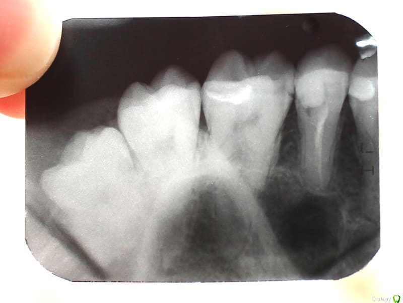
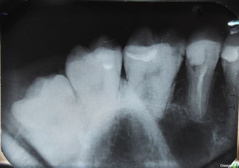
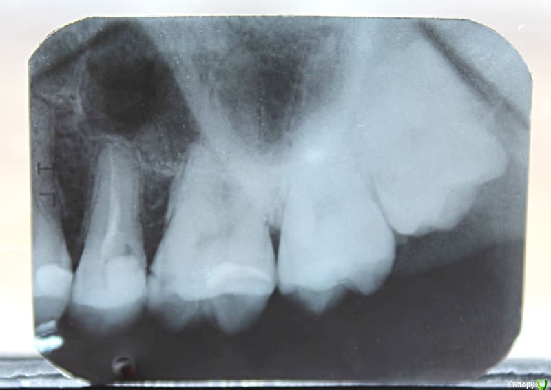
annie23 Опубликовано 11 июня, 2018 Поделиться Опубликовано 11 июня, 2018 Добрый день! Нужна ваша консультация. В январе этого года пролечила пульпит 15 зуба. В какой-то момент он начал реагировать на холодное/горячее, сейчас такого не наблюдается. Изредка где-то далеко чувствую тянущую боль (но это скорее я придираюсь). Что беспокоит на данный момент: 1. Кажется, что внутри забыли что-то инородное (как будто много пломбировочного материала наложили). Один из стоматологов чуть-чуть прошлифовал пломбу, но это ощущение все равно сохраняется.2. Запах от зуба. Он, простите, зловонный (точно такой же как до лечения), особенно это ощущается после чистки зубной нитью. Снимков до пломбировки канала нет, лечила в государственной. После была у двух частных стоматологов, оба развели руками и сказали, что все нормально. Скажите, с этим нужно научиться жить или с этим можно что-то сделать?! (И еще у меня были подозрения на кисту, но никто об этом не упомянул) Ссылка на комментарий
red_butler Опубликовано 11 июня, 2018 Поделиться Опубликовано 11 июня, 2018 Пятый, перелечить корневые каналы и протезировать искусственной коронкой, на шестом лечить кариес на боковой поверхности. 1 1 Ссылка на комментарий
annie23 Опубликовано 11 июня, 2018 Автор Поделиться Опубликовано 11 июня, 2018 Пятый, перелечить корневые каналы и протезировать искусственной коронкой, на шестом лечить кариес на боковой поверхности.Спасибо. Можно еще вопрос: для каких целей ставить коронку? Ссылка на комментарий
St. Опубликовано 11 июня, 2018 Поделиться Опубликовано 11 июня, 2018 По снимку от зуба осталось не так много и есть большой риск сломать его в будущем. Коронка защитит от этого Ссылка на комментарий
annie23 Опубликовано 11 июня, 2018 Автор Поделиться Опубликовано 11 июня, 2018 (изменено) По снимку от зуба осталось не так много и есть большой риск сломать его в будущем. Коронка защитит от этогоСпасибо большое за ответ, поняла. Изменено 11 июня, 2018 пользователем annie23 Ссылка на комментарий
Рекомендуемые сообщения
Для публикации сообщений создайте учётную запись или авторизуйтесь
Вы должны быть пользователем, чтобы оставить комментарий
Создать аккаунт
Зарегистрируйте новый аккаунт в нашем сообществе. Это очень просто!
Регистрация нового пользователяВойти
Уже есть аккаунт? Войти в систему.
Войти