Витторио Орлионе Опубликовано 4 июля, 2018 Поделиться Опубликовано 4 июля, 2018 очень прошу мудрого совета у вас дорогие коллеги!!! Пациента беспокоят выделения из под десны, при осмотре выявлен карман глубиной 5 мм, зуб витален и стратегически нужен для дальнейшего лечения, потому что пациент хотел бы реабилитировать верхнюю челюсть, причиной всего этого как мне кажется стал нависающий край коронки, можно ли добиться стабилизации процесса сняв коронку проведя глубокий скейлинг, чтобы в будущем взять этот зубик под опору в мостовидном протезе или лучше на него все таки не расчитывать и удалить... Ссылка на комментарий
Dr.Mikitos Опубликовано 4 июля, 2018 Поделиться Опубликовано 4 июля, 2018 очень прошу мудрого совета у вас дорогие коллеги!!! Пациента беспокоят выделения из под десны, при осмотре выявлен карман глубиной 5 мм, зуб витален и стратегически нужен для дальнейшего лечения, потому что пациент хотел бы реабилитировать верхнюю челюсть, причиной всего этого как мне кажется стал нависающий край коронки, можно ли добиться стабилизации процесса сняв коронку проведя глубокий скейлинг, чтобы в будущем взять этот зубик под опору в мостовидном протезе или лучше на него все таки не расчитывать и удалить...Зуб подвижный? если нет, то глубокий скейлинг, закрытый кюретаж, наблюдение. Если все хорошо, заполировать уступ, покрыть коронкой. Если же зуб подвижный, то вся та же схема, только по мере необходимости можете добавить открытый кюретаж. Но по фото, все должно быть хорошо! Ссылка на комментарий
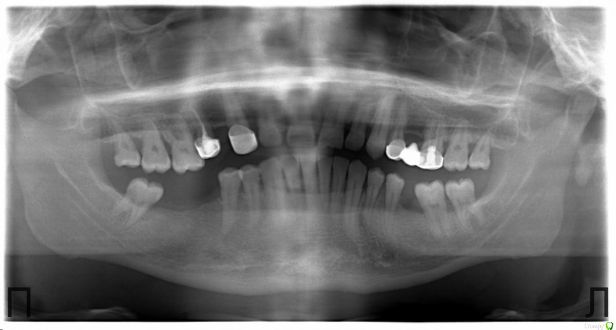
Карен Аванесов Опубликовано 4 июля, 2018 Поделиться Опубликовано 4 июля, 2018 Судя по фото проблемы с пародонтом имеют генерализованный характер, решать надо глобально. Ссылка на комментарий
Витторио Орлионе Опубликовано 4 июля, 2018 Автор Поделиться Опубликовано 4 июля, 2018 Судя по фото проблемы с пародонтом имеют генерализованный характер, решать надо глобально.уже удалён зуб 1.1 и планируется удаление зуба 1.6 (феномен Попова-Годона), а далее мостовидный протез 1.7 - 1.5 - 1.3, 1.2-2.1, 2.4 - 2.6, одиночные коронки 2.2, 2.3. А как бы поступили вы? Ссылка на комментарий
Ethan Hunt Опубликовано 4 июля, 2018 Поделиться Опубликовано 4 июля, 2018 Штампанину на мороз бы выгнал для начала.Определил состояние пародонта: глубина карманов, зубодесневое прикрепление, etc...Ну и оттуда работать Ссылка на комментарий
Дмитрий Л. Опубликовано 5 июля, 2018 Поделиться Опубликовано 5 июля, 2018 можно ли добиться стабилизации процесса сняв коронку проведя глубокий скейлинг, чтобы в будущем взять этот зубик под опору в мостовидном протезе или лучше на него все таки не расчитывать и удалить...Только так и можно) Ссылка на комментарий
Corsag21 Опубликовано 5 июля, 2018 Поделиться Опубликовано 5 июля, 2018 (изменено) Штампанину на мороз бы выгнал для начала.Определил состояние пародонта: глубина карманов, зубодесневое прикрепление, etc...Ну и оттуда работать Что делать когда мы узнаем глубину карманов, зубодесневого прикрепления? По снимку ОПТГ видно что примерно 50% костной ткани есть и во рту нет оголения корней. Если зубы устойчивы, то можно несъемные делать. Хуже когда все зубы подвижны 1 степени и соматическое заболевание, я не знаю оптимального способа протезирования на эти случаи. Что-то мне кажется что у пациента сахарный диабет. Почему удаляете 1.6 - он неустойчив или периапикальная патология? Изменено 5 июля, 2018 пользователем Corsag21 Ссылка на комментарий
