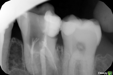
ЛолаN Опубликовано 29 мая, 2018 Поделиться Опубликовано 29 мая, 2018 Добрый день.2 недели назад стал беспокоить зуб.На осмотре стоматолог предложил его удалить. Так как удалять не хотелось, решено было лечить. Доктору добраться удалось только до одного канала.В итоге его рассверлили, почистили и отправили гулять 2 недели. 2 дня назад зуб стал снова беспокоить.После полоскания с содой стала выходить зеленоватая жидкость и зуб перестал беспокоить. Вчера был сделан снимок. Скажите, подлежит ли лечению и восстановлению зуб? Ссылка на комментарий
red_butler Опубликовано 29 мая, 2018 Поделиться Опубликовано 29 мая, 2018 удалять Ссылка на комментарий
ЛолаN Опубликовано 29 мая, 2018 Автор Поделиться Опубликовано 29 мая, 2018 Спасибо за ответ.Не могли бы вы пояснить, почему невозможно восстановить? Ссылка на комментарий
red_butler Опубликовано 29 мая, 2018 Поделиться Опубликовано 29 мая, 2018 Спасибо за ответ.Не могли бы вы пояснить, почему невозможно восстановить?Большая степень разрушения Ссылка на комментарий
ЛолаN Опубликовано 29 мая, 2018 Автор Поделиться Опубликовано 29 мая, 2018 Спасибо. Ссылка на комментарий
Рекомендуемые сообщения
Для публикации сообщений создайте учётную запись или авторизуйтесь
Вы должны быть пользователем, чтобы оставить комментарий
Создать аккаунт
Зарегистрируйте новый аккаунт в нашем сообществе. Это очень просто!
Регистрация нового пользователяВойти
Уже есть аккаунт? Войти в систему.
Войти