alekcandr ovs. Опубликовано 4 июня, 2018 Поделиться Опубликовано 4 июня, 2018 Дорогие коллеги,как правильно создавать профиль прорезываниия на вр.коронках , коническое соединение ! Допустим 4.6 зуб над платформой 3 мм дёсны, стоит ФДМ 4.5 мм как максимально правильно распределить десну вр коронкой???? Ссылка на комментарий
AndyAndy Опубликовано 4 июня, 2018 Поделиться Опубликовано 4 июня, 2018 Заказывайте у техника коронку следующего типа: ножка 3мм высотой и диаметром 4.5 - как формирователь. Наддесневая часть чтобы максимально повторяла форму отсутствующего зуба. Коронка на данном этапе будет иметь вид гриба. На этапе замены ФДМ на эту коронку, вы уже можете добавить композита, расширяя диаметр и придавая более правильную и плавную форму перехода из «гриба». Ждём 10-15 минут до исчезновения ишемии десны. На второе/третье посещение повторяем. Главное, чтобы у вас сохранялось переключение платформы, и вы композитом не давили в кость если имплантат глубоко погружён. Если высоты десны недостаточно, чтобы отмоделировать нужный профиль зуба, тогда либо пластику делать, либо остановиться на этом этапе, немного изменив профиль коронки. Это уже во рту смотрите, особенно важны участки по апроксималкам с вестибулярной поверхности, туда очень здорово может пища попадать 3 Ссылка на комментарий
alekcandr ovs. Опубликовано 6 июня, 2018 Автор Поделиться Опубликовано 6 июня, 2018 Заказывайте у техника коронку следующего типа: ножка 3мм высотой и диаметром 4.5 - как формирователь. Наддесневая часть чтобы максимально повторяла форму отсутствующего зуба. Коронка на данном этапе будет иметь вид гриба.На этапе замены ФДМ на эту коронку, вы уже можете добавить композита, расширяя диаметр и придавая более правильную и плавную форму перехода из «гриба». Ждём 10-15 минут до исчезновения ишемии десны.На второе/третье посещение повторяем.Главное, чтобы у вас сохранялось переключение платформы, и вы композитом не давили в кость если имплантат глубоко погружён. Если высоты десны недостаточно, чтобы отмоделировать нужный профиль зуба, тогда либо пластику делать, либо остановиться на этом этапе, немного изменив профиль коронки. Это уже во рту смотрите, особенно важны участки по апроксималкам с вестибулярной поверхности, туда очень здорово может пища попадать Ну допустим я делаю снимок и у меня имплантат погружён на 0.5 мм! В конические системах есть технический зазор на вр.абатментах 1.5 мм от платформы импланта ! Теоретически я могу сказать технику , вкрутить вр. Абатмент и от юбки вр. абатмента спилить искусственную дёсну до правильного профиля прорезывания ??? Ссылка на комментарий
alekcandr ovs. Опубликовано 6 июня, 2018 Автор Поделиться Опубликовано 6 июня, 2018 Коллеги скиньте пожалуйста фото , какой формы должна быть идеальная вр. Коронка на импланте !!! 1 Ссылка на комментарий
