bbss Опубликовано 4 июля, 2018 Поделиться Опубликовано 4 июля, 2018 (изменено) Здравствуйте,У меня болят 4 зуба в разных местах периодически. 1 непрорезавшийся зуб мудрости сверху слева (даже скорее ряд болит от этого зуба до 5 примерно), зуб под коронкой справа, зуб резорциновый снизу справа и зуб слева снизу. Делала прицельный рентген снимок зуба мудрости (снимок на бумаге), и зуба слева снизу (врач сказала, что кариеса нет), но там оголены корни. Зуб резорциновый недавно перелечила (когда пломба выпала) не до конца (один канал получилось пройти, а два других, под которыми воспаление - не получилось, просто в итоге пломбой закрыли).Для зуба под коронкой врач посоветовала сделать кт. (Клкт?), т.к. рентген снимок не информативный вышел.Я хочу сама для себя понять, что там с этими зубами (особенно резорциновым), не ухудшилась ли ситуация, т.к. после перелечивания (но совпало это со стресс событием) начались боли в затылке, потом полегче стало, сейчас просто в голове какая-то слабость, туман, глазам неприятно бывает. Я не знаю, могут ли зубы такое давать, но вдруг. Вопрос такой, какое исследование лучше сделать в моей ситуации. Я думала сделать КЛКТ 12Х8? Нужно ли такое исследование для зуба мудрости моего, или снимка сделанного уже достаточно. Спасибо. Не знаю, важно ли, но недавно делала МРТ головного мозга, может оно что-то с зубами прояснить? (на картинке мрт на месте зубов просто черные пятна). В описание про зубы ничего нет. Изменено 4 июля, 2018 пользователем bbss Ссылка на комментарий
St. Опубликовано 4 июля, 2018 Поделиться Опубликовано 4 июля, 2018 Добрый день. МРТ отношения к зубам не имеет.Сделайте КТ( конусно-лучевая компьютерная томография) двух челюстей. Ссылка на комментарий
bbss Опубликовано 4 июля, 2018 Автор Поделиться Опубликовано 4 июля, 2018 Cпасибо за ответ. В том учреждении, где нашла клкт (пикассо), есть такие варианты КТ 12х8,5 или 16х9 см (я так поняла, что тут сразу и верхняя и нижняя), а есть еще у них 16Х5 исследование (написано, что оно используется в том случае, если нужна верхняя или нижняя челюсти) -это получается два таких надо? Ссылка на комментарий
Doc Опубликовано 4 июля, 2018 Поделиться Опубликовано 4 июля, 2018 Cпасибо за ответ. В том учреждении, где нашла клкт (пикассо), есть такие варианты КТ 12х8,5 или 16х9 см (я так поняла, что тут сразу и верхняя и нижняя), а есть еще у них 16Х5 исследование (написано, что оно используется в том случае, если нужна верхняя или нижняя челюсти) -это получается два таких надо? Обычно доктор в направлении пишет какой размер и на каком аппарате ему нужно. Делать два разных исследования на вч и нч отдельно бессмысленно. Зачем, если можно сделать один снимок сразу и на верх и на низ? Ссылка на комментарий
bbss Опубликовано 4 июля, 2018 Автор Поделиться Опубликовано 4 июля, 2018 Обычно доктор в направлении пишет какой размер и на каком аппарате ему нужно. Делать два разных исследования на вч и нч отдельно бессмысленно. Зачем, если можно сделать один снимок сразу и на верх и на низ?У меня нет направления. Доктор сказал только кт зуба под коронкой сделать, а я хочу еще другие зубы посмотреть, вот и задумалась, что лучше.Получается, что подходит 12Х8.5 (16х9)? Ссылка на комментарий
