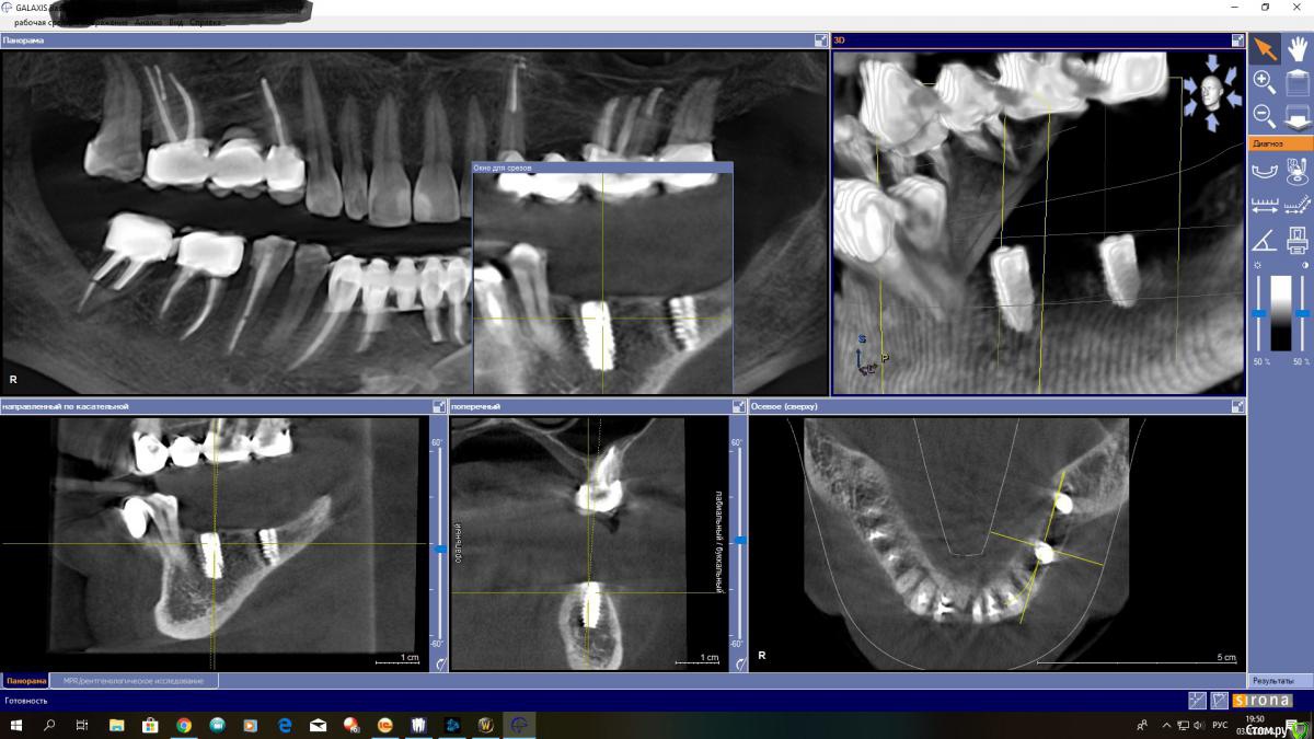
Ponchik Опубликовано 3 июля, 2018 Поделиться Опубликовано 3 июля, 2018 Вот как-то так блин получилось Весь из себя психованный ставил (дома поругался), а может по жизни косорукий, и вот.... язычная стенка 0.5-0.75 При запиле и вкручивании язычная стенка вела себя хорошо. Видел её язычно на 5-6мм вниз точно.Опыта мало, не знаю как поступить. Может вызвать пациентку и выкрутить его ? Ссылка на комментарий
Ponchik Опубликовано 3 июля, 2018 Автор Поделиться Опубликовано 3 июля, 2018 Блин. И пульпит 1.5 не вылечила.... Только сейчас обратил внимание. Обещала у "своего" терапевта вылечить. Ссылка на комментарий
TIGER Опубликовано 3 июля, 2018 Поделиться Опубликовано 3 июля, 2018 1.jpg Вот как-то так блин получилось Весь из себя психованный ставил (дома поругался), а может по жизни косорукий, и вот.... язычная стенка 0.5-0.75 При запиле и вкручивании язычная стенка вела себя хорошо. Видел её язычно на 5-6мм вниз точно.Опыта мало, не знаю как поступить. Может вызвать пациентку и выкрутить его ?БУДЕТ жить,не переживайте Ссылка на комментарий
Ponchik Опубликовано 3 июля, 2018 Автор Поделиться Опубликовано 3 июля, 2018 (изменено) https://photos.google.com/photo/AF1QipPJXDLEMrh16Or_6JOOJ6cuWlvGx85mMav8Tow_ Ссылка на "прокрутку КТ" 17сек. видео Изменено 3 июля, 2018 пользователем Ponchik Ссылка на комментарий
Карен Аванесов Опубликовано 3 июля, 2018 Поделиться Опубликовано 3 июля, 2018 Пончик не психуй, все нормально будет. То что переживаешь, хорошо, но лучше в руках себя держать) 8 Ссылка на комментарий
red_butler Опубликовано 3 июля, 2018 Поделиться Опубликовано 3 июля, 2018 Все нормально Ссылка на комментарий
Ponchik Опубликовано 3 июля, 2018 Автор Поделиться Опубликовано 3 июля, 2018 Пончик не психуй Это не для этого раздела, но спокойно не могу работать если из дома вышел со скандалом. Вот и решил спросить у коллег, а то зная себя могу наворотить (когда этот винт ставил - один выкинул, т.к. слизистой коснулся). Спасибо большое за то, что откликнулись. А то сегодня я готов рубить с плеча. Может персенчика или афобазольчика попить. Эх. Вот не надо было меня уговаривать весь отпуск у тёщи в деревне проводить. P.S. Сорь за оффтоп. Ссылка на комментарий
Карен Аванесов Опубликовано 3 июля, 2018 Поделиться Опубликовано 3 июля, 2018 Лучше "убить" злость на тренировке. 1 Ссылка на комментарий
koreandr Опубликовано 3 июля, 2018 Поделиться Опубликовано 3 июля, 2018 +1 займитесь спортом. Может через год вы и на месяц к теще уедете). "это почему я раньше такой злой был? Потому что по уху ни разу не получал"))) 2 Ссылка на комментарий
Ponchik Опубликовано 3 июля, 2018 Автор Поделиться Опубликовано 3 июля, 2018 (изменено) Всё! В своих глазах чуть реабилитировался ) А перед этим по телефону помирился ))) сразу работа пошла ! Изменено 3 июля, 2018 пользователем Ponchik Ссылка на комментарий
колесников Опубликовано 3 июля, 2018 Поделиться Опубликовано 3 июля, 2018 Я бы переустановил. С этой язычной слизистой одни проблемы,уж лучшеб он вестибулярно так зиял. «Коснулся слизистой»это причина для не устовки? Ссылка на комментарий
