Sampson Опубликовано 3 июля, 2018 Поделиться Опубликовано 3 июля, 2018 1. Забор трансплантата из области 16-17Ушивание2.пластика предверия штрипсой по Урбану3. Установка 2 импланта Adin rpУшивание4.удаление 16. Prf в лунку,поверх губка Альванес. 7 Ссылка на комментарий
Bier Опубликовано 3 июля, 2018 Поделиться Опубликовано 3 июля, 2018 это немного не по Урбану есть ошибки 1 Ссылка на комментарий
Sampson Опубликовано 3 июля, 2018 Автор Поделиться Опубликовано 3 июля, 2018 (изменено) Я для того и выложил, чтоб исправляться.Поможете? Если для вас не затруднительно. Если какие-то вещи я не указал вы спросите. Эти фото это только верхушка айсберга Изменено 3 июля, 2018 пользователем Sampson Ссылка на комментарий
Bier Опубликовано 4 июля, 2018 Поделиться Опубликовано 4 июля, 2018 Можно наводящий вопрос?Какую роль играет штрипса в подобной пластике? 1 Ссылка на комментарий
Sampson Опубликовано 4 июля, 2018 Автор Поделиться Опубликовано 4 июля, 2018 (изменено) Можно наводящий вопрос?Какую роль играет штрипса в подобной пластике?Конечно, мне приятно)) по моему мнению,Она удерживает слизистую щек от приростания к альвеолярному отростку. Создавая собой барьер прикреплённый к надкостнице. Изменено 4 июля, 2018 пользователем Sampson Ссылка на комментарий
Bier Опубликовано 4 июля, 2018 Поделиться Опубликовано 4 июля, 2018 в этом и есть ошибка, штрипса удерживает клетки подвижного эпителия от врастания в зону, где планируется создать КПД. Таким образом пространство между штрипсой и гребнем должно эпителизироваться кератинизированным эпителием. Теперь посмотрите как вы закрепили штрипсу и решает ли она эти задачи. Ссылка на комментарий
Sampson Опубликовано 4 июля, 2018 Автор Поделиться Опубликовано 4 июля, 2018 Как мне это исправить тут?Я так понял лоскут ещё ниже сместить?? Ссылка на комментарий
Bier Опубликовано 4 июля, 2018 Поделиться Опубликовано 4 июля, 2018 Как мне это исправить тут?Я так понял лоскут ещё ниже сместить??нет, у вас пространство не изолировано. Штрипса должна идти от одного края кератинизированной десны к другому, а у вас только с одного края. 1 Ссылка на комментарий
Sampson Опубликовано 4 июля, 2018 Автор Поделиться Опубликовано 4 июля, 2018 Ааааа, ясно. Спасибо что объяснили. в области 47 там действительно не хватило длинны штирипсы. Ссылка на комментарий
Bier Опубликовано 4 июля, 2018 Поделиться Опубликовано 4 июля, 2018 Ааааа, ясно. Спасибо что объяснили. в области 47 там действительно не хватило длинны штирипсы.нужно было еще кусочек отрезать и довести до конца Ссылка на комментарий
Sampson Опубликовано 4 июля, 2018 Автор Поделиться Опубликовано 4 июля, 2018 Ок. В таком случае сшиваете сдт между собой? И каким швом? Ссылка на комментарий
Sampson Опубликовано 4 июля, 2018 Автор Поделиться Опубликовано 4 июля, 2018 Мне тут ещё в личку подсказал что нужно было вместе с эпителием забор производить Ссылка на комментарий
Kazankov.Egor Опубликовано 6 июля, 2018 Поделиться Опубликовано 6 июля, 2018 Штрипса - это то что Урбан называет бордюром?) Или у него несколько методик? Если одно и то же, то в теме свободный пересказ на тему. Проще сходить на операцию к человеку, который работает по этой методике. Ссылка на комментарий
