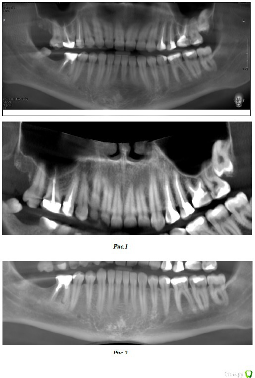
bbss Опубликовано 11 июля, 2018 Поделиться Опубликовано 11 июля, 2018 (изменено) Здравствуйте. Подскажите пожалуйста, с чего стоит начать, учитывая мои общие симптомы (тяжесть в затылке, иногда как туман (или ощущение в голове как при температуре, когда лечь нужно, плюс как будто жар в затылке), боль при жевании в затылке (говорении, кажется, что болит, когда языком двигаю), звон в левом ухе (сейчас что-то хрустит в челюсти слева, но до этого не было такого), при движении глаз дискомфорт. Бывает дискомфорт в области переносицы, межбровной области, как будто распирает или отек (особенно при наклоне головы) .Возможно, зубы в этом не виноваты, конечно.Прикладываю описание кт и общее фото (еще есть отдельные картинки, если нужно, то их тоже выложу). Кратко диагноз:Кариес 3.6Хронический периодонтит 4.6 (этот зуб у меня был пролечен рез-форм, зимой прошлого года отпала пломба, врач попыталась пройти каналы, но получилось только 1 пройти, два других - не вышло).КЛКТ признаки склерозирующего остеита зуба 3.6КЛКТ -признаки внутренней резорбции зуба 2.6Частичная обтурация корневых каналов 1.5,1.6, 2.4,2.6 без признаков периапикальных изменений.Ретенция зуба 2.8 Еще в описании почему-то нет 4.8., наверное упустили его. И хотела спросить, может ли быть так, что у меня идет перекос из-за пломб? Года 3 назад мне ставили пломбу на 2.6 и кажется на 2.5. После этой пломбы 2.6 были очень неприятные ощущения, как -будто это пломба мешает, зуб казалось очень стянут ( до пломбы таких ощущений не замечала), сходила снова туда же, мне врач его видимо подровнял, но это не помогло, пришлось в др месте переделать, стало получше, но все равно было ощущение, что что-то не то. Я еще подумала, что ощущение, что зуб стянут может быть возникло из-за чего-то, что пахло хлоркой. И похожее ощущение было с 4.8 (ставили пломбу). Спасибо! Изменено 11 июля, 2018 пользователем bbss Ссылка на комментарий
St. Опубликовано 12 июля, 2018 Поделиться Опубликовано 12 июля, 2018 Общие симптомы не имеют связи с состоянием зубов. Поищите специалиста общего профиля. Возможно стоит показаться неврологу Ссылка на комментарий
bbss Опубликовано 14 июля, 2018 Автор Поделиться Опубликовано 14 июля, 2018 Cпасибо. К другим врачам уже обращалась, без особых результатов пока (Скажите пожалуйста, а зубы, в которых каналы запломбированы не до конца, нужно ли распломбировать и снова с каналами работать?И у которого остеит и внутренняя резорбция - с ними нужно что-то делать?А еще смутило, что в 3.6 зубе в периапикальной области наблюдается зона повышенной плотности, с четкими краями - это может быть какое-то образование? Ссылка на комментарий
Рекомендуемые сообщения
Для публикации сообщений создайте учётную запись или авторизуйтесь
Вы должны быть пользователем, чтобы оставить комментарий
Создать аккаунт
Зарегистрируйте новый аккаунт в нашем сообществе. Это очень просто!
Регистрация нового пользователяВойти
Уже есть аккаунт? Войти в систему.
Войти