Ethan Hunt Опубликовано 4 июля, 2018 Поделиться Опубликовано 4 июля, 2018 я бы выкрутил в тот же момент. В области этого зуба, как правило, необходима ангуляция в пределах до 20 градусов. Нагрузите имплантат - может пойти резорбция язычно. Может и не пойти...выбирать вам Ссылка на комментарий
Реваз Опубликовано 4 июля, 2018 Поделиться Опубликовано 4 июля, 2018 лучше конечно выкрутить, вероятность резорбции большая Ссылка на комментарий
Тимур86 Опубликовано 4 июля, 2018 Поделиться Опубликовано 4 июля, 2018 (изменено) Вообще проблемы не вижу. Как и раньше говорил-если после всех имплантов все КТ будут делать,то устанем имланты выкручивать))десны добавить и всё хорошо будет Изменено 4 июля, 2018 пользователем Тимур86 5 Ссылка на комментарий
Евгений Ходыкин Опубликовано 4 июля, 2018 Поделиться Опубликовано 4 июля, 2018 Про контакт со слизистой тоже улыбнуло. Знаю врачей, которые после автоклава болты "вгоняют" и те интегрируюца)) Ссылка на комментарий
Ponchik Опубликовано 4 июля, 2018 Автор Поделиться Опубликовано 4 июля, 2018 Блин, вот теперь думай выкрутить - не выкрутить ?А про слизистую - это конечно блаж и психи. Ссылка на комментарий
Astronaft Опубликовано 5 июля, 2018 Поделиться Опубликовано 5 июля, 2018 Я бы не трогал, не думаю, что язычной кости что-то грозит. Пончик, специально для вас Франц Кафка притчу написал. Мы часто сами себе преграды придумываем. «У врат Закона стоял привратник. Пришёл к привратнику поселянин и попросил пропустить его к Закону. Но привратник сказал, что в настоящую минуту он пропустить его не может. И подумал посетитель и вновь спросил, может ли он войти туда впоследствии?— Возможно, — ответил привратник, — но сейчас войти нельзя.Однако врата Закона, как всегда, открыты, а привратник стоял в стороне, и проситель, наклонившись, постарался заглянуть в недра Закона. Увидев это, привратник засмеялся и сказал:— Если тебе так не терпится, попытайся войти, не слушай моего запрета. Но знай: могущество моё велико. А ведь я только самый ничтожный из стражей. Там, от покоя к покою, стоят привратники, один могущественнее другого. Уже третий из них внушал мне невыносимый страх.Не ожидал таких препон поселянин: «Ведь доступ к Закону должен быть открыт для всех в любой час», — подумал он. Но тут он пристальнее взглянул на привратника, на его тяжёлую шубу, на острый горбатый нос, на длинную жидкую чёрную монгольскую бороду и решил, что лучше подождать, пока не разрешат войти.Привратник подал ему скамеечку и позволил присесть в стороне, у входа. И сидел он там день за днём и год за годом. Непрестанно добивался он, чтобы его впустили, и докучал привратнику этими просьбами. Иногда привратник допрашивал его, выпытывал, откуда он родом и многое другое, но вопросы задавал безучастно, как важный господин, и под конец непрестанно повторял, что пропустить его он ещё не может.