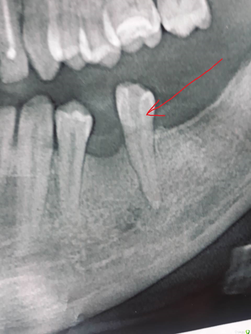
DimaBLR Опубликовано 16 июля, 2018 Поделиться Опубликовано 16 июля, 2018 (изменено) Уважаемые врачи ! Дайте пожалуйста своё мнение, что же на этом снимке ! Мнения наших местных стоматологов разошлось, но я уже не могу, зуб сильно ноет. Канал вскрыли, прочистили, нерв сказали умер, но зуб внешне здоров. Он болит и толком никто не знает что на снимке, или гнойник или что-то там (не помню как точно выразился один стоматолог). При нажатии на щёку со стороны зуба - тоже больно, хотя внешне щека вроде не опухла, но немного онимела Больной зуб показал стрелкой Изменено 16 июля, 2018 пользователем DimaBLR Ссылка на комментарий
St. Опубликовано 16 июля, 2018 Поделиться Опубликовано 16 июля, 2018 Добрый день. За пределами зуба присутствует очаг хронического воспаления (темная область у кончика корня) и нерв действительно умер. Причины возникновения могут быть разными.То что каналы "почистили" это хорошо. Дискомфорт может быть какое-то время после этой процедуры.Сейчас что в зубе ? Временная пломба на месте? Когда проводилось лечение? 1 Ссылка на комментарий
DimaBLR Опубликовано 16 июля, 2018 Автор Поделиться Опубликовано 16 июля, 2018 (изменено) Канал/зуб вскрыли неделю назад и тогда же почистили. После чего оставили открытым. А сегодня я уже на стену лезу. Был в разных местах от боли. На момент первого сообщения щека была НЕ опухшей. Сейчас щека резко опухла. Пломбы нет. Спасибо Вам заранее за помощь. Добавлю что зуб начал беспокоить лишь месяц назад. Внешней целый, как сказал врач без изменения цвета. Никогда не вскрывался кроме как неделю назад Изменено 16 июля, 2018 пользователем DimaBLR Ссылка на комментарий
St. Опубликовано 16 июля, 2018 Поделиться Опубликовано 16 июля, 2018 После чего оставили открытым. Это не очень хорошо. Зуб обязательно должен быть закрыт временной или постоянной пломбой чтоб никакие микробы дополнительно в него не попадали, там и внутри их достаточно пока. Ищите доктора который возьмется за лечение и чем быстрее тем лучше. Иначе рискуете потерять зуб. Ссылка на комментарий
CRAZYDUCK Опубликовано 17 июля, 2018 Поделиться Опубликовано 17 июля, 2018 Может забился пищей канал и даёт такую симптоматику. Отек -это не хорошо. Часто назначают Антибиотики в такой ситуации . Не владея данными , которые были изначально , могу сказать , что часто после удаления нерва зуб может беспокоить ( даже очень сильно болеть несколько дней ), но отека быть не должно при хорошей динамике. Ссылка на комментарий
CRAZYDUCK Опубликовано 17 июля, 2018 Поделиться Опубликовано 17 июля, 2018 (изменено) красным обвела зону воспаления ( из-за которой зуб беспокоит ), а чёрное - это место похоже на выход нерва ( это нормальное отверстие в нижней челюсти ) Изменено 17 июля, 2018 пользователем CRAZYDUCK Ссылка на комментарий
CRAZYDUCK Опубликовано 17 июля, 2018 Поделиться Опубликовано 17 июля, 2018 Немного непонятное Расположение зубов - причинный зуб похож на 5 , но между этим зубом и четвёртым явно был ранее удалён зуб . Может сверхкомплектный был ( лишний , так сказать ). Я бы попробовала промыть канал ещё раз , посмотреть на Ваше самочувствие ( чтобы температура тела не поднималась выше 38, чтобы не было покраснения кожи в зоне отека ), отек будет примерно неделю , будет увеличиваться после сна . Попробовать внести лекарство на основе кальция в канал и герметично закрыть пломбой на время . Если динамика будет положительная ( не будет отека), поменять кальций ещё раз , а потом запломбировать канал постоянно . Но зуб нужно наблюдать точно год ( делать снимки). Может изначально не весь нерв удалили , может дополнительный канал есть , можно долго рассуждать и гадать . Идите к врачу , может быть не будут «церемониться» и сразу удалят. Ссылка на комментарий
DimaBLR Опубликовано 17 июля, 2018 Автор Поделиться Опубликовано 17 июля, 2018 (изменено) Всем спасибо за помощь.Но с момента первого сообщения, буквально за 4-5 часов, пришлось ехать в неотложную стоматологию, так как половина лица с обычного состояния- опухла или скорее её "разнесло" в размерах. Там однозначно сказали удалять и удалили. Но теперь на лицо страшно смотреть. Оно деформировалось от опухоли. Что делать ? Прописали Амоксил. Это само пройдет или нужно уже резать щеку ? Боли уже вроде нет Изменено 17 июля, 2018 пользователем DimaBLR Ссылка на комментарий
Dr.Ru Опубликовано 17 июля, 2018 Поделиться Опубликовано 17 июля, 2018 (изменено) Должно пройти само, так как источник убрали. На осмотр Вас назначили?Все, что прописали, обязательно принимать. Изменено 17 июля, 2018 пользователем Dr.Ru 2 Ссылка на комментарий
CRAZYDUCK Опубликовано 17 июля, 2018 Поделиться Опубликовано 17 июля, 2018 Пройдёт за несколько дней , постепенно Ссылка на комментарий
dok1 Опубликовано 17 июля, 2018 Поделиться Опубликовано 17 июля, 2018 Антибиотик поможет. Должно пройти. Ссылка на комментарий
Рекомендуемые сообщения
Для публикации сообщений создайте учётную запись или авторизуйтесь
Вы должны быть пользователем, чтобы оставить комментарий
Создать аккаунт
Зарегистрируйте новый аккаунт в нашем сообществе. Это очень просто!
Регистрация нового пользователяВойти
Уже есть аккаунт? Войти в систему.
Войти