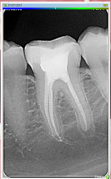
jagaa Опубликовано 10 июля, 2018 Поделиться Опубликовано 10 июля, 2018 (изменено) Прошу прощения, я не понимаю как прицепить снимок в личных сообщениях.Снимок 36го зуба спустя 2 меся после лечения пульпита. Болит даже от воды(( Сказали что нужно все заново делать и давать отток инфекции.. все так страшно?Если у меня есть гарантия на лечение зуба 1 год, его вылечат бесплатно или же по-новой платить? Заранее спасибо Администратор, удалите пож-та предыдущую мою тему Изменено 10 июля, 2018 пользователем jagaa Ссылка на комментарий
Бендер Опубликовано 10 июля, 2018 Поделиться Опубликовано 10 июля, 2018 От холодного болит? Ссылка на комментарий
jagaa Опубликовано 9 августа, 2018 Автор Поделиться Опубликовано 9 августа, 2018 От холодного болит?да от холодной воды только, иногда от горячей пищи.я вообще не понимаю что происходит с ним( ходила еще в одну клинику на снимки зуба со всех сторон в поисках скрытого канала, ничего нет, все идеально запломбировано! зуб продолжает болеть от еды и воды.. а сегодня утром вообще проснулась от дикой боли на всем зубе, без еды и воды уже... потом прошла как ни в чем не бывало..итого, 4 врача сказали что все ок. а зуб продолжает болеть. ОЧЕНЬ не хочется его перепломбировывать еще за 20 тысяч и получить, скорее всего тот же результат... дали в последней клинике пасту для чувствительных зубов, сказали через 2 месяца посмотреть как будет себя вести.. Ссылка на комментарий
jagaa Опубликовано 9 августа, 2018 Автор Поделиться Опубликовано 9 августа, 2018 (изменено) https://radikal.ru/lfp/a.radikal.ru/a14/1808/15/3365d91f0902.png/htm а вот панорамный снимок. Радует, что нет зубов мудрости хоть))))в носу-сережка)) Изменено 9 августа, 2018 пользователем jagaa Ссылка на комментарий
St. Опубликовано 10 августа, 2018 Поделиться Опубликовано 10 августа, 2018 вот панорамный снимок. Радует, что нет зубов мудрости хоть)))) Да, и с остальными зубами все достаточно хорошо. В 6 возможно спрятан пропущенный канал или кусочек нерва где-то остался, т.к. по рентгену 3 канала закрыты на всю длину. Лучше сделать КТ чтоб точно знать сколько каналов.И да, скорее всего придется перебирать каналы Ссылка на комментарий
jagaa Опубликовано 15 августа, 2018 Автор Поделиться Опубликовано 15 августа, 2018 Да, и с остальными зубами все достаточно хорошо. В 6 возможно спрятан пропущенный канал или кусочек нерва где-то остался, т.к. по рентгену 3 канала закрыты на всю длину. Лучше сделать КТ чтоб точно знать сколько каналов.И да, скорее всего придется перебирать каналы я делала снимки буквально неделю назад в другой клинике, там с 3 сторон зуб отфоткали - ответвлений никаких больше нет, запломбирован идеально...сейчас он перестал болеть, тьфу тьфу, НО... появились заново симптомы в виде опухшего лимфоузла у левого уха и боли в скуле... когда с ними пришла к стоматологу в первый раз - выявили пульпит.делать новый снимок? не понимаю что может быть, зубы больше не болят((( Ссылка на комментарий
St. Опубликовано 15 августа, 2018 Поделиться Опубликовано 15 августа, 2018 Возможно это вообще сейчас не от зубов. Анатомически нижний первый моляр не связан со скулой и ухом Ссылка на комментарий
jagaa Опубликовано 1 августа, 2019 Автор Поделиться Опубликовано 1 августа, 2019 Возможно это вообще сейчас не от зубов. Анатомически нижний первый моляр не связан со скулой и ухомВ последней клинике, где была, давали пасту для чувствительных десен - помогло пока чистила. Получается, это десны.. Но стреляет то в зуб, где нет нерва)) Кстати, спустя год, все так же... Ссылка на комментарий
Рекомендуемые сообщения
Для публикации сообщений создайте учётную запись или авторизуйтесь
Вы должны быть пользователем, чтобы оставить комментарий
Создать аккаунт
Зарегистрируйте новый аккаунт в нашем сообществе. Это очень просто!
Регистрация нового пользователяВойти
Уже есть аккаунт? Войти в систему.
Войти