DmitrySH Опубликовано 4 июля, 2018 Поделиться Опубликовано 4 июля, 2018 Получается, что подходит 12Х8.5 (16х9)? Да, это оптимальный размер для диагностики Ссылка на комментарий
bbss Опубликовано 4 июля, 2018 Автор Поделиться Опубликовано 4 июля, 2018 Да, это оптимальный размер для диагностики Cпасибо. А есть разница, что именно: 12Х8.5 (Vatech) или 16Х9 (Planmeca)? Ссылка на комментарий
bbss Опубликовано 5 июля, 2018 Автор Поделиться Опубликовано 5 июля, 2018 Я извиняюсь за множество вопросов, но скажите пожалуйста, а если я сделаю 16х16 ( или 15х15 или 20х15 ), расширение не будет у них хуже, чем у 12 х8.5 или 16х9? Ссылка на комментарий
Doc Опубликовано 5 июля, 2018 Поделиться Опубликовано 5 июля, 2018 Я извиняюсь за множество вопросов, но скажите пожалуйста, а если я сделаю 16х16 ( или 15х15 или 20х15 ), расширение не будет у них хуже, чем у 12 х8.5 или 16х9?Вопрос вовсе не в расширении, а в том объеме, который нужен доктору. Если ему нужны только зубы, то достаточно и 12х8.5, а если нужны еще и суставы и часть пазух, то лучше 16х9. Плюс у врача может быть предпочтение по программе, одну он любит и хорошо в ней разбирается, а в другой может не очень хорошо. Поэтому если врач требует КТ, то обычно дает направление, где должно быть все написано, и размер и производитель. Ссылка на комментарий
bbss Опубликовано 5 июля, 2018 Автор Поделиться Опубликовано 5 июля, 2018 (изменено) стат нужны еще и суставы и часть пазух, то лучше 16х9..Тут случайно нет опечатки, наверное 16х16 имели ввиду? Doc, у меня пока нет врача, которому все это нужно. Я просто больше беспокоюсь из-за проблем с головой и хочу понять, не могут ли зубы или теперь уже думаю и суставы это давать. Хочу сделать описание, а потом уже решить, что со всем делать. Больше всего конечно беспокоит резорциновый, но врач моя ничего с ним другого не может сделать, кроме удаления ( а рядом итак зуба нет). Изменено 5 июля, 2018 пользователем bbss Ссылка на комментарий
bbss Опубликовано 5 июля, 2018 Автор Поделиться Опубликовано 5 июля, 2018 Я открыла свой мрт диск, там вроде видны пазухи и суставы, может они бы написали, если что не так? ( В описании есть только про утолщение слизистой). Ссылка на комментарий
bbss Опубликовано 5 июля, 2018 Автор Поделиться Опубликовано 5 июля, 2018 (изменено) Остановилась на ватеке 12 на 8, из-за доступности расположения( Изменено 5 июля, 2018 пользователем bbss Ссылка на комментарий
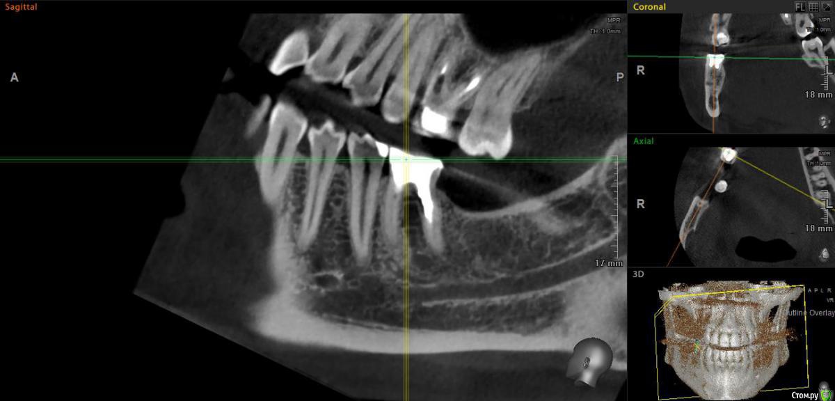
bbss Опубликовано 6 июля, 2018 Автор Поделиться Опубликовано 6 июля, 2018 Здравствуйте.Скажите пожалуйста, можно ли что-то сказать по-моему снимку о 6 снизу и 6 сверху? Ссылка на комментарий
Рекомендуемые сообщения
Для публикации сообщений создайте учётную запись или авторизуйтесь
Вы должны быть пользователем, чтобы оставить комментарий
Создать аккаунт
Зарегистрируйте новый аккаунт в нашем сообществе. Это очень просто!
Регистрация нового пользователяВойти
Уже есть аккаунт? Войти в систему.
Войти