Перейти к содержанию
Стоматология для всех

Временные коронки на имплантах!


alekcandr ovs.

Рекомендуемые сообщения

Приветствую коллеги, я думаю что вопрос как раз в эту тему подходящий, выручайте. 

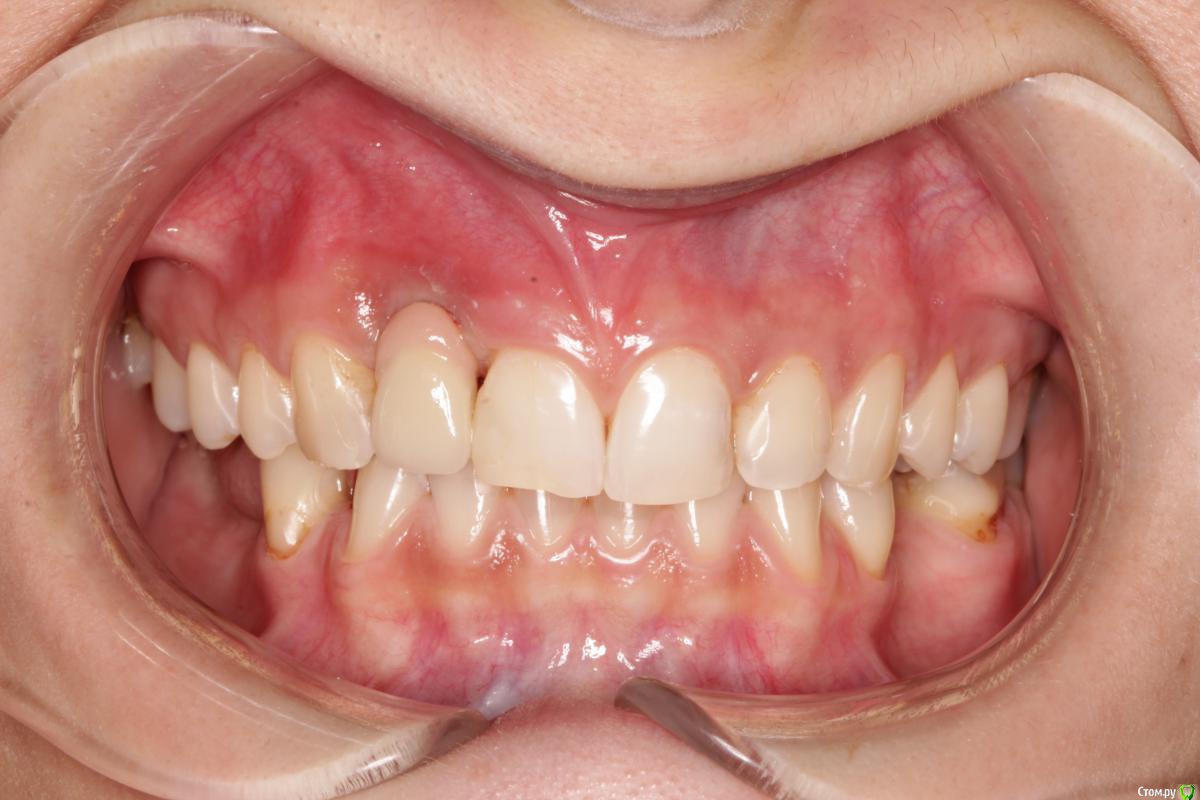
Собственно ситуация такая. две верхние двойки под удаление. Какие либо варианты с каппами, подвесными зубами невозможны. Решился удалить, поставить импланты сделать временные коронки. Вопросов море а именно. 

1. под таким углом вообще допустимо ставить во фронте

2.какой должен быть ток на импланте?

3. С каким усилием прикручивать временную коронку.

