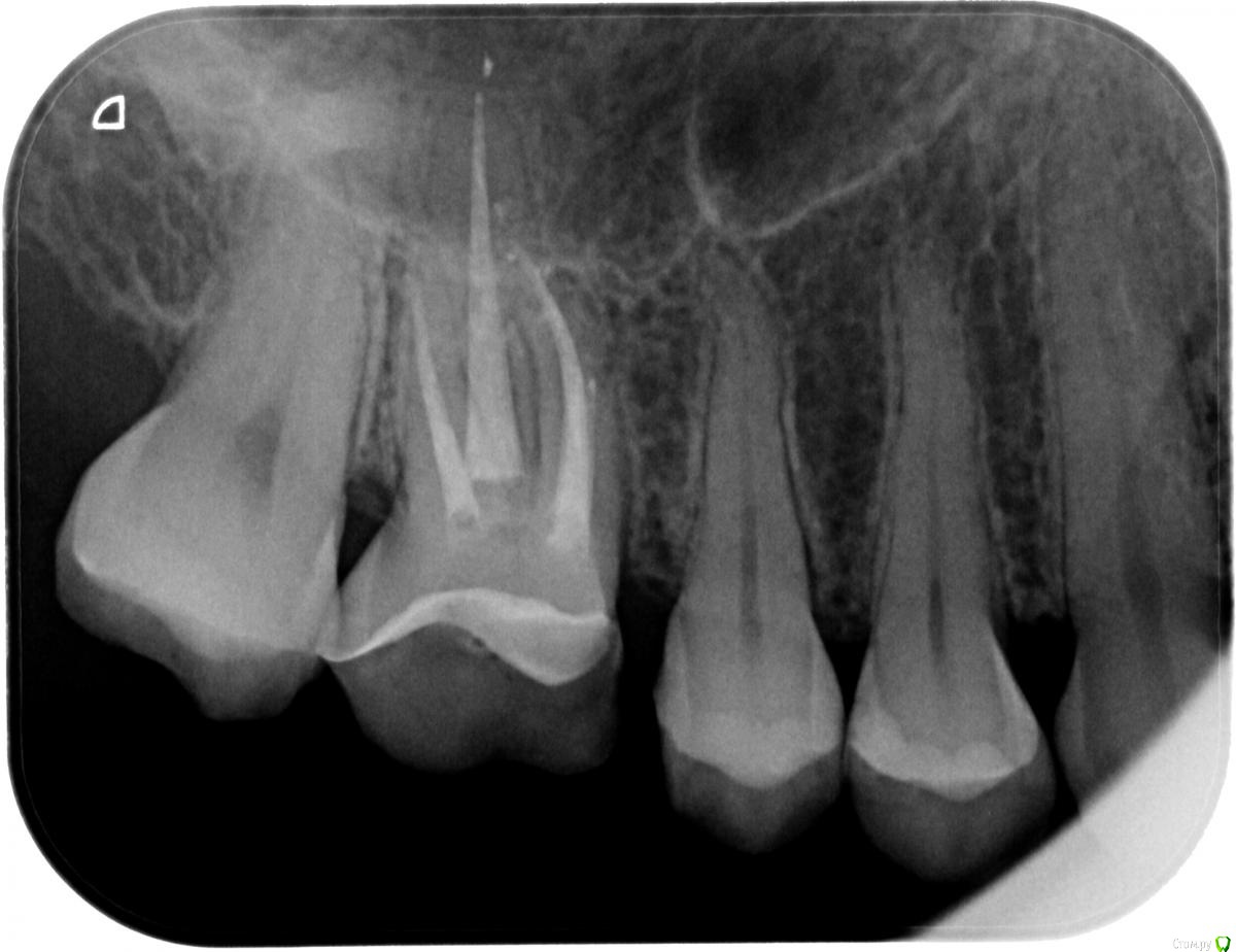
pocaba Опубликовано 6 июля, 2018 Поделиться Опубликовано 6 июля, 2018 (изменено) Добрый вечер! Я бы хотела спросить ваше мнение насчёт рентгеновского снимка в приложении.Недавно итальянский стоматолог установил стекловолоконный штифт на ранее депульпированный и перелеченный зуб, затем сделал билд-ап композитом, и в понедельник нужно будет идти делать слепок для циркониевой коронки. Рентген после установки штифта он не делал, а меня практически сразу начали беспокоить периодические пульсирующие ощущения (в основном по вечерам по время отхода ко сну) в области этого зуба. Они совсем не болезненные, но регулярные и хорошо ощутимые, и появились в тот же вечер после установки штифта и длятся уже третью неделю. Вчера я по своей инициативе сделала рентгеновский снимок в другой клинике, т.к. прежде чем заплатить 750 евро за коронку, я бы хотела иметь хотя бы минимальную уверенность в целостности корней перед её установкой, но оценить их состояние я разумеется не могу и потому хотела бы узнать мнение специалистов, если это возможно.n.16_05.07.2018.bmp Изменено 6 июля, 2018 пользователем pocaba Ссылка на комментарий
St. Опубликовано 6 июля, 2018 Поделиться Опубликовано 6 июля, 2018 Добрый день. Снимок это плоское изображение обьемных предметов, поэтому могут быть неточности. По предоставленному Вами штифт поставлен не совсем в проекции канала. 1 Ссылка на комментарий
dentikl Опубликовано 7 июля, 2018 Поделиться Опубликовано 7 июля, 2018 Добрый день. Снимок это плоское изображение обьемных предметов, поэтому могут быть неточности. По предоставленному Вами штифт поставлен не совсем в проекции канала.можете на снимке цветом показать свш? Ссылка на комментарий
St. Опубликовано 8 июля, 2018 Поделиться Опубликовано 8 июля, 2018 можете на снимке цветом показать свш?Да, конечно Ссылка на комментарий
pocaba Опубликовано 9 июля, 2018 Автор Поделиться Опубликовано 9 июля, 2018 Большое спасибо, St.! Я правильно понимаю, что синими точками выделена проекция канала, а красными - собственно штифт? Ссылка на комментарий
dentikl Опубликовано 9 июля, 2018 Поделиться Опубликовано 9 июля, 2018 Большое спасибо, St.! Я правильно понимаю, что синими точками выделена проекция канала, а красными - собственно штифт?ок.Остаюсь в уверенности,что распаковывая гутту зуб перфорнуть невозможно. Ссылка на комментарий
dentikl Опубликовано 9 июля, 2018 Поделиться Опубликовано 9 июля, 2018 Да, конечноОк.Промахнулся с ответом Ссылка на комментарий
pocaba Опубликовано 9 июля, 2018 Автор Поделиться Опубликовано 9 июля, 2018 (изменено) Я тогда, наверное, для информативности приложу снимок до установки штифта (январь 2018).Если действительно при распломбировке канала произошла перфорация корня и штифт вышел за пределы зуба, то что мне, по вашему мнению, имеет смысл предпринять как пациенту? Взять направление на КТ? Целесообразно ли будет попросить врача не делать циркониевую коронку, а установить на постоянный цемент временную пластмассовую, которую я сейчас и ношу на временном цементе?Вообще, во время установки штифта местной анестезии не было, и я не почувствовала хруста или каких-либо ощущений под зубом, как, например, было при перелечивании у эндодонта каналов этого же зуба гуттаперчей пару лет назад (тогда аж до слёз). Неужели возможно нисколько не почувствовать настолько вышедший за пределы зуба штифт при его установке? Изменено 9 июля, 2018 пользователем pocaba Ссылка на комментарий
