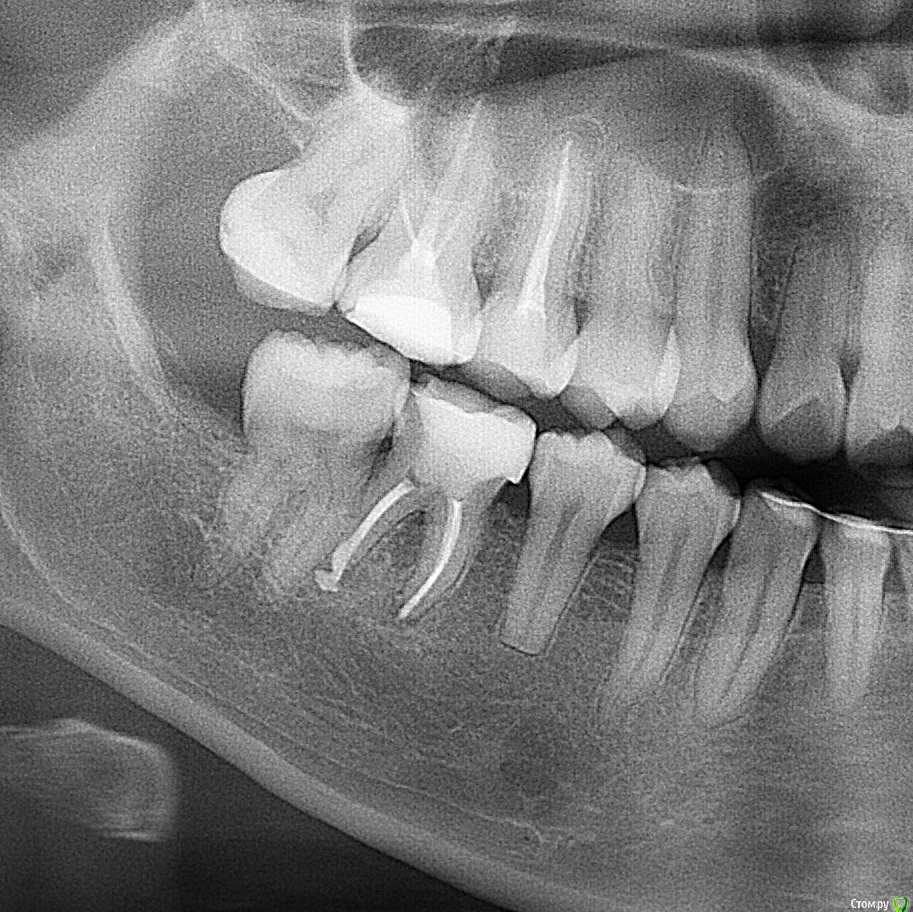
Анастасия2706 Опубликовано 20 мая, 2018 Поделиться Опубликовано 20 мая, 2018 (изменено) Здравствуйте! 2 месяца назад на задней стенке шестёрки появилась дырочка, пломбу на зуб ставили лет 5 назад, нерв удален. Зуб не беспокоил. К стоматологу обратилась только сейчас.Он заключил, что нужно ставить коронку. Ортопед заметил потемнение между корнями, сказал, что установка коронки может усугубить процесс, но всё-таки было решено ставить коронку с вкладкой. 1. Можно ли это делать в таком случае? Меня этот зуб давно не беспокоил, но последние дни начал болеть. Точнее, болит не зуб, а десна рядом с дырочкой при нажатии на неё.2. Может ли быть причиной то, что обострилось воспаление? Или скорее то, что в отверстие постоянно попадает пища и я беспокою его зубочисткой? 3. Может ли это воспаление рассосаться после установки коронки? Прочитала на форуме, у одной девушки после пломбирования каналов так и произошло. Посоветуйте, пожалуйста!На снимке нижний зуб второй слева. Изменено 20 мая, 2018 пользователем Анастасия2706 Ссылка на комментарий
red_butler Опубликовано 20 мая, 2018 Поделиться Опубликовано 20 мая, 2018 нужно смотреть очно или сделать Кт Ссылка на комментарий
Дмитрий Л. Опубликовано 20 мая, 2018 Поделиться Опубликовано 20 мая, 2018 Воспаление десны устраняется протезированием, всё верно. Зуб ещё послужит. 1 Ссылка на комментарий
red_butler Опубликовано 20 мая, 2018 Поделиться Опубликовано 20 мая, 2018 Воспаление десны устраняется протезированием, всё верно. Зуб ещё послужит.только если не подтвердится фуркационный дефект, который видно на снимке... Ссылка на комментарий
Дмитрий Л. Опубликовано 20 мая, 2018 Поделиться Опубликовано 20 мая, 2018 Подтвердится... Ссылка на комментарий
Анастасия2706 Опубликовано 21 мая, 2018 Автор Поделиться Опубликовано 21 мая, 2018 Подтвердится...Скажите, пожалуйста, большая вероятность, что он в последствии обостриться?В таком случае, Есть ли какие-то альтернативные и щадящие методы, кроме удаления одного из корней? Ссылка на комментарий
Дмитрий Л. Опубликовано 22 мая, 2018 Поделиться Опубликовано 22 мая, 2018 У вас кариес 46 по задней стенке. Следствие - скопление налёта и острые грани, приводящие к травме десны. Возможно что есть кариес 47 по передней стенке, что также играет роль. Протезирование или пломбирование решает вопрос. Разрежение между корнями нуждается в очной консультации, это может быть вариантом нормы или же дополнительной причиной воспаления. Врач это увидит. Зуб достаточно проблемный но при отсутствии другой симптоматики можно протезировать, на несколько лет хватит. Но вы должны взять риски на себя. Удаление одного из корней и любые другие подобные паллиативные методы бессмысленны. По показаниям можно сделать кюретаж, почистить всё между корнями. Это решает ваш врач. Ссылка на комментарий
Гарриевич Опубликовано 22 мая, 2018 Поделиться Опубликовано 22 мая, 2018 Кто> консультация> диагноз > лечение/наблюдение Ссылка на комментарий
Рекомендуемые сообщения
Для публикации сообщений создайте учётную запись или авторизуйтесь
Вы должны быть пользователем, чтобы оставить комментарий
Создать аккаунт
Зарегистрируйте новый аккаунт в нашем сообществе. Это очень просто!
Регистрация нового пользователяВойти
Уже есть аккаунт? Войти в систему.
Войти