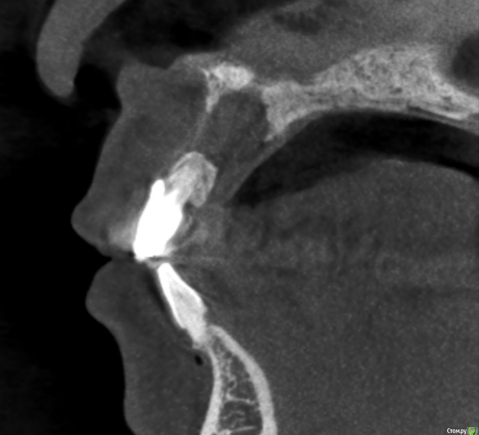
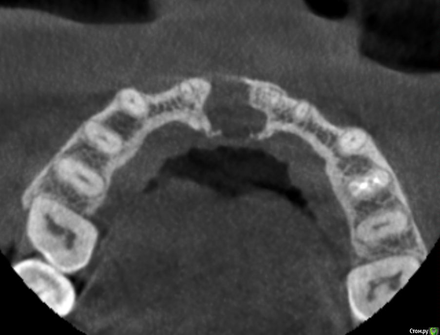
Kazankov.Egor Опубликовано 6 июля, 2018 Поделиться Опубликовано 6 июля, 2018 (изменено) Жалобы на неприятный запах изо рта, предположительно от 11 зуба. В анамнезе РВК 11 зуба.Скрины кт прилагаю. Пациент девушка, естественно, главный вопрос -эстетика. Нужна помощь по тактике. Изменено 6 июля, 2018 пользователем Kazankov.Egor Ссылка на комментарий
АнтонТЛТ Опубликовано 7 июля, 2018 Поделиться Опубликовано 7 июля, 2018 Если зуб под коронкой не сгнил, то ревизия периапикальных тканей и ретроградная пломбировка канала. 1 Ссылка на комментарий
Kazankov.Egor Опубликовано 7 июля, 2018 Автор Поделиться Опубликовано 7 июля, 2018 Визуально, небольшая рецессия десны, кариес цемента. Ссылка на комментарий
Kazankov.Egor Опубликовано 7 июля, 2018 Автор Поделиться Опубликовано 7 июля, 2018 Если зуб под коронкой не сгнил, то ревизия периапикальных тканей и ретроградная пломбировка канала.А с кистой несонобного канала как поступить? Ссылка на комментарий
АнтонТЛТ Опубликовано 7 июля, 2018 Поделиться Опубликовано 7 июля, 2018 (изменено) Выскоблить Изменено 7 июля, 2018 пользователем АнтонТЛТ Ссылка на комментарий
Kazankov.Egor Опубликовано 7 июля, 2018 Автор Поделиться Опубликовано 7 июля, 2018 При такой тактике не потеряю ли я объем в области кисты? Если сыпать графт, не будет ли повышенного риска его инфицирования? Нужно стабилизировать графт мембраной? Ссылка на комментарий
АнтонТЛТ Опубликовано 7 июля, 2018 Поделиться Опубликовано 7 июля, 2018 Я графт не использую при резекциях. Само восстановится. 1 Ссылка на комментарий
Kazankov.Egor Опубликовано 10 июля, 2018 Автор Поделиться Опубликовано 10 июля, 2018 Я графт не использую при резекциях. Само восстановится.ретроградно мта используете? Ссылка на комментарий
АнтонТЛТ Опубликовано 10 июля, 2018 Поделиться Опубликовано 10 июля, 2018 irm использую 1 Ссылка на комментарий
Kazankov.Egor Опубликовано 7 августа, 2018 Автор Поделиться Опубликовано 7 августа, 2018 Какой максимальный срок наблюдения таких зубов? В инструкции пишут, что один год герметизм держит... irm использую Ссылка на комментарий
АнтонТЛТ Опубликовано 7 августа, 2018 Поделиться Опубликовано 7 августа, 2018 Надо карточки поднять, глянуть 1 Ссылка на комментарий
АнтонТЛТ Опубликовано 15 августа, 2018 Поделиться Опубликовано 15 августа, 2018 Почти 1,5 года. Сегодня на осмотр приходил 2 Ссылка на комментарий
Kazankov.Egor Опубликовано 16 августа, 2018 Автор Поделиться Опубликовано 16 августа, 2018 Спасибо! Ссылка на комментарий
Рекомендуемые сообщения
Для публикации сообщений создайте учётную запись или авторизуйтесь
Вы должны быть пользователем, чтобы оставить комментарий
Создать аккаунт
Зарегистрируйте новый аккаунт в нашем сообществе. Это очень просто!
Регистрация нового пользователяВойти
Уже есть аккаунт? Войти в систему.
Войти