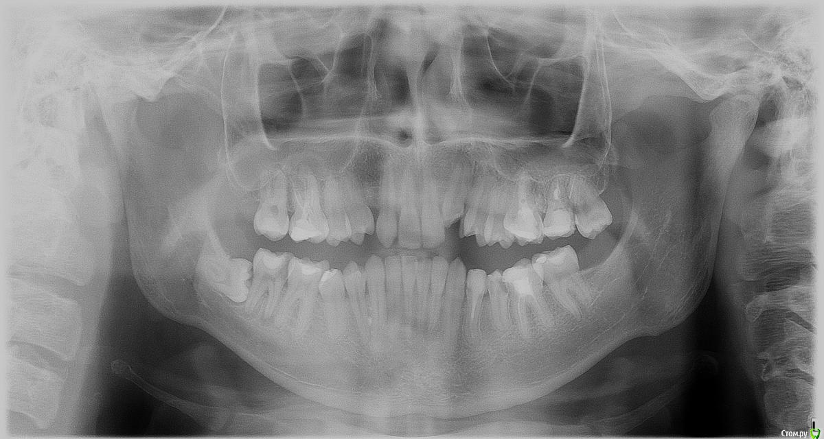
newuser Опубликовано 17 июня, 2018 Поделиться Опубликовано 17 июня, 2018 Ортодонт сказал что нужно удалить зуб сверху, и если есть зуб мудрости предлагают удалить именно его тк рудимент. Но ведь если его передвинуть в нем будет смысл. На восьмом недавно появился кариес, но в то же время шестой визуально в очень плохом состоянии - часть желтая шероховатая, видимая линия вокруг пломбы, весь зуб розовый. Какой зуб удалять? 1) Удалить восьмой и восстановить шестой (хотя я даже не знаю возможно ли восстановить зрительно настолько разрушенный зуб, тем более моляр (предполагал винир) 2) Удалить шестой, вылечить кариес на восьмом и передвинуть восьмой и седьмой на места седьмого и шестого соответственно Ссылка на комментарий
сирена Опубликовано 18 июня, 2018 Поделиться Опубликовано 18 июня, 2018 Восьмой удаляйте,передвинуть не получится. Ссылка на комментарий
Рекомендуемые сообщения
Для публикации сообщений создайте учётную запись или авторизуйтесь
Вы должны быть пользователем, чтобы оставить комментарий
Создать аккаунт
Зарегистрируйте новый аккаунт в нашем сообществе. Это очень просто!
Регистрация нового пользователяВойти
Уже есть аккаунт? Войти в систему.
Войти