St. Опубликовано 10 июля, 2018 Поделиться Опубликовано 10 июля, 2018 На снимке до все выглядит прилично. Взять направление на КТ? да, это как минимум разрешит все Ваши сомнения.И в зависимости от его результатов или оставлять временную и понаблюдать как будет зуб вести себя дальше или ставить постоянную Неужели возможно нисколько не почувствовать настолько вышедший за пределы зуба штифт при его установке? Нет, вы неправильно поняли мой ответ. Доктор спрашивал о направлении штифта. И на картинке я нарисовала как мне видится положение штифта и пломбировочного материала. Все это в пределах корня зуба. Ссылка на комментарий
pocaba Опубликовано 11 июля, 2018 Автор Поделиться Опубликовано 11 июля, 2018 (изменено) На снимке до все выглядит прилично. да, это как минимум разрешит все Ваши сомнения.И в зависимости от его результатов или оставлять временную и понаблюдать как будет зуб вести себя дальше или ставить постоянную Нет, вы неправильно поняли мой ответ. Доктор спрашивал о направлении штифта. И на картинке я нарисовала как мне видится положение штифта и пломбировочного материала. Все это в пределах корня зуба. Большое спасибо St., теперь стало гораздо понятнее.Стоматолог непосредственно перед постановкой штифта рентгеновские снимки, к сожалению, не видел: оказалось, что ассистентка забыла их сохранить с моей флешки после первого приёма, а я в этот момент уже сидела на кресле с раскрытым коффердамом. Доктор сказал, что "ну да ничего страшного, так поставим". После установки штифта контрольный снимок он тоже не делал. Пока что удалось сделать только ОПТГ, а приём у врача я перенесла на эту пятницу. Пульсация под зубом в последние дни больше не беспокоила.Скажите, пожалуйста, если штифт действительно стоит не совсем в проекции канала, то означает ли это, что он был установлен некорректно и такая конструкция малонадёжна? Повышает ли это вероятность того, что треснет корень или разовьётся инфекция? Я в полной растерянности и не знаю, стоит ли мне дальше продолжать работу над этим зубом: у частных итальянских стоматологов нет такого понятия, как "гарантия", и бесплатное либо недорогое устранение каких-то неожиданностей вроде вылетевшей коронки со штифтом зависит только от доброй воли и совести врача. ОПТГ зуб 16 крупным планомОПТГ целиком Изменено 11 июля, 2018 пользователем pocaba Ссылка на комментарий
St. Опубликовано 11 июля, 2018 Поделиться Опубликовано 11 июля, 2018 Пульсация под зубом в последние дни больше не беспокоила. Это уже хорошо! если штифт действительно стоит не совсем в проекции канала, то означает ли это, что он был установлен некорректно и такая конструкция малонадёжна? На этот вопрос сложно однозначно ответить, т.к. все очень индивидуально. Я в полной растерянности и не знаю, стоит ли мне дальше продолжать работу над этим зубом Не паникуйте, чего-то совсем катастрофического скорее всего нет.Если все успокоилось походите какое-то время с временной коронкой и если все ок протезируйте постоянно. Пока что удалось сделать только ОПТГ Для выяснения этих вопросов панорамный снимок не информативен Ссылка на комментарий
Рекомендуемые сообщения
Для публикации сообщений создайте учётную запись или авторизуйтесь
Вы должны быть пользователем, чтобы оставить комментарий
Создать аккаунт
Зарегистрируйте новый аккаунт в нашем сообществе. Это очень просто!
Регистрация нового пользователяВойти
Уже есть аккаунт? Войти в систему.
Войти