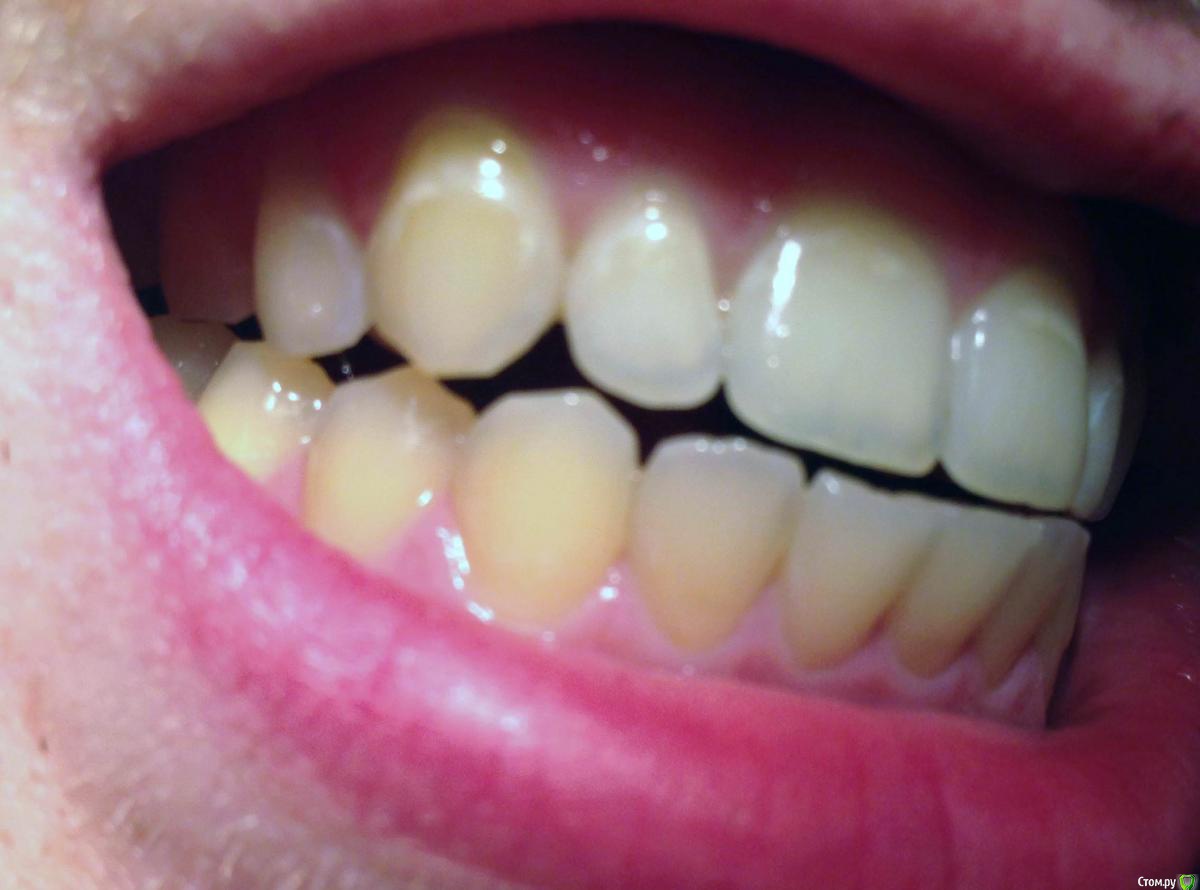
Zubik777 Опубликовано 5 июня, 2018 Поделиться Опубликовано 5 июня, 2018 Друзья выручайте, ходил к нескольким стоматологам, но всех их советы закончились тем, что я и так делаю, гигиента, рокс, тус мус итд. Ничего из этого мне не помогает. Уже несколько пришеек заделал. Реально в отчаянии, уже подумываю насчет icon, или вообще любой способ, даже пусть не апробированный на массах. Фото прикладываю, пятна растут очень интенсивно, сахарного диабета нет.Фактически реально ли вылечить кариес в стадии белого пятна или это все ерунда? Я так понял, тут идеология мол когда дырка будет тогда и приходи заделаем. Видимо способа вылечить на данном этапе нет?Фото не очень удачное, на самом деле там тоже самое снизу и по бокам зубов. Ссылка на комментарий
DmitrySH Опубликовано 5 июня, 2018 Поделиться Опубликовано 5 июня, 2018 Было ортодонтическое лечение? Ссылка на комментарий
Zubik777 Опубликовано 6 июня, 2018 Автор Поделиться Опубликовано 6 июня, 2018 Было ортодонтическое лечение?Да в юности носил брекеты (до 15 лет), с тех пор есть ретейнеры сверху и снизу, не мешают, поэтому не снимал. Ссылка на комментарий
dentikl Опубликовано 6 июня, 2018 Поделиться Опубликовано 6 июня, 2018 они-красятся кариесмаркером? Ссылка на комментарий
Zubik777 Опубликовано 6 июня, 2018 Автор Поделиться Опубликовано 6 июня, 2018 они-красятся кариесмаркером?Индикатор зубного налета? Хм, сегодня куплю попробую. Ссылка на комментарий
Zubik777 Опубликовано 7 июня, 2018 Автор Поделиться Опубликовано 7 июня, 2018 Ребят ну помогите. Что делать то? Можно ли как-то процесс остановить?Не знаю можно ли тут вставлять ссылки на другой форум, но у этой девушки судя по по фото такая же ситуация УДАЛЕНО АДМИНИСТРАТОРОМ Стоит ли покупать индикатор кариеса? Есть ли какие-нибудь анализы на состав слюны? Скорее всего дело в слюне или бруксизме, не знаю. Ссылка на комментарий
DmitrySH Опубликовано 7 июня, 2018 Поделиться Опубликовано 7 июня, 2018 Если судит по фото, то во время ортодонтического лечения была неудовлетворительная гигиена полости рта. И как следствие остались эти пятна. Ссылка на комментарий
Zubik777 Опубликовано 8 июня, 2018 Автор Поделиться Опубликовано 8 июня, 2018 (изменено) Если судит по фото, то во время ортодонтического лечения была неудовлетворительная гигиена полости рта. И как следствие остались эти пятна. Маловероятно, ортодонтическое лечение завершилось к 15 годам, а белые пятна стали появляться ближе к 22 годам. Сейчас мне 24, и чувствую что через годик все пришейки будут в пломбах. Эх, а я так надеялся на айкон или амелогенин, который в новостях так бурно освещают смогут помочь. Изменено 8 июня, 2018 пользователем Zubik777 Ссылка на комментарий
Рекомендуемые сообщения
Для публикации сообщений создайте учётную запись или авторизуйтесь
Вы должны быть пользователем, чтобы оставить комментарий
Создать аккаунт
Зарегистрируйте новый аккаунт в нашем сообществе. Это очень просто!
Регистрация нового пользователяВойти
Уже есть аккаунт? Войти в систему.
Войти