Перейти к содержанию
Стоматология для всех

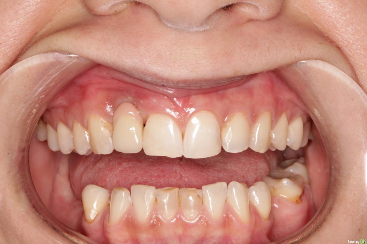
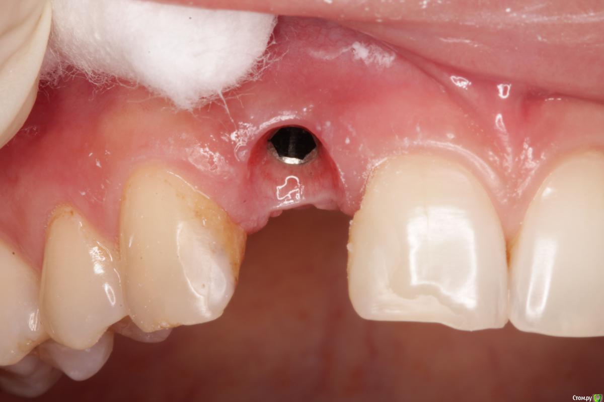
сильно заваленный имплантат


korotkevich

Рекомендуемые сообщения

  • 4 недели спустя...
  • Ответов 52
  • Создана
  • Последний ответ

Топ авторов темы

  • korotkevich

    14

  • dok1

    5

  • Pavel-Pskov

    3

  • chervoncevdaniil

    3

столкнулся с похожей ситуацией. Пациента увидел первый раз уже с формиком. Поставил временную акриловую, потом мк на индивидуальном титановом. Благо пациентка не морочилась .... но мне эта работа в кошмарах снится) 

post-28488-0-96122200-1535841408_thumb.jpg

post-28488-0-26304600-1535841442_thumb.jpg

post-28488-0-32965300-1535841481_thumb.jpg

post-28488-0-75790700-1535841509_thumb.jpg

Ссылка на комментарий

столкнулся с похожей ситуацией. Пациента увидел первый раз уже с формиком. Поставил временную акриловую, потом мк на индивидуальном титановом. Благо пациентка не морочилась .... но мне эта работа в кошмарах снится)

 

да, компромиссная работа)

Ссылка на комментарий

Для публикации сообщений создайте учётную запись или авторизуйтесь

Вы должны быть пользователем, чтобы оставить комментарий

Создать аккаунт

Зарегистрируйте новый аккаунт в нашем сообществе. Это очень просто!

Регистрация нового пользователя

Войти

Уже есть аккаунт? Войти в систему.

Войти
×
×
  • Создать...
Вверх