ReaperGanzA Опубликовано 21 июня, 2018 Поделиться Опубликовано 21 июня, 2018 Юбку не трогайте, 1 мм от конуса не трогайте. Это не имеет смысла так как не стоит постоянно дрючить десневую манжету в этой области, ее нельзя растянуть там, можно только порвать если нарастите в этой области объем. Все что выше 1-1.5 мм от конуса можно расширять и растягивать. Более того, даже если вы расширите эту зону и попытаетесь чтобы фрезерный центр размоделировал вам абатмент с этого уровня, у них это не получится технически Ссылка на комментарий
alekcandr ovs. Опубликовано 4 июля, 2018 Автор Поделиться Опубликовано 4 июля, 2018 Юбку не трогайте, 1 мм от конуса не трогайте. Это не имеет смысла так как не стоит постоянно дрючить десневую манжету в этой области, ее нельзя растянуть там, можно только порвать если нарастите в этой области объем. Все что выше 1-1.5 мм от конуса можно расширять и растягивать. Более того, даже если вы расширите эту зону и попытаетесь чтобы фрезерный центр размоделировал вам абатмент с этого уровня, у них это не получится техническиот конуса имеется в виду от юбки или платформы имплантата??? Ссылка на комментарий
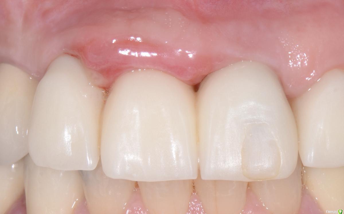
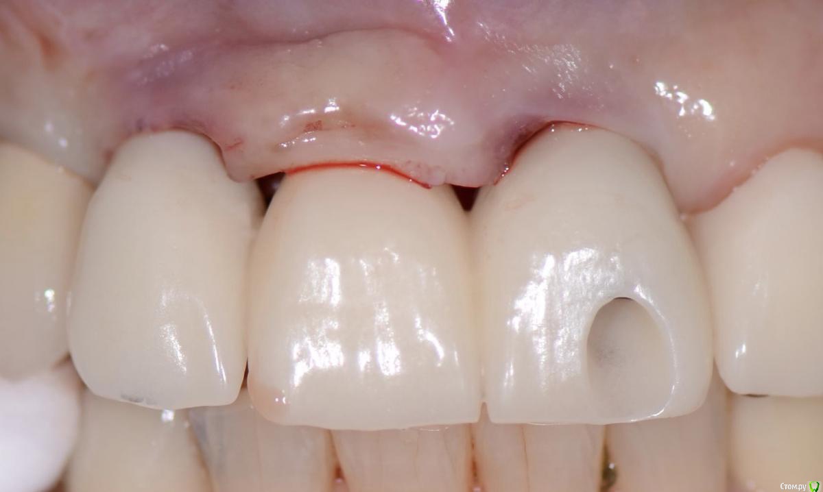
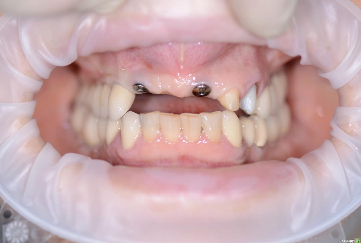
zxc Опубликовано 24 июля, 2018 Поделиться Опубликовано 24 июля, 2018 Коллеги скиньте пожалуйста фото , какой формы должна быть идеальная вр. Коронка на импланте !!!это не идеал но результат дает тот что мне нужен 6 Ссылка на комментарий
zxc Опубликовано 24 июля, 2018 Поделиться Опубликовано 24 июля, 2018 Заказывайте у техника коронку следующего типа: ножка 3мм высотой и диаметром 4.5 - как формирователь. Наддесневая часть чтобы максимально повторяла форму отсутствующего зуба. Коронка на данном этапе будет иметь вид гриба. На этапе замены ФДМ на эту коронку, вы уже можете добавить композита, расширяя диаметр и придавая более правильную и плавную форму перехода из «гриба». Ждём 10-15 минут до исчезновения ишемии десны. На второе/третье посещение повторяем. Главное, чтобы у вас сохранялось переключение платформы, и вы композитом не давили в кость если имплантат глубоко погружён. Если высоты десны недостаточно, чтобы отмоделировать нужный профиль зуба, тогда либо пластику делать, либо остановиться на этом этапе, немного изменив профиль коронки. Это уже во рту смотрите, особенно важны участки по апроксималкам с вестибулярной поверхности, туда очень здорово может пища попадать зачем что-то добавлять и ждать по 10-15 мин исчезновения ишемии если можно просто разрезать десну и все?сколку раз пациент должен приходить и тратить ваше время для формирования десны, лучше все сделать за 1 прием. Ссылка на комментарий
chervoncevdaniil Опубликовано 24 июля, 2018 Поделиться Опубликовано 24 июля, 2018 это не идеал но результат дает тот что мне нуженЭто обычный акрил? Ссылка на комментарий
