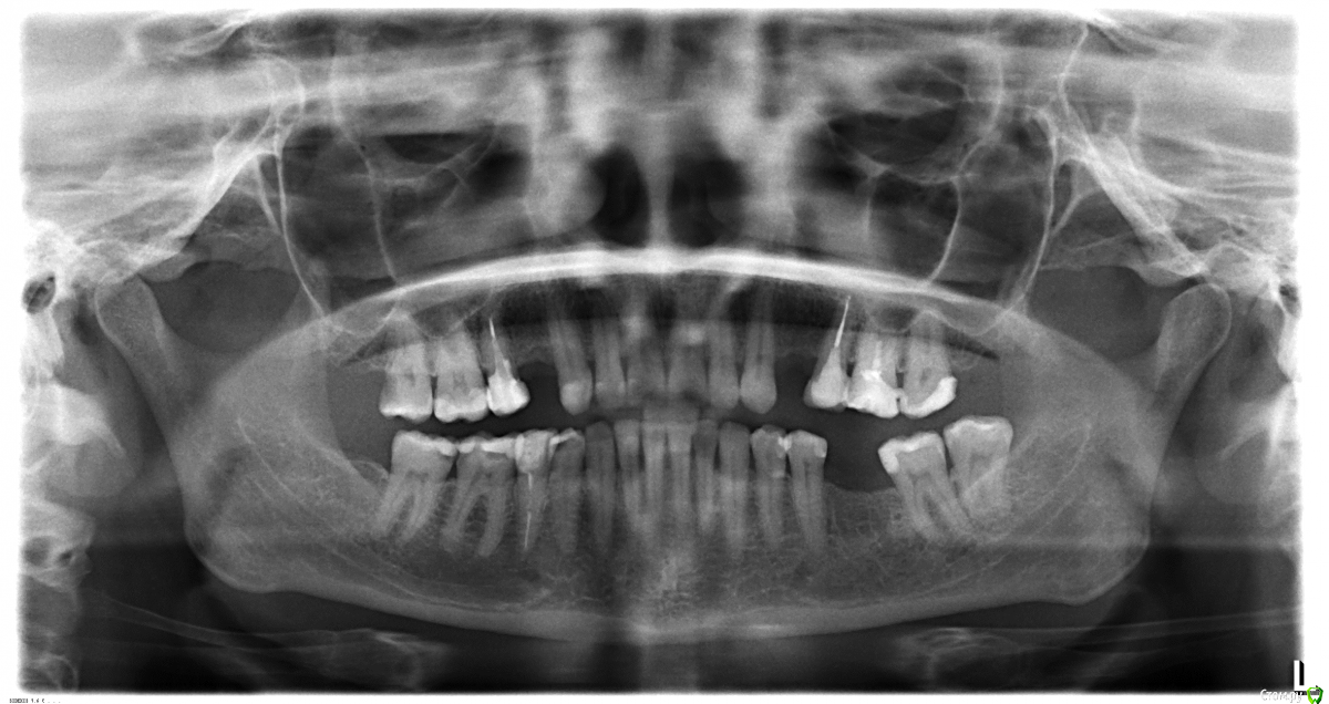
LediVinter Опубликовано 17 июля, 2018 Поделиться Опубликовано 17 июля, 2018 Здравствуйте! 1. У двух нижних зубов слева непонятная ситуация. Делаем прицельный снимок и врач сомневается (кариес ли межзубной под пломбами или изолирующие прокладки). Может сделать клкт?, а если это кариес( прочитала ,что при нем делать клкт нельзя)??? 2. На этой же стороне внизу зуб с стекловолоконным штифтом(постоянное чувтсво, что он мешает. в положении лежа давящее чувство в области кости нижней челюсти. Может переделать его или же сначала сделать клкт, по снимкам врач ничего не видит???) 3.Если возможно посоветцйте стоматолога (эндодонта) в Химках или в Москве. Спасибо! Ссылка на комментарий
CRAZYDUCK Опубликовано 18 июля, 2018 Поделиться Опубликовано 18 июля, 2018 Внизу указала стрелками - скорее всего кариес , на изолирующую не похоже . Особенно контактная дистальная поверхность 6 зуба ( вряд ли туда тоже изолирующую налили от души). Кариес ещё с этой стороны на верхнем зубе . Ссылка на комментарий
LediVinter Опубликовано 18 июля, 2018 Автор Поделиться Опубликовано 18 июля, 2018 спасибо Ссылка на комментарий
Zlata-doctor Опубликовано 19 июля, 2018 Поделиться Опубликовано 19 июля, 2018 и 44 тоже 1 Ссылка на комментарий
LediVinter Опубликовано 19 июля, 2018 Автор Поделиться Опубликовано 19 июля, 2018 спасибо,попрошу посмотреть Ссылка на комментарий
Рекомендуемые сообщения
Для публикации сообщений создайте учётную запись или авторизуйтесь
Вы должны быть пользователем, чтобы оставить комментарий
Создать аккаунт
Зарегистрируйте новый аккаунт в нашем сообществе. Это очень просто!
Регистрация нового пользователяВойти
Уже есть аккаунт? Войти в систему.
Войти