Перейти к содержанию
Стоматология для всех

Есть ли киста на зубах?


Рекомендуемые сообщения

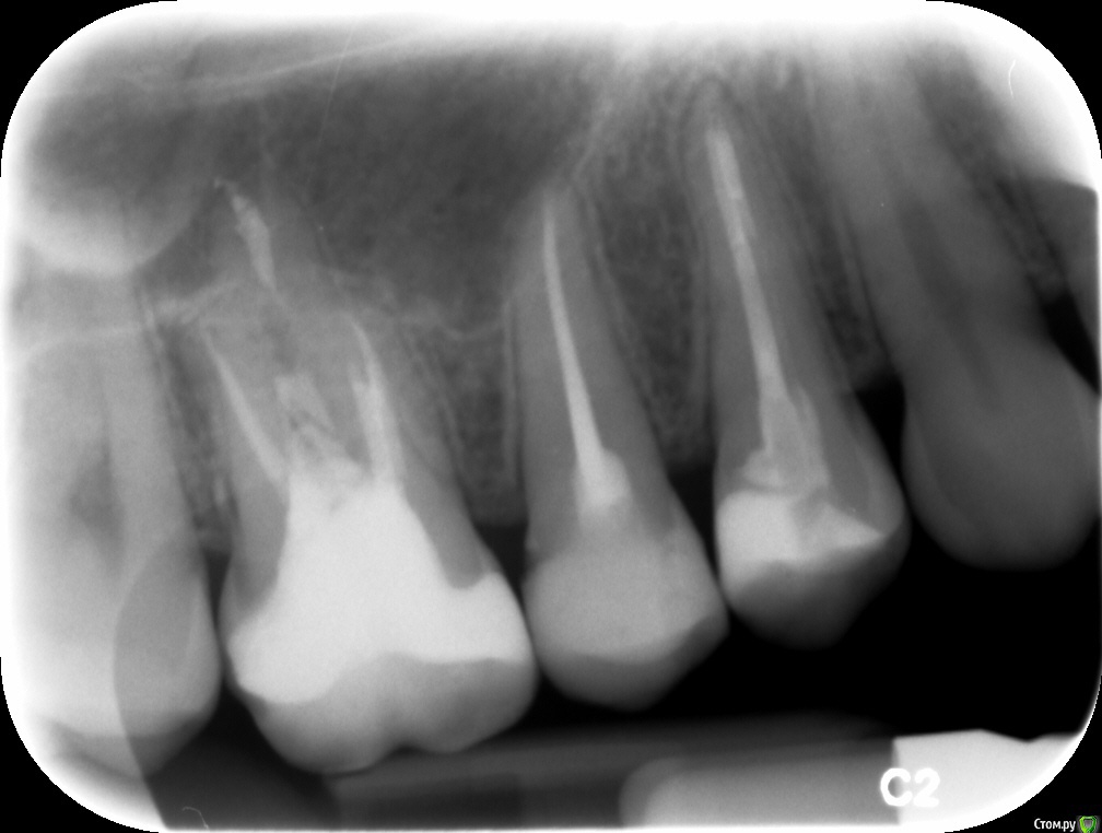
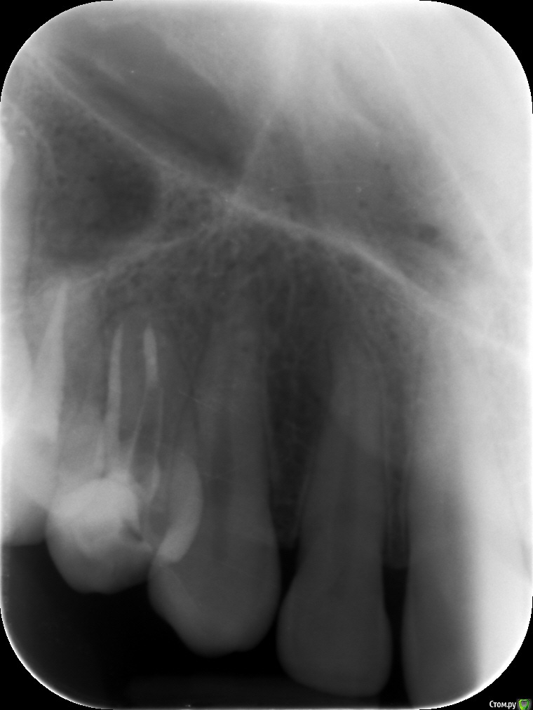
Здравствуйте. Подскажите пожалуйста,как выглядят зубы после лечения? Было две кисты .как правильно считать зубы не знаю.верхние правые 4 и 6

Спасибо.

post-49942-0-02902700-1526574729_thumb.jpg

post-49942-0-10715600-1526574748_thumb.jpg

Ссылка на комментарий

Для публикации сообщений создайте учётную запись или авторизуйтесь

Вы должны быть пользователем, чтобы оставить комментарий

Создать аккаунт

Зарегистрируйте новый аккаунт в нашем сообществе. Это очень просто!

Регистрация нового пользователя

Войти

Уже есть аккаунт? Войти в систему.

Войти
×
×
  • Создать...
Вверх