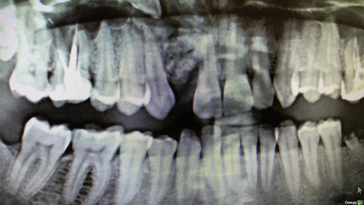
NickBulin Опубликовано 24 мая, 2018 Поделиться Опубликовано 24 мая, 2018 (изменено) Здравствуйте! Планировалась имплантация в области 1.2 зуба, кто нибудь сталкивался с подобной картиной?) В полости рта небольшое безболезненное уплотнение в проекции образования. Без кт, возможно ли предположить что это? Интересует дальнейшая тактика. Изменено 24 мая, 2018 пользователем NickBulin Ссылка на комментарий
Дмитрий Л. Опубликовано 24 мая, 2018 Поделиться Опубликовано 24 мая, 2018 Цементома. Ну или графт 1 Ссылка на комментарий
Nazim_NV86 Опубликовано 25 мая, 2018 Поделиться Опубликовано 25 мая, 2018 КТ сделайте. Клык запасной? Маленькую ревизию не помешало бы сделать. Ссылка на комментарий
NickBulin Опубликовано 25 мая, 2018 Автор Поделиться Опубликовано 25 мая, 2018 (изменено) На кт направил сразу. Ретенция 1.2. На его месте последние 10 лет носился съёмный протез "бабочка". Изменено 25 мая, 2018 пользователем NickBulin Ссылка на комментарий
Рекомендуемые сообщения
Для публикации сообщений создайте учётную запись или авторизуйтесь
Вы должны быть пользователем, чтобы оставить комментарий
Создать аккаунт
Зарегистрируйте новый аккаунт в нашем сообществе. Это очень просто!
Регистрация нового пользователяВойти
Уже есть аккаунт? Войти в систему.
Войти