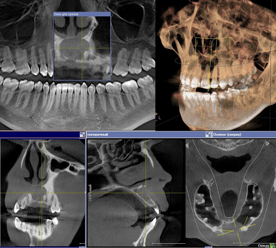
mike302459 Опубликовано 13 июня, 2018 Поделиться Опубликовано 13 июня, 2018 (изменено) Описание:Где-то полгода назад у зуба появилась сильная чувствительность, на еду, воду, не важно какой температуры. Это прошло за пару недельВ марте я нащупал языком некую припухлость, "шишка" на десне над передними зубами. С течением времени она заметно не изменялась.Примерно 20ого мая, начала воспаляться и пухнуть. Немного опухла губа, десны, и край десны "налез" до середины зуба.Далее где-то через неделю образовался свищ, над зубом 2.1, и начала вытекать белая субстанция, и янтарная жидкость из свища и между зубом и десной.Еще пару дней оттуда текло, потом всё зажило, отёк спал, шишка на десне осталась как в начале, в марте.Цвет одного зуба изменен - 2.1(уже давно).Всё это время каких то сильных болей не было, температуры не было. Потом пошёл в поликлинику, сделали КТ, не стали лечить, посоветовали врача, тот врач посоветовал еще врача.В последнем месте на словах предложили примерно такой план лечения. (С трудом это всё выяснил, диалог не задался, да и были неприятные моменты)" Сейчас сделаем разрез, промоем полость кисты, потом пойдешь в свою поликлинику пусть там запломбируют канал. Будешь промывать самостоятельно эту полость несколько месяцев, она будет зарастать. Но скорее всего всё не зарастёт, придешь на еще одну операцию" (Какую?)На бумаге потом написали так: Диагноз: Радикулярная киста зуба 2.1. Пациенту рекомендовано хирургическое лечение в объеме резекции корня зуба 2.1 + цистотомия.1. Эндодонтическое лечение зуба 2.1. Вопросы:1. Чтобы вы посоветовали по данной проблеме?И если возможно, то посоветуйте где в Москве можно этим заняться.2. И что сначала делать: резать кисту или пломбировать канал. Я читал мнения, что сначала запломбировать канал, как причину. Но вот откроют его, а оттуда же польётся содержимое кисты? прикрепляю скриншоты из программы со снимком. На втором немного изменил плоскость. Изменено 13 июня, 2018 пользователем mike302459 Ссылка на комментарий
red_butler Опубликовано 13 июня, 2018 Поделиться Опубликовано 13 июня, 2018 1. Проверить зубы в дефекте на витальность (живые или нет)2. Пролечить причинный зуб и при необходимости соседей3. шинировать зубы при необходимости4. радикальная цистэктомия 1 Ссылка на комментарий
Дмитрий Л. Опубликовано 15 июня, 2018 Поделиться Опубликовано 15 июня, 2018 4. радикальная цистэктомияКоллега, ваш вариант конечно вполне реализуем и имеет право быть, но метод цистотомии, предложенный изначально пациенту, я вижу более оптимальным в данном случае по очевидным причинам. 1 Ссылка на комментарий
kramer Опубликовано 15 июня, 2018 Поделиться Опубликовано 15 июня, 2018 Коллега, ваш вариант конечно вполне реализуем и имеет право быть, но метод цистотомии, предложенный изначально пациенту, я вижу более оптимальным в данном случае по очевидным причинам.Ага, с турундой полгода ходить, кайф) 3 Ссылка на комментарий
Дмитрий Л. Опубликовано 15 июня, 2018 Поделиться Опубликовано 15 июня, 2018 Ага, с турундой полгода ходить, кайф) С турундой где-то месяц. Как бы там ни было, варианты могут меняться по ходу операции.И Москва не сразу строилась, как говорится. Ссылка на комментарий
Irouil Опубликовано 16 июня, 2018 Поделиться Опубликовано 16 июня, 2018 Декомпрессию я бы рассмотрел. Если нет - соглашусь с red_butler, на дворе уже xxi век 1 Ссылка на комментарий
mike302459 Опубликовано 16 июня, 2018 Автор Поделиться Опубликовано 16 июня, 2018 Спасибо за ответы.Я бы всё таки хотел что-то по типу цистотомии. Мне кажется, по описанию, это менее травматично чем радикальная цистэктомия. Согласен полгода промывать и прочее. Еще нужно в ближайшие две недели сохранить работоспособнось, а кисту эту терпеть уже неприятно, как-то давит, при улыбке особенно, и тяжесть в челюсти. Неделю голова побаливает, температуры нет. Не знаю связано это или нет.После цистотомии, я могу сразу вернуться к делам, я так понял. А по поводу цистэктомии предлагают госпитализацию, с наркозом( я был вчера еще у одного врача). Кстати, если вдруг кто-то захочет посмотреть КТ, могу образ диска отправить(iso). Ссылка на комментарий
mike302459 Опубликовано 16 июня, 2018 Автор Поделиться Опубликовано 16 июня, 2018 Декомпрессию я бы рассмотрел. Если нет - соглашусь с red_butler, на дворе уже xxi век Нашел описание: "Цель декомпрессии состоит в создании постоянно действующего дренажа, что способствует уменьшению размеров кисты и дальнейшему заживлению патологического очага" Да вот такой вариант лечения, я бы наверно хотел, если возможен. Это допустимо выполнить хирургу в обычной стоматологической клинике? Если предложат. Или нужны условия больницы/операционной? Ссылка на комментарий
Bier Опубликовано 17 июня, 2018 Поделиться Опубликовано 17 июня, 2018 посоветовал врача в личке. 1 Ссылка на комментарий
Рекомендуемые сообщения
Для публикации сообщений создайте учётную запись или авторизуйтесь
Вы должны быть пользователем, чтобы оставить комментарий
Создать аккаунт
Зарегистрируйте новый аккаунт в нашем сообществе. Это очень просто!
Регистрация нового пользователяВойти
Уже есть аккаунт? Войти в систему.
Войти