, 2018 Поделиться Опубликовано 22 июля, 2018 Полированная шейка, как и наружный шестигранник - хорошие решения для солярия, но в позицию 2.5 ставьте лучше осстем имхо. Тем более - одномоментно. 1 Ссылка на комментарий
Kazankov.Egor Опубликовано 22 июля, 2018 Поделиться Опубликовано 22 июля, 2018 Полированная шейка, как и наружный шестигранник - хорошие решения для солярия, но в позицию 2.5 ставьте лучше осстем имхо. Тем более - одномоментно.Солярия? Ссылка на комментарий
Kazankov.Egor Опубликовано 22 июля, 2018 Поделиться Опубликовано 22 июля, 2018 Все зависит от того как удалится зуб. Вероятно вестибулярная пластинка анкилозирована с корнем. Вы подумали о ваших дальнейших действиях если во время удаления получите дефект компактной пластинки до апекса? Я бы подумал над тактикой удаления,выбор импланта дело второстепенное. Однозначно надо будет заглубить 3-4мм, имплант застабилизируется только апексом,полированную шейку не желательно заглублять и вообще такой Имплант не подходит для одномоментный имплантации. Измерения предпочтительно производить не от внешних ориентиров гребня,а в пределах губчатой кости . Диаметр импланта для премоляра лучше выбирать измеряя мезиодистальный отрезок корня.Если полированную заглублять и формировать костную манжету какой будет эффект? Ссылка на комментарий
АнтонТЛТ Опубликовано 22 июля, 2018 Поделиться Опубликовано 22 июля, 2018 Солярия?Новый тренд! Название моляр уже морально устарело 3 Ссылка на комментарий
колесников Опубликовано 23 июля, 2018 Поделиться Опубликовано 23 июля, 2018 Костную манжету тут не надо формировать, она уже готова (контур лунки),вот десневую манжету ,кратер ,надо формировать. Проще это сделать мелким формирователем конической формы,но у Нобеля насколько помню,они все ящиком,вместе с полированной шейкой это может быть проблемой. Лучше тогда сделать индивидуальный или сформировать при помощи временной конструкции. И да,я бы тоже предложил щит. Ссылка на комментарий
Kazankov.Egor Опубликовано 24 июля, 2018 Поделиться Опубликовано 24 июля, 2018 Костную манжету тут не надо формировать, она уже готова (контур лунки),вот десневую манжету ,кратер ,надо формировать. Проще это сделать мелким формирователем конической формы,но у Нобеля насколько помню,они все ящиком,вместе с полированной шейкой это может быть проблемой. Лучше тогда сделать индивидуальный или сформировать при помощи временной конструкции. И да,я бы тоже предложил щит.это я применимо к теории, не к данному конкретному случаю. Ссылка на комментарий
колесников Опубликовано 24 июля, 2018 Поделиться Опубликовано 24 июля, 2018 Куда уж ещё конкретнее. Осталось только размер выбрать 1 Ссылка на комментарий
Kazankov.Egor Опубликовано 24 июля, 2018 Поделиться Опубликовано 24 июля, 2018 Куда уж ещё конкретнее. Осталось только размер выбратьладно, спрошу понятнее, что получается, если полированную шеку заглублять ниже зенита на 3 мм(к примеру), сформировав костную манжету в плане эстетики и биофункциональности? Ссылка на комментарий
колесников Опубликовано 24 июля, 2018 Поделиться Опубликовано 24 июля, 2018 Вы путаете немедленную имплантацию с отсроченной. При немедленной на полированной шейке будет очень тяжко формироваться манжета из прикреплённой слизистой,очень часто, на дне ,ткани остаются незрелые ,больше на грануляции похожие,если вести открытым способом с формирователем. Все от того что основания нет в пустой лунке,мягким тканям неначем расположиться,пока кость не сформируется. Совсем иная ситуация при отсроченной имплантации. 1 Ссылка на комментарий
Kazankov.Egor Опубликовано 25 июля, 2018 Поделиться Опубликовано 25 июля, 2018 Вы путаете немедленную имплантацию с отсроченной. При немедленной на полированной шейке будет очень тяжко формироваться манжета из прикреплённой слизистой,очень часто, на дне ,ткани остаются незрелые ,больше на грануляции похожие,если вести открытым способом с формирователем. Все от того что основания нет в пустой лунке,мягким тканям неначем расположиться,пока кость не сформируется. Совсем иная ситуация при отсроченной имплантации. Спасибо! Ссылка на комментарий
Рекомендуемые сообщения
Для публикации сообщений создайте учётную запись или авторизуйтесь
Вы должны быть пользователем, чтобы оставить комментарий
Создать аккаунт
Зарегистрируйте новый аккаунт в нашем сообществе. Это очень просто!
Регистрация нового пользователяВойти
Уже есть аккаунт? Войти в систему.
Войти