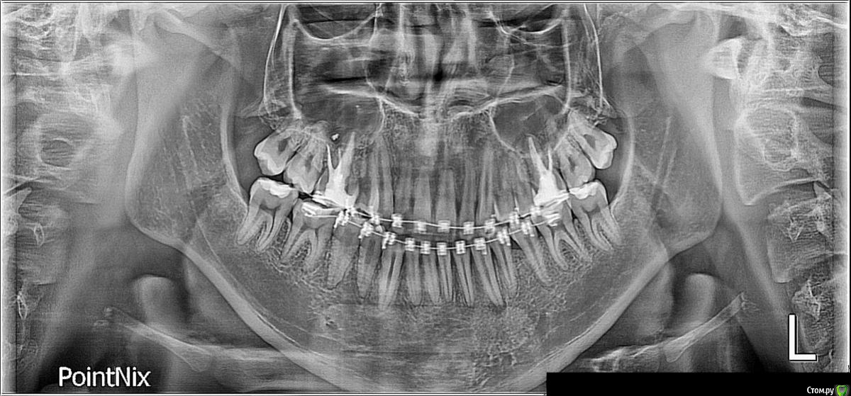
f0stung Опубликовано 20 июня, 2018 Поделиться Опубликовано 20 июня, 2018 М. 20л, нахожусь на ортодонт. лечении. Вырвали 14, 38, 48 зубы. Сейчас стоит вопрос на удалении 18 и 28.Специалисты напишите ваше мнение.Заранее благодарю Ссылка на комментарий
red_butler Опубликовано 20 июня, 2018 Поделиться Опубликовано 20 июня, 2018 http://forum.stom.ru/topic/4655-patcientam/ Ссылка на комментарий
Рекомендуемые сообщения
Для публикации сообщений создайте учётную запись или авторизуйтесь
Вы должны быть пользователем, чтобы оставить комментарий
Создать аккаунт
Зарегистрируйте новый аккаунт в нашем сообществе. Это очень просто!
Регистрация нового пользователяВойти
Уже есть аккаунт? Войти в систему.
Войти