ньюансы??? Что то картинку не получается перевернуть((((

post-39546-0-64176800-1532933830_thumb.j

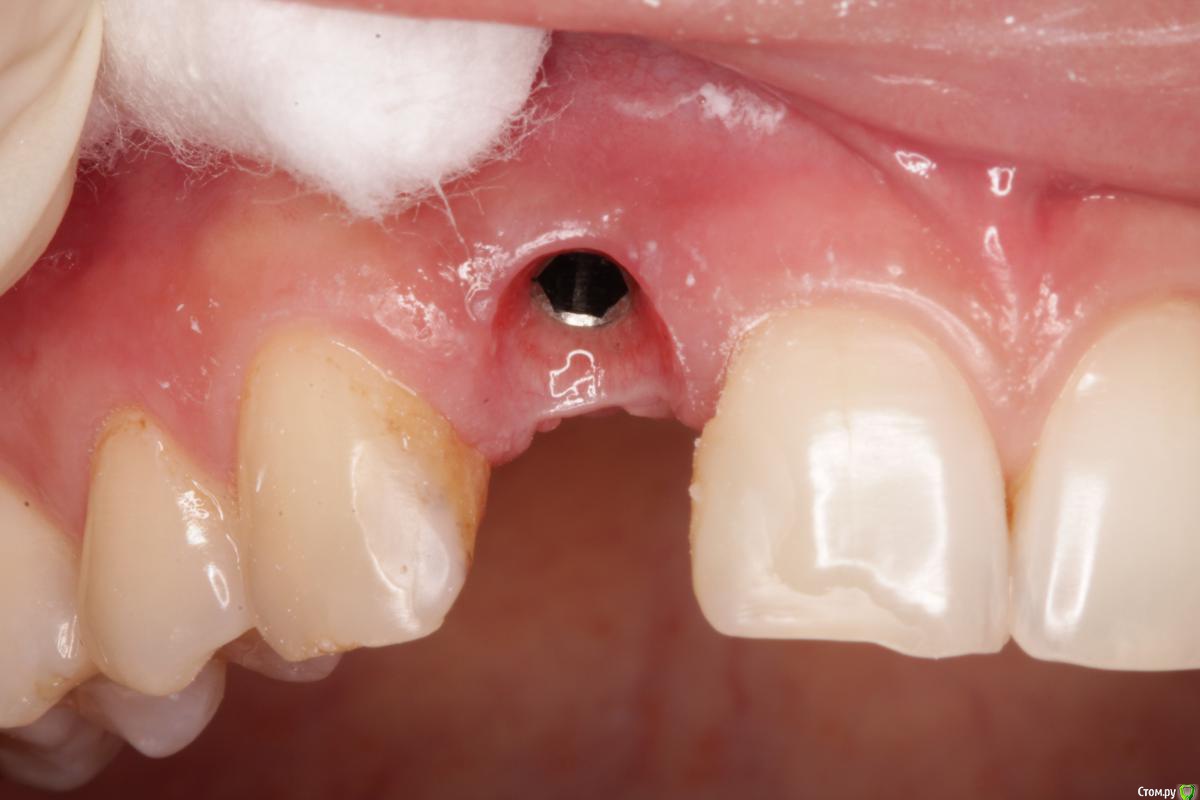
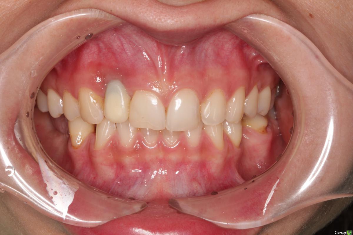
ох. положение не очень. Поставить-то имплантанты можно, только что потом делать с протезированием? Может возможно поставить временные имплантаты, удаление, нкр , имплантация.  Иначе может быть вот такая беда (см картинку). Хирург без ведома ортопеда просто поставил имплантат.....а теперь обЪясни пациенту как быть. Сделали временную мк.  Угол постановки имплантат примерно как Вы отметили на кт ) 

post-28488-0-61527600-1535840255_thumb.jpg

post-28488-0-82345900-1535840373_thumb.jpg

post-28488-0-26492300-1535840394_thumb.jpg

Ссылка на комментарий

Для публикации сообщений создайте учётную запись или авторизуйтесь

Вы должны быть пользователем, чтобы оставить комментарий

Создать аккаунт

Зарегистрируйте новый аккаунт в нашем сообществе. Это очень просто!

Регистрация нового пользователя

Войти

Уже есть аккаунт? Войти в систему.

Войти
×
×
  • Создать...
Вверх