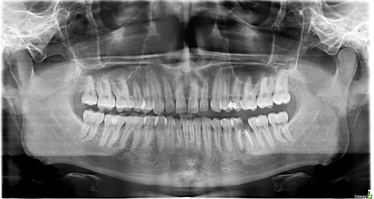
slk5001 Опубликовано 18 июля, 2018 Поделиться Опубликовано 18 июля, 2018 Здравствуйте! Что делать с 36 зубом?Какие варианты есть? Ссылка на комментарий
red_butler Опубликовано 19 июля, 2018 Поделиться Опубликовано 19 июля, 2018 удалять 1 Ссылка на комментарий
slk5001 Опубликовано 19 июля, 2018 Автор Поделиться Опубликовано 19 июля, 2018 удалятьА почему удалять? Можно оставить как есть? Или поставить пломбу? Ссылка на комментарий
St. Опубликовано 19 июля, 2018 Поделиться Опубликовано 19 июля, 2018 Можно оставить как есть? нет, может разболеться и еще соседние зубы испортить за счет застревания пищи между ними Или поставить пломбу? нет, для постановки пломбы зуб слишком разрушенюАльтернативный вариант ( если при очном осмотре от зуба осталось достаточно )- перелечить каналы и накрыть зуб коронкой Ссылка на комментарий
red_butler Опубликовано 20 июля, 2018 Поделиться Опубликовано 20 июля, 2018 А почему удалять? Можно оставить как есть? Или поставить пломбу?Слишком поздно, объём оставшихся твёрдых тканей не позволяет восстановить зуб Ссылка на комментарий
Рекомендуемые сообщения
Для публикации сообщений создайте учётную запись или авторизуйтесь
Вы должны быть пользователем, чтобы оставить комментарий
Создать аккаунт
Зарегистрируйте новый аккаунт в нашем сообществе. Это очень просто!
Регистрация нового пользователяВойти
Уже есть аккаунт? Войти в систему.
Войти