AndyAndy Опубликовано 25 июля, 2018 Поделиться Опубликовано 25 июля, 2018 зачем что-то добавлять и ждать по 10-15 мин исчезновения ишемии если можно просто разрезать десну и все?сколку раз пациент должен приходить и тратить ваше время для формирования десны, лучше все сделать за 1 прием.А вы можете предугадать какой будет точный профиль прорезывания? Особенно при одиночных коронках во фронте. Как я понял, автор поста спрашивает именно за одиночки Ссылка на комментарий
zxc Опубликовано 25 июля, 2018 Поделиться Опубликовано 25 июля, 2018 (изменено) Это обычный акрил?Из такого делают Изменено 25 июля, 2018 пользователем zxc Ссылка на комментарий
zxc Опубликовано 25 июля, 2018 Поделиться Опубликовано 25 июля, 2018 А вы можете предугадать какой будет точный профиль прорезывания? Особенно при одиночных коронках во фронте. Как я понял, автор поста спрашивает именно за одиночкиРазницы не вижу что одиночная что мост, зависит от количества десны и погружения имхо 1 Ссылка на комментарий
Evgen-Vozhd Опубликовано 26 июля, 2018 Поделиться Опубликовано 26 июля, 2018 (изменено) это не идеал но результат дает тот что мне нуженможно поподробнее про времянки: кто и каким образом изготавливает? Изменено 26 июля, 2018 пользователем Evgen-Vozhd Ссылка на комментарий
zxc Опубликовано 28 июля, 2018 Поделиться Опубликовано 28 июля, 2018 это не идеал но результат дает тот что мне нужен можно поподробнее про времянки: кто и каким образом изготавливает?А что именно Вас интересует? Изготавливает техник, просто руками) 1 Ссылка на комментарий
Evgen-Vozhd Опубликовано 30 июля, 2018 Поделиться Опубликовано 30 июля, 2018 А что именно Вас интересует? Опорой для времянок являются платформы для индивидуальных абатментов?Анатомия изначально делается на воске?каким образом проводится разрез десны при монтаже? Ссылка на комментарий
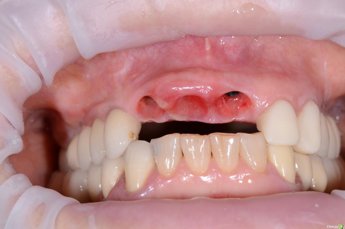
Павел7809 Опубликовано 30 июля, 2018 Поделиться Опубликовано 30 июля, 2018 (изменено) Приветствую коллеги, я думаю что вопрос как раз в эту тему подходящий, выручайте. Собственно ситуация такая. две верхние двойки под удаление. Какие либо варианты с каппами, подвесными зубами невозможны. Решился удалить, поставить импланты сделать временные коронки. Вопросов море а именно. 1. под таким углом вообще допустимо ставить во фронте2.какой должен быть ток на импланте?3. С каким усилием прикручивать временную коронку.ньюансы??? Что то картинку не получается перевернуть(((( Изменено 30 июля, 2018 пользователем Павел7809 Ссылка на комментарий
bakagaidzin Опубликовано 30 июля, 2018 Поделиться Опубликовано 30 июля, 2018 c такими вопросами наверное лучше отправить к опытному хирургу а то дров наломаетеПриветствую коллеги, я думаю что вопрос как раз в эту тему подходящий, выручайте. Собственно ситуация такая. две верхние двойки под удаление. Какие либо варианты с каппами, подвесными зубами невозможны. Решился удалить, поставить импланты сделать временные коронки. Вопросов море а именно. 1. под таким углом вообще допустимо ставить во фронте2.какой должен быть ток на импланте?3. С каким усилием прикручивать временную коронку.ньюансы??? Что то картинку не получается перевернуть(((( Ссылка на комментарий
