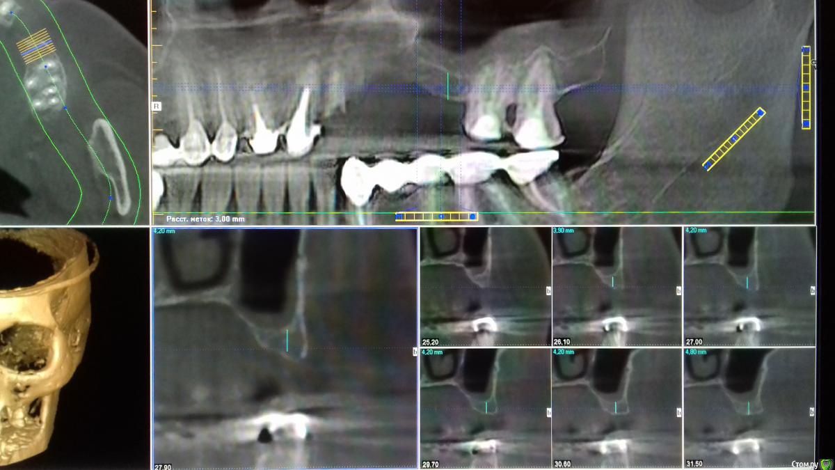
Хью Крейн Опубликовано 4 июня, 2018 Поделиться Опубликовано 4 июня, 2018 Уважаемые коллеги,нужен совет. Изначально план операции был таков:удаление корня 2.2,резекция верхушки корня 2.1, открытый синуслифтинг в области отсутствующего 2.5,вертикальная аугментация в области 2.3,2.4,2.5,консервация лунки 2.2. Закрытый остиум ставит в тупик. Пациент-курильщик. Недавно перенесено респираторное заболевание. 3.3 удален около 3 мес. назад по поводу локального парадонтального очага. Симптомов синусита не наблюдалось. К ЛОРу бы направить,но грамотного нет на примете. Ссылка на комментарий
Aquarius Опубликовано 4 июня, 2018 Поделиться Опубликовано 4 июня, 2018 Здесь закрытым встанет импл.Какой город у вас? Ссылка на комментарий
Хью Крейн Опубликовано 4 июня, 2018 Автор Поделиться Опубликовано 4 июня, 2018 Как вариант:вторым этапом сделать закрытый без графта,подняв на пару мм и имплант короткий зашинировать в общую конструкцию. Возможно,на момент созревания аугментата Кт перед имплантацией покажет остиум в норме. Мск Ссылка на комментарий
Irouil Опубликовано 4 июня, 2018 Поделиться Опубликовано 4 июня, 2018 (изменено) Пробовать переделать КТ на фоне 2 недель гормона и гипертона в нос имхо Изменено 4 июня, 2018 пользователем Irouil Ссылка на комментарий
Рекомендуемые сообщения
Для публикации сообщений создайте учётную запись или авторизуйтесь
Вы должны быть пользователем, чтобы оставить комментарий
Создать аккаунт
Зарегистрируйте новый аккаунт в нашем сообществе. Это очень просто!
Регистрация нового пользователяВойти
Уже есть аккаунт? Войти в систему.
Войти