Много добра взял с собой в дорогу поселянин, и всё, даже самое ценное, он отдавал, чтобы подкупить привратника. А тот всё принимал, но при этом говорил:— Беру, чтобы ты не думал, будто ты что–то упустил.Шли года, внимание просителя неотступно было приковано к привратнику. Он забыл, что есть ещё другие стражи, и ему казалось, что только этот, первый, преграждает ему доступ к Закону. В первые годы он громко проклинал эту свою неудачу, а потом пришла старость и он только ворчал про себя.Наконец он впал в детство, и, оттого что он столько лет изучал привратника и знал каждую блоху в его меховом воротнике, он молил даже этих блох помочь ему уговорить привратника. Уже померк свет в его глазах, и он не понимал, потемнело ли всё вокруг, или его обманывало зрение. Но теперь, во тьме, он увидел, что неугасимый свет струится из врат Закона.И вот жизнь его подошла к концу. Перед смертью всё, что он испытал за долгие годы, свелось в его мыслях к одному вопросу — этот вопрос он ещё ни разу не задавал привратнику. Он подозвал его кивком — окоченевшее тело уже не повиновалось ему, подняться он не мог. И привратнику пришлось низко наклониться — теперь по сравнению с ним проситель стал совсем ничтожного роста.— Что тебе ещё нужно узнать? — спросил привратник. — Ненасытный ты человек!— Ведь все люди стремятся к Закону, — сказал тот, — как же случилось, что за все эти долгие годы никто, кроме меня, не требовал, чтобы его пропустили?И привратник, видя, что поселянин уже совсем отходит, закричал изо всех сил, чтобы тот ещё успел услыхать ответ:— Никому сюда входа нет, эти врата были предназначены для тебя одного! Теперь пойду и запру их.» 7 Ссылка на комментарий
Irouil Опубликовано 5 июля, 2018 Поделиться Опубликовано 5 июля, 2018 Вот за что я люблю Astronaft'а) 2 Ссылка на комментарий
AlexanderGudkov Опубликовано 12 июля, 2018 Поделиться Опубликовано 12 июля, 2018 Пончик, разводись))А то и себе нервы трепешь и пацам не на пользу)) 2 Ссылка на комментарий
Карен Аванесов Опубликовано 12 июля, 2018 Поделиться Опубликовано 12 июля, 2018 Пончик, разводись))А то и себе нервы трепешь и пацам не на пользу))Саша аты это проходил? Это очень опасный шаг если активы не застрахованы. Так што... Ссылка на комментарий
AlexanderGudkov Опубликовано 12 июля, 2018 Поделиться Опубликовано 12 июля, 2018 Саша аты это проходил? Это очень опасный шаг если активы не застрахованы. Так што...Я не проходил, но заметил, что от переживаний здоровье портится))А оно не покупается)) Ссылка на комментарий
Ponchik Опубликовано 13 июля, 2018 Автор Поделиться Опубликовано 13 июля, 2018 Это второй брак... снова разводиться не намерен . Надо просто самому быть спокойнее. Псих обычно я. И как меня терпят? Ссылка на комментарий
Рекомендуемые сообщения
Для публикации сообщений создайте учётную запись или авторизуйтесь
Вы должны быть пользователем, чтобы оставить комментарий
Создать аккаунт
Зарегистрируйте новый аккаунт в нашем сообществе. Это очень просто!
Регистрация нового пользователяВойти
Уже есть аккаунт? Войти в систему.
Войти