user7887 Опубликовано 23 июня, 2018 Поделиться Опубликовано 23 июня, 2018 Доброго времени суток!На 35 зубе откололся кусочек зуба(верхушка ближе к 36) и на 36 на верхушке между зубами образовалось черное пятно,врач сказал что это пигментация и делать ни чего с ней не надо ну и сделал 35 зуб теперь этого пятна естественно не видно т.к оно между зубов осталось.Я вот теперь думаю не перерастет ли эта пигментация в поверхностный кариес и так далее?Место еще такое что и не заметишь как начнется.Как можно избавиться от пигментации такого плана? Ссылка на комментарий
red_butler Опубликовано 23 июня, 2018 Поделиться Опубликовано 23 июня, 2018 http://forum.stom.ru/topic/20613-sovety-patcientam-obiazatelno-k-prochteniiu/ Ссылка на комментарий
user7887 Опубликовано 23 июня, 2018 Автор Поделиться Опубликовано 23 июня, 2018 (изменено) http://forum.stom.ru/topic/20613-sovety-patcientam-obiazatelno-k-prochteniiu/Ну я понимаю что тут не форум экстрасеносов,но я и не просил ставить мне диагноз т.к он уже поставлен)Пигментация зуба в межзубном пространстве между 35 и 36 зубами на 36.Как это устраняется? Изменено 23 июня, 2018 пользователем user7887 Ссылка на комментарий
red_butler Опубликовано 24 июня, 2018 Поделиться Опубликовано 24 июня, 2018 Для ответов нужны объективные данные. Без снимков тему придётся закрыть. Ссылка на комментарий
user7887 Опубликовано 24 июня, 2018 Автор Поделиться Опубликовано 24 июня, 2018 Расположение как на первом снимке,выглядит как на фиссуре на фото. 1 1 Ссылка на комментарий
kramer Опубликовано 24 июня, 2018 Поделиться Опубликовано 24 июня, 2018 Покажите свои снимки 1 Ссылка на комментарий
user7887 Опубликовано 24 июня, 2018 Автор Поделиться Опубликовано 24 июня, 2018 (изменено) Покажите свои снимкиВот рентген снимок,фото к сожалению нету,до этого не фоткал,а теперь проблемное место между зубов( Изменено 24 июня, 2018 пользователем user7887 Ссылка на комментарий
red_butler Опубликовано 24 июня, 2018 Поделиться Опубликовано 24 июня, 2018 Качество снимка не позволяет его интерпретировать Ссылка на комментарий
user7887 Опубликовано 24 июня, 2018 Автор Поделиться Опубликовано 24 июня, 2018 Качество снимка не позволяет его интерпретироватьОк,вечером отсканирую) Ссылка на комментарий
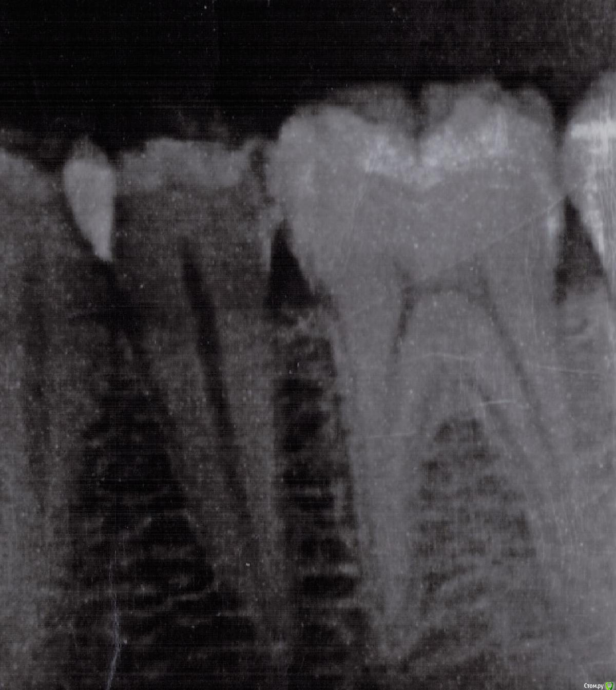
user7887 Опубликовано 24 июня, 2018 Автор Поделиться Опубликовано 24 июня, 2018 Снимок в качестве Ссылка на комментарий
Рекомендуемые сообщения
Для публикации сообщений создайте учётную запись или авторизуйтесь
Вы должны быть пользователем, чтобы оставить комментарий
Создать аккаунт
Зарегистрируйте новый аккаунт в нашем сообществе. Это очень просто!
Регистрация нового пользователяВойти
Уже есть аккаунт? Войти в систему.
Войти