dr.i Опубликовано 9 июня, 2018 Поделиться Опубликовано 9 июня, 2018 (изменено) Пациент обратился с жалобами на дискомфорт из за размеров этого образования,болей нет только иногда кровоточит,говорит что это у него более 10-ти лет,до этого размеры были маленькие и не беспокоили его а за последние пол года начало увеличиватся.Какова будет ваша тактика ?Я сам решил просто рассечь и удалить эту гадость но честно говоря смушают размеры и плюс случай такой первый раз лишний опыт не помешал бы.Спасибо. Изменено 9 июня, 2018 пользователем dr.i Ссылка на комментарий
AndyAndy Опубликовано 9 июня, 2018 Поделиться Опубликовано 9 июня, 2018 Гигиену он, видимо, тоже больше 10 лет назад делал... я за эпулис. Приподнимали его, «ножку» видели какую-то? 2 Ссылка на комментарий
dr.i Опубликовано 9 июня, 2018 Автор Поделиться Опубликовано 9 июня, 2018 Гигиену он, видимо, тоже больше 10 лет назад делал... я за эпулис. Приподнимали его, «ножку» видели какую-то?Я постарался приподнять ,было похожее на ножку но из за размеров и плотной консистенции сложно было все разглядет. Ссылка на комментарий
red_butler Опубликовано 9 июня, 2018 Поделиться Опубликовано 9 июня, 2018 Голосую за эпулис 2 Ссылка на комментарий
AlexanderGudkov Опубликовано 9 июня, 2018 Поделиться Опубликовано 9 июня, 2018 3 Ссылка на комментарий
AlexanderGudkov Опубликовано 9 июня, 2018 Поделиться Опубликовано 9 июня, 2018 Еще, кстати, такое видел)) Ссылка на комментарий
Дмитрий Л. Опубликовано 9 июня, 2018 Поделиться Опубликовано 9 июня, 2018 Я сам решил просто рассечь и удалить эту гадость но честно говоря смушают размеры и плюс случай такой первый раз лишний опыт не помешал бы.Спасибо.Научить чистить зубы.Рассекать смысла большого нет, может сильно кровить.Высечь до кости, бором или фрезой обработать +- милиметр кортикалки и под йодоформным тампоном провести.Гистология.Эндодонтия 21. 2 Ссылка на комментарий
сирена Опубликовано 10 июня, 2018 Поделиться Опубликовано 10 июня, 2018 Еще, кстати, такое видел))Кошмар.Это ж как человека должны пугать стоматологи,чтобы дотянуть до такого. Ссылка на комментарий
dr.i Опубликовано 10 июня, 2018 Автор Поделиться Опубликовано 10 июня, 2018 Спасибо за советы,постараюсь сделать все по протоколу. Ссылка на комментарий
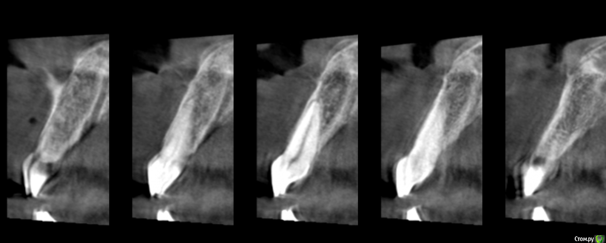
Irouil Опубликовано 11 июня, 2018 Поделиться Опубликовано 11 июня, 2018 под йодоформным тампоном провести. Зачем?Эндодонтия 21.Зачем?! Ссылка на комментарий
Дмитрий Л. Опубликовано 11 июня, 2018 Поделиться Опубликовано 11 июня, 2018 Зачем? Зачем?! Будет дефект слизистой и оголённая кость. Как бы вы предложили вести такую рану? Как вы считаете, какая этиология эпулида в данном случае? Есть ли причинный зуб? Какой вообще диагноз и лечение вы бы предположили / предложили? Ссылка на комментарий
Irouil Опубликовано 11 июня, 2018 Поделиться Опубликовано 11 июня, 2018 На дворе вроде 21 век, зачем йодоформ? Большой дефект - лоскут, трансплантат, небольшой дефект - мобилизация, самозаживетизация. Я бы перед эндо как минимум провел ЭОД. Ссылка на комментарий
Дмитрий Л. Опубликовано 12 июня, 2018 Поделиться Опубликовано 12 июня, 2018 На дворе вроде 21 век, зачем йодоформ? Большой дефект - лоскут, трансплантат, небольшой дефект - мобилизация, самозаживетизация. Я бы перед эндо как минимум провел ЭОД.Да, здесь есть варианты, и я надеюсь автор темы не будет слепо следовать рекомендациям (в т.ч. моим). Ссылка на комментарий
Рекомендуемые сообщения
Для публикации сообщений создайте учётную запись или авторизуйтесь
Вы должны быть пользователем, чтобы оставить комментарий
Создать аккаунт
Зарегистрируйте новый аккаунт в нашем сообществе. Это очень просто!
Регистрация нового пользователяВойти
Уже есть аккаунт? Войти в систему.
Войти