zxc Опубликовано 30 июля, 2018 Поделиться Опубликовано 30 июля, 2018 Опорой для времянок являются платформы для индивидуальных абатментов?Анатомия изначально делается на воске?каким образом проводится разрез десны при монтаже?опора это временные абатментыанатомия на воске, далее ключ и отжимается пластмассой надрез на верху небный, внизу продольный Ссылка на комментарий
Evgen-Vozhd Опубликовано 1 августа, 2018 Поделиться Опубликовано 1 августа, 2018 опора это временные абатментыанатомия на воске, далее ключ и отжимается пластмассой надрез на верху небный, внизу продольныйПонял. Какая-то коррекция овоидной части коронок проводится при монтаже или техник сразу все как надо делает? Ссылка на комментарий
zxc Опубликовано 1 августа, 2018 Поделиться Опубликовано 1 августа, 2018 Понял. Какая-то коррекция овоидной части коронок проводится при монтаже или техник сразу все как надо делает?Если овоид то как правило делает с излишком, при фиксации откидываю лоскут, смотрю что бы до кости было около 2мм, если нужно то корректирую или пластмассу или кость Ссылка на комментарий
Evgen-Vozhd Опубликовано 3 августа, 2018 Поделиться Опубликовано 3 августа, 2018 Если овоид то как правило делает с излишком, при фиксации откидываю лоскут, смотрю что бы до кости было около 2мм, если нужно то корректирую или пластмассу или костьесть фото как выглядит десна после разреза этапе наложения конструкции? Ссылка на комментарий
Evgen-Vozhd Опубликовано 3 августа, 2018 Поделиться Опубликовано 3 августа, 2018 накладываются ли швы после монтажа конструкции? Ссылка на комментарий
zxc Опубликовано 3 августа, 2018 Поделиться Опубликовано 3 августа, 2018 накладываются ли швы после монтажа конструкции?без швовфото нет, на недели постараюсь сфотографировать для Вас Ссылка на комментарий
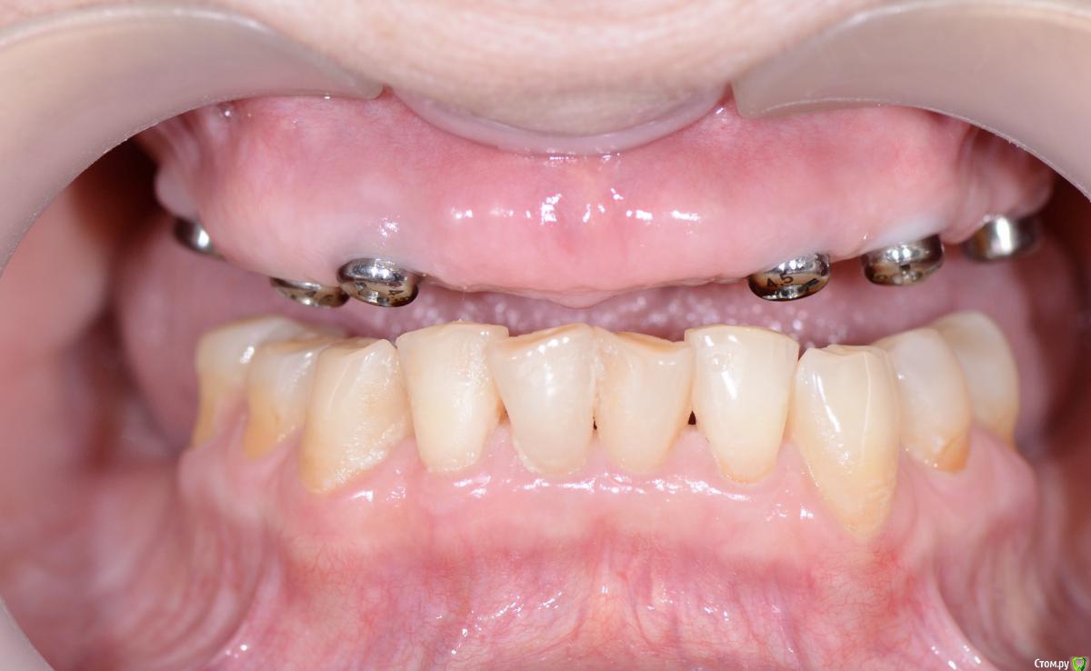
zxc Опубликовано 29 августа, 2018 Поделиться Опубликовано 29 августа, 2018 Один надрез, без швов, без сстВид через 2 недели, провёл осмотр и поменял немного дизайн времянок. Ждём ещё месяц 4 Ссылка на комментарий
Podarev Опубликовано 1 сентября, 2018 Поделиться Опубликовано 1 сентября, 2018 вот после 4 недель ношения времянки (перед этим 2 недели на формике) (36 зуб) контур прорезывания не выпуклый, а вогнутый. ВО время сдачи смотрю на ишемию, проходящая она или нет ( как писали выше минут 15). Пока ждем: контрольный снимок. затем по-необходимости допиливаю или докладываю. Ссылка на комментарий
Рекомендуемые сообщения
Для публикации сообщений создайте учётную запись или авторизуйтесь
Вы должны быть пользователем, чтобы оставить комментарий
Создать аккаунт
Зарегистрируйте новый аккаунт в нашем сообществе. Это очень просто!
Регистрация нового пользователяВойти
Уже есть аккаунт? Войти в систему.
Войти