Олеся2018 Опубликовано 30 июня, 2018 Поделиться Опубликовано 30 июня, 2018 Добрый день! Необходим совет по поводу 25 и 26 зубов. На обоих кисты образовались после проведенного лечения. Болят уже два года... Проблема еще в том, что живу я на Чукотке, в одном из маленьких поселков, где нет нормальной медицинской помощи, а уж тем более стоматолога (до ближайшего врача-стоматолога полтора часа лёта на самолёте и не многие могут это себе позволить). Попасть к стоматологу можно только в очередном отпуске, который бывает раз в два года. В общем-то два года назад и был пролечен 25 зуб, а на 26-й поставлена коронка. Проблемы начались как только я вернулась домой из отпуска. Постоянная боль в 25-ом зубе и пульсация вокруг него, начал шататься. Так как у нас стоматолога нет, пришлось терпеть два года до следующего отпуска... Сейчас нахожусь на "материке", сделала снимки и КТ, и бегом к стоматологу на консультацию. Первый сказал, что только удаление зубов может помочь, второй стоматолог посоветовал заново пролечить каналы и посмотреть, что будет, третий отправил в челюстно-лицевую хирургию для удаления кист на 25-ом и 26-ом зубе с помощью резекции верхушек корней. Времени у меня всего месяц, дальше отпуск заканчивается и я возвращаюсь домой.Что нужно сделать, чтобы избавиться от кист с наибольшей вероятностью? Я готова и удалить эти зубы, лишь бы не было воспаления и постоянных болей. Еще два года мучений я не выдержу. Ссылка на комментарий
red_butler Опубликовано 1 июля, 2018 Поделиться Опубликовано 1 июля, 2018 кисты нет, есть периодонтит пятого зуба. Требуется его повторное лечение. Шестой - нужно "крутить" Кт Ссылка на комментарий
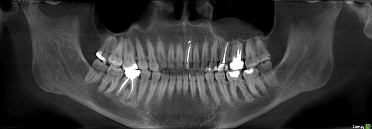
Олеся2018 Опубликовано 1 июля, 2018 Автор Поделиться Опубликовано 1 июля, 2018 Насколько велик шанс появления периодонтита снова после перелечивания зуба? Тут КТ:https://filecloud.me/5qrf7ngxy9gk.html Ссылка на комментарий
red_butler Опубликовано 1 июля, 2018 Поделиться Опубликовано 1 июля, 2018 Тут КТ: выкладывайте срезы, весь архи мало кто захочет или сможет качать. Насколько велик шанс появления периодонтита снова после перелечивания зуба? если повторное лечение каналов будет эффективным и зуб должным образом восстановите, то ничего больше не появится. Если хотите гарантий и заверений, то удаляете Ссылка на комментарий
Олеся2018 Опубликовано 1 июля, 2018 Автор Поделиться Опубликовано 1 июля, 2018 выкладывайте срезы, весь архи мало кто захочет или сможет качать. Не знаю, правильно или неправильно, но вот: https://radikal.ru/lfp/b.radikal.ru/b38/1807/be/1d49db54608a.jpg/htmhttps://c.radikal.ru/c11/1807/40/03833450bb8d.jpghttps://a.radikal.ru/a33/1807/79/02de546c74a4.jpghttps://a.radikal.ru/a28/1807/ec/ba6356aa1da9.jpg Ссылка на комментарий
red_butler Опубликовано 1 июля, 2018 Поделиться Опубликовано 1 июля, 2018 пользуйтесь второй ссылкой радикала Ссылка на комментарий
red_butler Опубликовано 1 июля, 2018 Поделиться Опубликовано 1 июля, 2018 Не знаю, правильно или неправильно все отлично, шестой тоже периодонтит. С ним сложнее, требуется снятие коронки и извлечение вкладки с последующим лечением каналов. Или замена на имплант Ссылка на комментарий
Олеся2018 Опубликовано 1 июля, 2018 Автор Поделиться Опубликовано 1 июля, 2018 шестой тоже периодонтит. С ним сложнее, требуется снятие коронки и извлечение вкладки с последующим лечением каналов. Хорошо, что периодонтит, а не кисты, буду пробовать перелечивать и сохранить зубки. Надеюсь за месяц успею. Благодарю! Ссылка на комментарий
Олеся2018 Опубликовано 2 июля, 2018 Автор Поделиться Опубликовано 2 июля, 2018 шестой тоже периодонтит Стоматолог на всякий случай направил на консультацию в областную больницу к челюстно-лицевому хирургу. Сегодня была на приеме... Врач посмотрела КТ и сказала, что необходимо оперировать под общим наркозом, удалять кисты на 25 и 26 зубах и делать последующую гайморотомию, так как киста проросла в гайморову пазуху. Я, если честно, в шоке. Ссылка на комментарий
red_butler Опубликовано 2 июля, 2018 Поделиться Опубликовано 2 июля, 2018 Я, если честно, в шоке. я тоже, это совсем не так, не давайтесь 1 Ссылка на комментарий
red_butler Опубликовано 3 июля, 2018 Поделиться Опубликовано 3 июля, 2018 попробуйте найти доктора на форуме http://forum.stom.ru/topic/4752-posovetujte-terapevta-v-gorode-n/, из Ваших краев тоже есть Ссылка на комментарий
Олеся2018 Опубликовано 3 июля, 2018 Автор Поделиться Опубликовано 3 июля, 2018 попробуйте найти доктора на форуме Один-единственный врач-эндодонтист согласился попробовать перелечить пятый зуб. Завтра иду на прием. Посмотрим, что получится. 1 Ссылка на комментарий
red_butler Опубликовано 3 июля, 2018 Поделиться Опубликовано 3 июля, 2018 Один-единственный врач-эндодонтист согласился попробовать перелечить пятый зуб. Завтра иду на прием. Посмотрим, что получится. удачи Ссылка на комментарий
DmitrySH Опубликовано 3 июля, 2018 Поделиться Опубликовано 3 июля, 2018 С зубом 25 особых сложностей не должно быть. 26 под вопросом. Скорее всего большой дефицит тканей зуба уже имеется, после извлечения вкладки совсем мало от зуба останется. Возникает вопрос не в самом лечении, а дальнейшей перспективе данного зуба.46, обратите внимание, на снимке тоже гранулема. Ссылка на комментарий
Олеся2018 Опубликовано 6 июля, 2018 Автор Поделиться Опубликовано 6 июля, 2018 25 перелечили, остается только ждать, уменьшится воспаление или всё останется на месте. 46, обратите внимание, на снимке тоже гранулема. 46 он тоже проблемный, там под пломбой видно, что зуб темно-серого цвета, корней скорее всего для коронки не хватит.(( Ссылка на комментарий
Олеся2018 Опубликовано 8 августа, 2018 Автор Поделиться Опубликовано 8 августа, 2018 Подскажите, пожалуйста, можно ли удалить шестой и пятый зуб за один раз? Пятый зуб месяц назад перелечили, и через пару недель все симптомы прошли, но сейчас опять зуб побаливает, боюсь, что придется и его удалить. Ссылка на комментарий
Рекомендуемые сообщения
Для публикации сообщений создайте учётную запись или авторизуйтесь
Вы должны быть пользователем, чтобы оставить комментарий
Создать аккаунт
Зарегистрируйте новый аккаунт в нашем сообществе. Это очень просто!
Регистрация нового пользователяВойти
Уже есть аккаунт? Войти в систему.
Войти