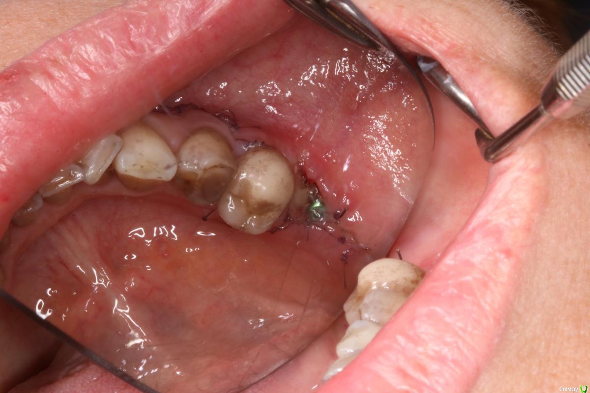
igorgergg Опубликовано 17 июня, 2018 Поделиться Опубликовано 17 июня, 2018 Всем привет, пациентке было сделано нкр в области 36 зуба с необиотековской сеткой. Щечный лоскут плохо натягивался после рассечения надкостницы и тупого прохождения ножницами и язычного отслаивания, пришлось сделать послабляющий между 4 и 5. Но и его не сильно хватило, лоскут язычно натягивался всего на 0.5 см где-то, чувствовал что натяжение есть.Хотя раньше, когда мобилизовался, хватало обычного рассечение надкостницы и язычно отслаиться. В итоге сетка прорезалась, но мне кажется есть и вторая причина почему, так как возможно на сетке были углы острые поэтому и не затянулась. Ушивался 2-3 П- образных и сверху простые узловые наглухо. Фото прилагаю. Сейчас хочу с мембраной эволюшен переделать, но есть опасения что причина также и в натяжении после ушивания, так как даже с послабляющим я не смог натянуть без натяжения лоскут. Также сейчас слизистая в этом месте подвижная и тонкая стала, что может усложнить операцию и ушивание. Чтобы был успех исключаю титановую сетку и вопрос в ушивании и также вопрос может пластику десны первым этапом сделать в такой ситуации (смещенным лоскутом с трансплантатом?), так как на этом месте сейчас щека натянута, на фото видно. Дайте плз обратную связь) Опыт есть, но его не так много Ссылка на комментарий
колесников Опубликовано 17 июня, 2018 Поделиться Опубликовано 17 июня, 2018 А есть ли такая острая необходимость в нкр? Покажите снимки 1 Ссылка на комментарий
kamranchick Опубликовано 17 июня, 2018 Поделиться Опубликовано 17 июня, 2018 делайте послабляющий разрез между 2 и 3, разрез ведите максимально дистально, может сетка выходит за костные пики, с еволющном проблем думаю будет меньше Ссылка на комментарий
igorgergg Опубликовано 19 июня, 2018 Автор Поделиться Опубликовано 19 июня, 2018 А есть ли такая острая необходимость в нкр? Покажите снимкиПо ширине 5 мм Ссылка на комментарий
колесников Опубликовано 19 июня, 2018 Поделиться Опубликовано 19 июня, 2018 И? Вполне себе размер. Покажите скрины кт 1 Ссылка на комментарий
Irouil Опубликовано 20 июня, 2018 Поделиться Опубликовано 20 июня, 2018 Имхо если не тянется - расширяйте лоскут горизонтально и продолжайте рассекать надкостницу в том же направлении, в идеале - острым распатором, не начинайте НКР пока не будете уверены, что все тянется с запасом, ОСОБЕННО при работе с сетками. Предварительно подсаживать мягкие ткани я бы не стал, думаю Вы только увеличите объем рубцов, которые потом придется рассекать. Ну и используйте все это на другом пациенте, имхо. 5 мм действительно рабочая ширина гребня для исключения горизонтальной НКР. Ссылка на комментарий
Eddie Опубликовано 21 июня, 2018 Поделиться Опубликовано 21 июня, 2018 Имхо если не тянется - расширяйте лоскут горизонтально и продолжайте рассекать надкостницу в том же направлении, в идеале - острым распатором, не начинайте НКР пока не будете уверены, что все тянется с запасом, ОСОБЕННО при работе с сетками. Предварительно подсаживать мягкие ткани я бы не стал, думаю Вы только увеличите объем рубцов, которые потом придется рассекать. Ну и используйте все это на другом пациенте, имхо. 5 мм действительно рабочая ширина гребня для исключения горизонтальной НКР.Подскажите, по вашему лучше поставить 3.5-3.75 мм имплантат в 5 мм гребень и уйти от нкр? Тогда остается менее 1мм вокруг имплантата. Или расщеплять? Ссылка на комментарий
