Перейти к содержанию
Стоматология для всех

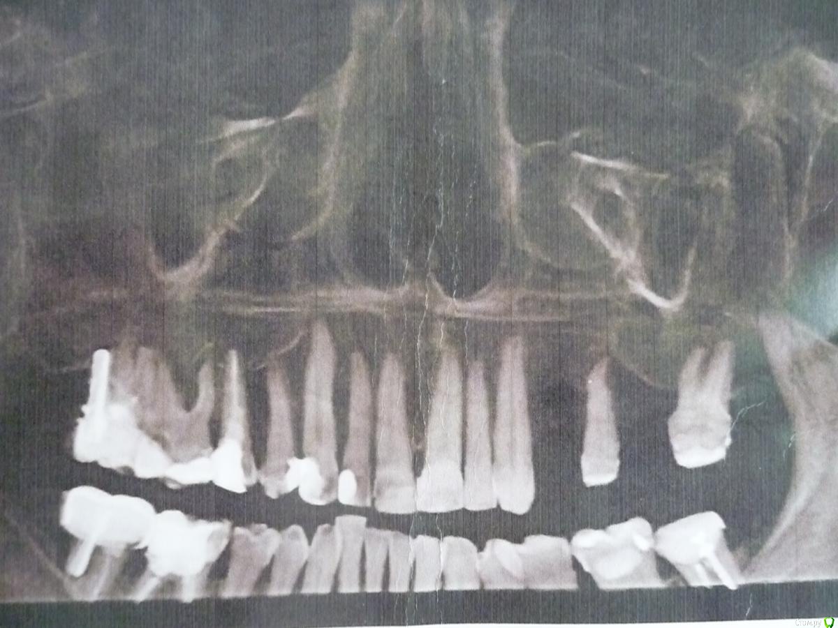
Надо ли удалять крайний верхний зуб.


Tina03

Рекомендуемые сообщения

Уважаемые стоматологи! Помогите пожалуйста принять правильное решение НАДО ЛИ УДАЛЯТЬ КРАЙНИЙ ВЕРХНИЙ ЗУБ с ПРАВОЙ СТОРОНЫ.

Спрашиваю т.к. разными докторами в ходе подготовки к протезированию мне даны прямо противоположные консультации:

1)    только удаление т.к. анкер стоит «снаружи» и  "ушла" кость.

2)     «сто лет» так было и еще столько же простоит, а если будет беспокоить, то удалить, что не критично т.к. стоящий перед ним зуб еще «живой», есть шанс его сохранить и тем самым сохранить справа свои жевательные зубы.

 

Зуб не беспокоит, но тревожит, что при удалении может быть нарушен, стоящий перед ним зуб.

И еще вопрос -  если этот крайний зуб сейчас не удалять, то какие НЕГАТИВНЫЕ ПОСЛЕДСТВИЯ могут быть.

Очень жду разъяснений и советов профессионалов. 

 

post-54870-0-40393200-1529039222_thumb.jpg

post-54870-0-60247000-1529039237_thumb.jpg

Ссылка на комментарий

Для публикации сообщений создайте учётную запись или авторизуйтесь

Вы должны быть пользователем, чтобы оставить комментарий

Создать аккаунт

Зарегистрируйте новый аккаунт в нашем сообществе. Это очень просто!

Регистрация нового пользователя

Войти

Уже есть аккаунт? Войти в систему.

Войти
×
×
  • Создать...
Вверх