Перейти к содержанию
Стоматология для всех

Сверхкомплект. 2 или 4? План лечения.


AKALS

Рекомендуемые сообщения

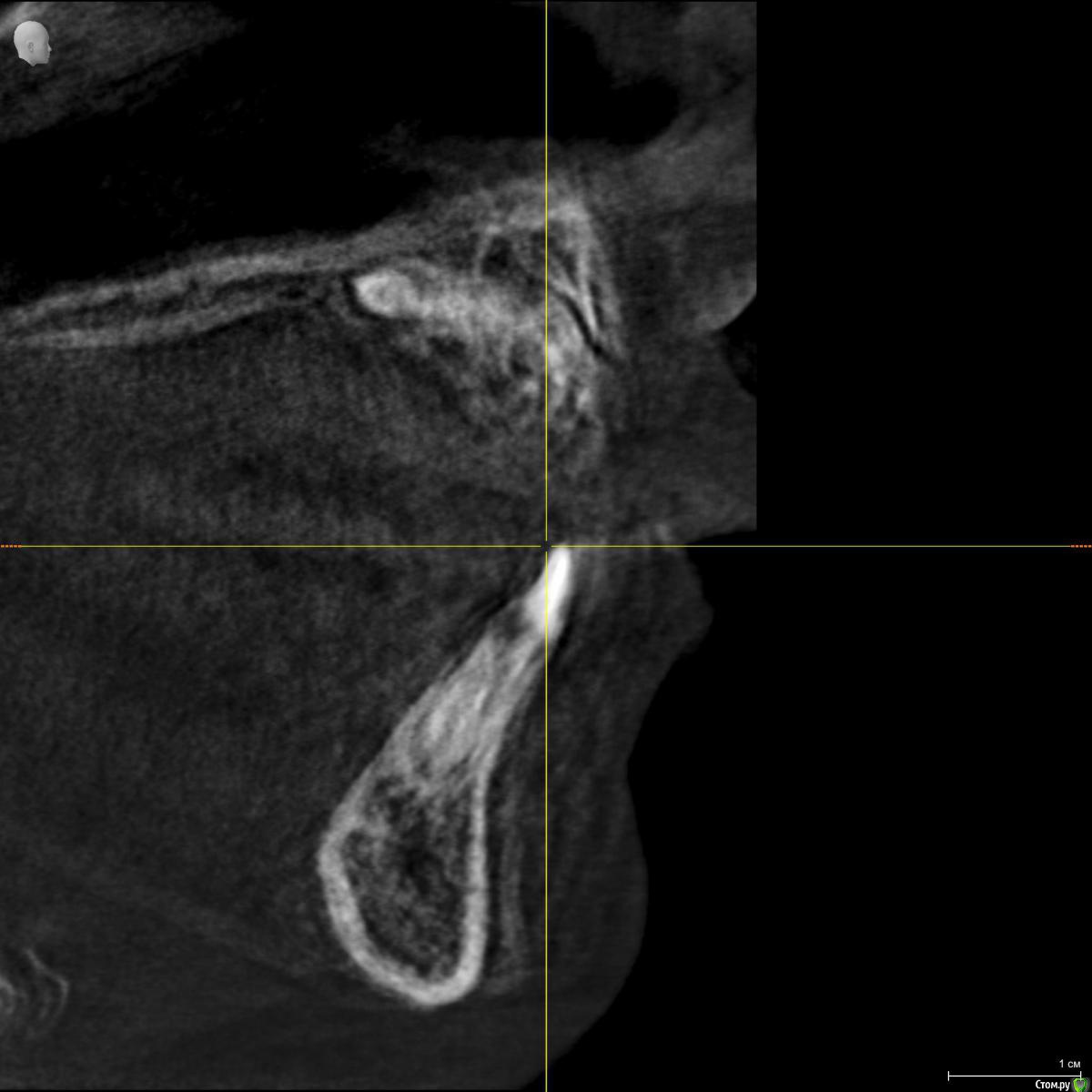
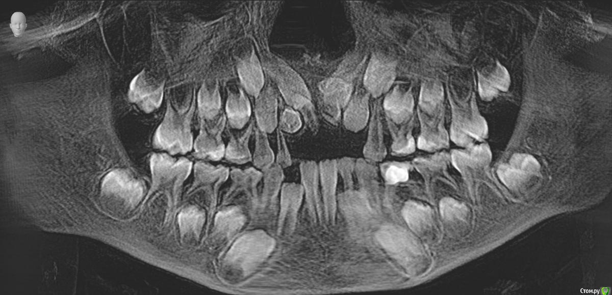
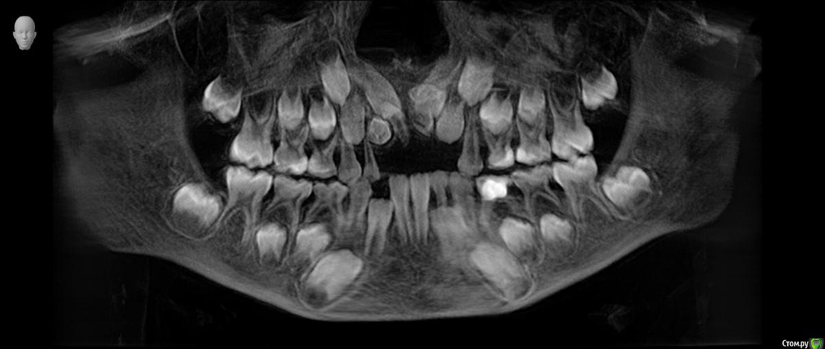
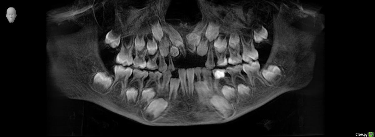
Ребенок 6 лет.

Буду благодарна за Ваше видение картины сверкомплектных и возможные планы варианты лечения.

Заранее спасибо.

 

По ссылке КТ.

https://yadi.sk/d/v46MaW3o3XbvSz

post-55308-0-50044900-1528575691_thumb.jpg

post-55308-0-72662600-1528575708_thumb.jpg

post-55308-0-94656000-1528575728_thumb.jpg

post-55308-0-59967300-1528575752_thumb.jpg

post-55308-0-52001900-1528575763_thumb.jpg

Ссылка на комментарий

К сожалению не получилось отредактировать пост..

Доброго времени суток!

 

По теме интересует какие лишние зубы можно дождаться и удалить после прорезывания, какие требуют оперативного вмешательства, какие сроки, тот что на месте 11 не вниз корнем?

 

По плану пока пластина для прорезывания...

К сожалению масса сомнений, не хочется упустить момент и спровоцировать осложнения.

 

Спасибо.

Ссылка на комментарий

Уважаемые врачи!

Пожалуйста, проявите участие!

 

Были в 4 клиниках, случай не типичный, варианты лечения разные. От ничего не делать ждать, до резать удалять. Начинали с 2 сверхкомплектов, потом нашли еще два.

Ваше мнение очень очень важно!

Физически к сожалению не могу приехать к каждому из Вас!

Ссылка на комментарий

Для публикации сообщений создайте учётную запись или авторизуйтесь

Вы должны быть пользователем, чтобы оставить комментарий

Создать аккаунт

Зарегистрируйте новый аккаунт в нашем сообществе. Это очень просто!

Регистрация нового пользователя

Войти

Уже есть аккаунт? Войти в систему.

Войти
×
×
  • Создать...
Вверх