АнтонТЛТ Опубликовано 21 июня, 2018 Поделиться Опубликовано 21 июня, 2018 (изменено) Имхо если не тянется - расширяйте лоскут горизонтально и продолжайте рассекать надкостницу в том же направлении, в идеале - острым распатором, не начинайте НКР пока не будете уверены, что все тянется с запасом, ОСОБЕННО при работе с сетками. Предварительно подсаживать мягкие ткани я бы не стал, думаю Вы только увеличите объем рубцов, которые потом придется рассекать. Ну и используйте все это на другом пациенте, имхо. 5 мм действительно рабочая ширина гребня для исключения горизонтальной НКР.Если не тянется, горизонтально не надо расширять лоскут, достаточно вспомнить тонельный способ при пластике по Кури.Предварительно подсаживать мягкие ткани можно и иногда нужно, т.к. мобилизация лоскута идет в области подвижной слизистой, а не в области подсаживаемых мягких тканей.5 мм кости не особо рабочий вариант в молярах. А то потом появляются темы про сломанные имплантаты и как их удалить. Ведь в 5 мм ставят потоньше и подлинее. Да и позиция имплантата с точки зрения протетики будет плохая. Изменено 21 июня, 2018 пользователем АнтонТЛТ 1 Ссылка на комментарий
igorgergg Опубликовано 22 июня, 2018 Автор Поделиться Опубликовано 22 июня, 2018 (изменено) Если не тянется, горизонтально не надо расширять лоскут, достаточно вспомнить тонельный способ при пластике по Кури.Предварительно подсаживать мягкие ткани можно и иногда нужно, т.к. мобилизация лоскута идет в области подвижной слизистой, а не в области подсаживаемых мягких тканей.5 мм кости не особо рабочий вариант в молярах. А то потом появляются темы про сломанные имплантаты и как их удалить. Ведь в 5 мм ставят потоньше и подлинее. Да и позиция имплантата с точки зрения протетики будет плохая. Вы тоннелем предлагаете подсадить ССТ первым этапом в этом случае? Изменено 22 июня, 2018 пользователем igorgergg Ссылка на комментарий
igorgergg Опубликовано 22 июня, 2018 Автор Поделиться Опубликовано 22 июня, 2018 А есть ли такая острая необходимость в нкр? Покажите снимки Ссылка на комментарий
Nazim_NV86 Опубликовано 22 июня, 2018 Поделиться Опубликовано 22 июня, 2018 Что за Pt на семёрке ?Тут с Эволюшн +2мм кости вестибулярного получить достаточно. Зачем сетки ?Имплант сразу. Ссылка на комментарий
igorgergg Опубликовано 22 июня, 2018 Автор Поделиться Опубликовано 22 июня, 2018 Что за Pt на семёрке ?Тут с Эволюшн +2мм кости вестибулярного получить достаточно. Зачем сетки ?Имплант сразу.семерку удалили уже смущает тонкий биотип, думаю что сложно будет ушиться. в области пятеркки также прикрепенки не стало после нкр Ссылка на комментарий
колесников Опубликовано 22 июня, 2018 Поделиться Опубликовано 22 июня, 2018 4.0х6 +сст если Астра Ссылка на комментарий
igorgergg Опубликовано 22 июня, 2018 Автор Поделиться Опубликовано 22 июня, 2018 4.0х6 +сст если АстраЕсли 4.0х8 Необиотек и сст ? Ссылка на комментарий
колесников Опубликовано 23 июня, 2018 Поделиться Опубликовано 23 июня, 2018 Не могу сказать,не работаю с этой системой,не знаю её протокол и макродизайн. Если шейка не агрессивна,можно. Ссылка на комментарий
Иван911 Опубликовано 23 июня, 2018 Поделиться Опубликовано 23 июня, 2018 Вы тоннелем предлагаете подсадить ССТ первым этапом в этом случае?https://ibb.co/feJih8Я бы сделал так, 4/8 , 2мм формирователь, сосидж, и очень аккуратно мобилизировать. Ссылка на комментарий
Иван911 Опубликовано 23 июня, 2018 Поделиться Опубликовано 23 июня, 2018 Вы тоннелем предлагаете подсадить ССТ первым этапом в этом случае?И , желательно, до операции, обратите внимание на 7 зуб. Ссылка на комментарий
азамадъ Опубликовано 25 июня, 2018 Поделиться Опубликовано 25 июня, 2018 И , желательно, до операции, обратите внимание на 7 зуб.[/quo4te]7ку удалили уже Ссылка на комментарий
Рекомендуемые сообщения
Для публикации сообщений создайте учётную запись или авторизуйтесь
Вы должны быть пользователем, чтобы оставить комментарий
Создать аккаунт
Зарегистрируйте новый аккаунт в нашем сообществе. Это очень просто!
Регистрация нового пользователяВойти
Уже есть аккаунт? Войти в систему.
Войти