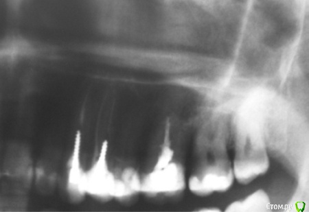
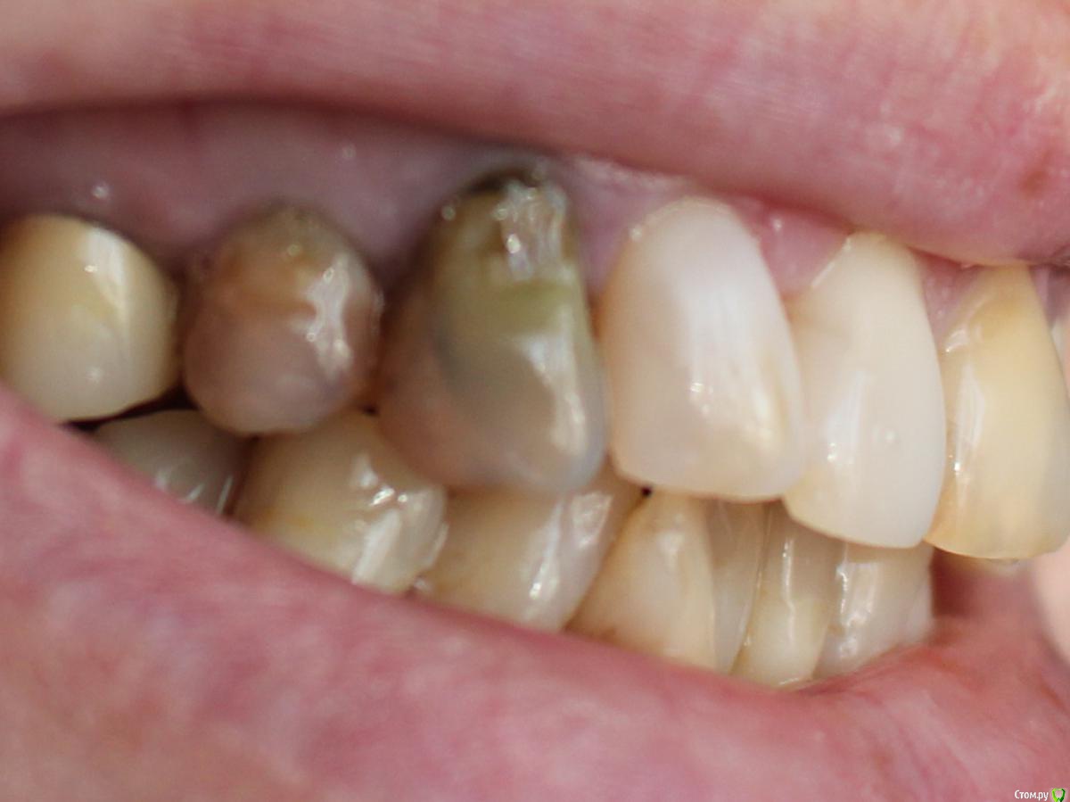
стихия Опубликовано 20 мая, 2018 Поделиться Опубликовано 20 мая, 2018 Здравствуйте, уважаемые стоматологи. Прошу вашего совета вот по такому вопросу. Лет 15 назад у меня были лечены правые верхние 3-й и 4-й зубы. Были запломбированы каналы и в каждый зуб вкручен анкер. Зубы с того времени не беспокоят, стоят надежно. Но есть одна проблема: со временем они стали просто отвратительного серо-желтого цвета и эстетически это выглядит мягко скажем не очень красиво. Несколько раз обращалась к врачам с просьбой что-то сделать с этими зубами, как-то их отбелить, наклеить винир или коронку на крайний случай - все отказывались (( Говорят, выкручивать анкера в моем случае не безопасно, можно разломать корни. Отбеливать тоже отказывались, говорили не поможет, т.к. от самих зубов мало что осталось. И вот недавно, попала я к одному врачу, который сказал, что переделает мне эти зубы. Снимет анкера, поставит стекловолокно, отбелит, нарастит. Я конечно очень обрадовалась и согласилась, но немного побаиваюсь и сомневаюсь: стоит ли их все-таки трогать, может действительно есть большая вероятность, что корни расколются и тогда только удаление... Посмотрите, пожалуйста, мои снимки, и подскажите, есть ли шансы эти зубы переделать и привести в нормальный вид, или лучше не трогать? И если анкера достанут, может лучше сразу коронки одевать? Пы.Сы. каналы в этих зубах вероятнее всего распломбировать не удастся... был аналогичный зуб слева (лечен тем же доктором в то же время) - пришлось удалить из-за кисты, канал не прошли. Ссылка на комментарий
red_butler Опубликовано 20 мая, 2018 Поделиться Опубликовано 20 мая, 2018 при грамотном подходе анкера легко и безопасно извлекаются Ссылка на комментарий
St. Опубликовано 20 мая, 2018 Поделиться Опубликовано 20 мая, 2018 при грамотном подходе анкера легко и безопасно извлекаются+1А коронки будут наиболее надежным и эстетичным вариантом восстановления Ссылка на комментарий
Рекомендуемые сообщения
Для публикации сообщений создайте учётную запись или авторизуйтесь
Вы должны быть пользователем, чтобы оставить комментарий
Создать аккаунт
Зарегистрируйте новый аккаунт в нашем сообществе. Это очень просто!
Регистрация нового пользователяВойти
Уже есть аккаунт? Войти в систему.
Войти