johniola Опубликовано 6 июля, 2018 Поделиться Опубликовано 6 июля, 2018 нет, у вас пространство не изолировано. Штрипса должна идти от одного края кератинизированной десны к другому, а у вас только с одного края.Олег есть фото? Ссылка на комментарий
Bier Опубликовано 6 июля, 2018 Поделиться Опубликовано 6 июля, 2018 Олег есть фотоконечно есть )https://yadi.sk/i/nl0Fl-FA3YrCde 3 Ссылка на комментарий
Bier Опубликовано 6 июля, 2018 Поделиться Опубликовано 6 июля, 2018 Ок. В таком случае сшиваете сдт между собой? И каким швом?между собой сшивать не надо одну просто располагайте чуть апикальнее другой Ссылка на комментарий
johniola Опубликовано 6 июля, 2018 Поделиться Опубликовано 6 июля, 2018 конечно есть )https://yadi.sk/i/nl0Fl-FA3YrCdeНУ ВСЁ ПРАВИЛЬНО.А ТО Я НЕ ПОНЯЛ О ЧЁМ РЕЧЬ Ссылка на комментарий
L.E.S.I.K. Опубликовано 6 июля, 2018 Поделиться Опубликовано 6 июля, 2018 конечно есть )https://yadi.sk/i/nl0Fl-FA3YrНа открытую поверхность вы пришиваете ССТ (или мукодерм)? Ссылка на комментарий
Bier Опубликовано 6 июля, 2018 Поделиться Опубликовано 6 июля, 2018 На открытую поверхность вы пришиваете ССТ (или мукодерм)?нет, ССТ как правило отгнивает в откратом виде, а мукографт дорого очень получается. 1 Ссылка на комментарий
L.E.S.I.K. Опубликовано 6 июля, 2018 Поделиться Опубликовано 6 июля, 2018 нет, ССТ как правило отгнивает в откратом виде, а мукографт дорого очень получается.У меня при такой пластике получается кератинизированная десна, но почему-то довольно тонкая. Это, по-видимому, зависит от биотипа окружающих тканей? Или сильно тонкий слой тканей оставляю на кости при расщеплении? Ссылка на комментарий
johniola Опубликовано 6 июля, 2018 Поделиться Опубликовано 6 июля, 2018 (изменено) У меня при такой пластике получается кератинизированная десна, но почему-то довольно тонкая. Это, по-видимому, зависит от биотипа окружающих тканей? Или сильно тонкий слой тканей оставляю на кости при расщеплении Изменено 6 июля, 2018 пользователем johniola Ссылка на комментарий
Bier Опубликовано 7 июля, 2018 Поделиться Опубликовано 7 июля, 2018 У меня при такой пластике получается кератинизированная десна, но почему-то довольно тонкая. Это, по-видимому, зависит от биотипа окружающих тканей? Или сильно тонкий слой тканей оставляю на кости при расщеплении?я как правило предварительно утолщаю биотип подсадкой ССТ на этапе имплантации 3 Ссылка на комментарий
Sampson Опубликовано 7 июля, 2018 Автор Поделиться Опубликовано 7 июля, 2018 конечно есть )https://yadi.sk/i/nl0Fl-FA3YrCСпасибо за фото Ссылка на комментарий
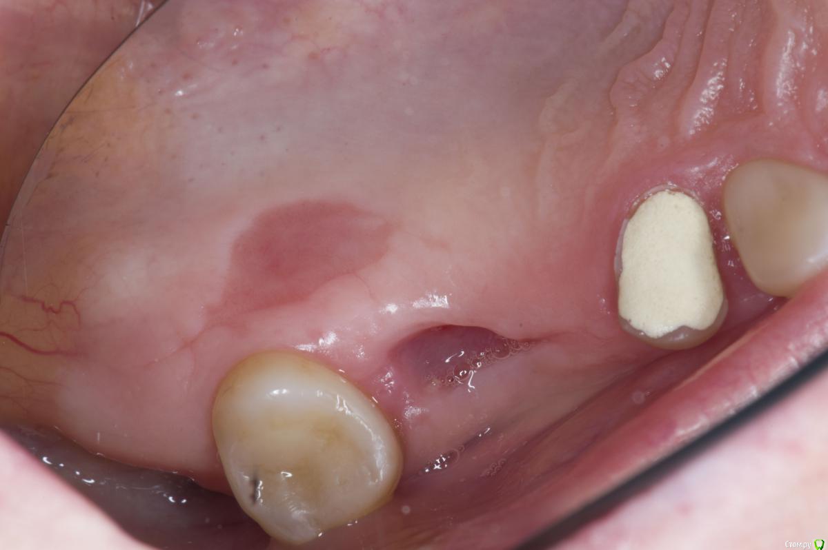
Sampson Опубликовано 13 июля, 2018 Автор Поделиться Опубликовано 13 июля, 2018 Вид через 7 дней.Не болит, нет отека.Швы на 45 46 тугие.при подтягивании безболененые и кровоточат. Ссылка на комментарий
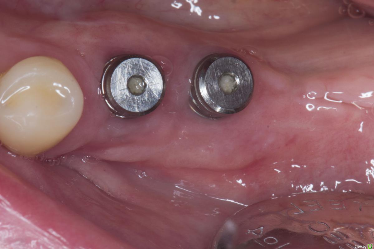
Sampson Опубликовано 7 августа, 2018 Автор Поделиться Опубликовано 7 августа, 2018 месяц спустя Ссылка на комментарий
Рекомендуемые сообщения
Для публикации сообщений создайте учётную запись или авторизуйтесь
Вы должны быть пользователем, чтобы оставить комментарий
Создать аккаунт
Зарегистрируйте новый аккаунт в нашем сообществе. Это очень просто!
Регистрация нового пользователяВойти
Уже есть аккаунт? Войти в систему.
Войти