Витторио Орлионе Опубликовано 5 июля, 2018 Автор Поделиться Опубликовано 5 июля, 2018 Что делать когда мы узнаем глубину карманов, зубодесневого прикрепления? По снимку ОПТГ видно что примерно 50% костной ткани есть и во рту нет оголения корней. Если зубы устойчивы, то можно несъемные делать. Хуже когда все зубы подвижны 1 степени и соматическое заболевание, я не знаю оптимального способа протезирования на эти случаи. Что-то мне кажется что у пациента сахарный диабет. Почему удаляете 1.6 - он неустойчив или периапикальная патология?в четвёртом сегменте планируется мостовидный протез стало быть надо 1.6 брать под коронку, а бифуркация оголена и потому зуб всё таки пойдёт под удаление, к тому моменту уже будет стоять мостовидный протез 1.5-1.3 и единственный вариант это ставить имплант, нужен будет синуслифтинг, аааа удаление и удлинение мостовидного протеза до 1.7-1.5-1.3 будет более долгосрочной и логичной конструкции по мне, могу и ошибаться... Ссылка на комментарий
krokomot Опубликовано 5 июля, 2018 Поделиться Опубликовано 5 июля, 2018 НИкакой закрыты скейлин и кюретаж не поможет, это мертвому припарка, если хотите улучшить состояние, нужно раскрывать корень, скейлинг, рут планинг и полишинг, обработка корня, лоскут натянуть, но тут нужен опыт определенный. 2 Ссылка на комментарий
Corsag21 Опубликовано 5 июля, 2018 Поделиться Опубликовано 5 июля, 2018 НИкакой закрыты скейлин и кюретаж не поможет, это мертвому припарка, если хотите улучшить состояние, нужно раскрывать корень, скейлинг, рут планинг и полишинг, обработка корня, лоскут натянуть, но тут нужен опыт определенный.если на зубе нет налета, отложений зубных и прочей бяки, стоит ли тогда лезть туда? А что делать если все зубы подвижны 1 степени и резорбция костной ткани почти 1\2 на всех зубах? Помогите с тактикой. Ссылка на комментарий
krokomot Опубликовано 5 июля, 2018 Поделиться Опубликовано 5 июля, 2018 если на зубе нет налета, отложений зубных и прочей бяки, стоит ли тогда лезть туда? А что делать если все зубы подвижны 1 степени и резорбция костной ткани почти 1\2 на всех зубах? Помогите с тактикой.Не бывает огня без дыма, если из кармана течет, значит там кто-то живёт, и запомните карманы без налета и флоры не образуются, есть карман,- есть проблемма. Тактика зависит от желания и возможностей пациента, при атрофии 1\2 вы не получите идеальную бело-розувую эстетику, в любом случае в чем то будет компромис, на начальном этапе всегда веду таких пациентов поэтапно, снала стабилизируем процесс, потом смотрим что на выходе отсюда и дальнейшая тактика с протезированием, но если пациента не вывести из margin periodontitis? то о каком протезировании может идти речь? и темболее никаких мостов уже не может быть, одиночки плюс съемник или же одиночки плюс имплантаты, ну и на крайняк всё в топку и олл ин фо)) 1 Ссылка на комментарий
Ethan Hunt Опубликовано 6 июля, 2018 Поделиться Опубликовано 6 июля, 2018 Почему удаляете 1.6 - он неустойчив или периапикальная патология? этот вопрос мне адресован? Что делать когда мы узнаем глубину карманов, зубодесневого прикрепления? определиться с тем лоскутную ли или закрытый кюретаж выполнить Ссылка на комментарий
Рекомендуемые сообщения
Для публикации сообщений создайте учётную запись или авторизуйтесь
Вы должны быть пользователем, чтобы оставить комментарий
Создать аккаунт
Зарегистрируйте новый аккаунт в нашем сообществе. Это очень просто!
Регистрация нового пользователяВойти
Уже есть аккаунт? Войти в систему.
Войти