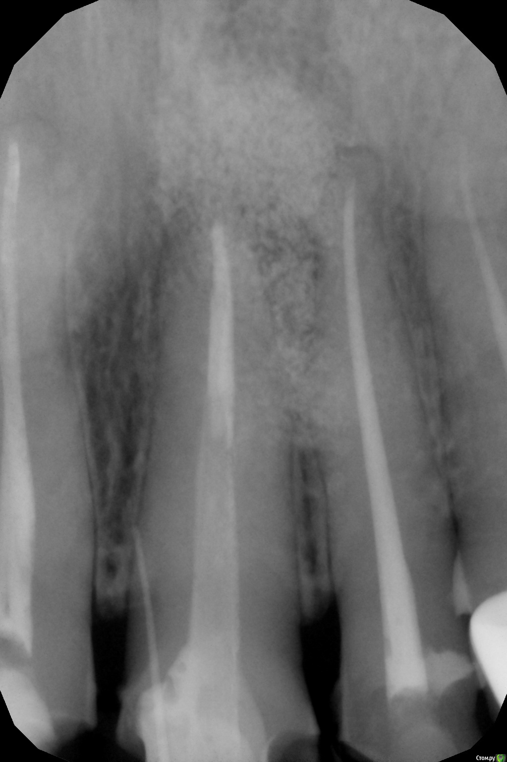
Vilka Опубликовано 17 мая, 2018 Поделиться Опубликовано 17 мая, 2018 Добрый день уважаемые специалисты. Моя история: http://forum.stom.ru/topic/30641-rezektciia-21-zuba/http://forum.stom.ru/topic/31532-oslozhneniia-posle-rezektcii-izlishki-kostnogo-ma/ Если кратко: у меня опять рецидив кисты на единичке слева. На десне образовалось уплотнение, терапевт, сделав снимок, сказала, что это свищ, но кисту не видит. Отправили на КТ, посмотрев его хирург, который проводил резекцию, сказал, что киста сбоку корня (но где именно не знаю, так как с этим врачом мне пока пересечься не удалось). Вердикт: зуб удалять. Ну или опять резекция. В другой клинике кисту сбоку не видят, видят ее сверху, где темное пятно. В этой клинике зуб также советуют удалять. Врач, который проводил резекцию ранее мне объяснял, что темное пятно КТ это пустота, которая образовалась из-за удаления излишков биоса - на предыдущих кт это пятно уже было. Вопрос: удалять в любом случае? Срез смогла сделать только такой.Ссылка на КТ https://ru.files.fm/u/7zzyga5n Заранее всем спасибо. Ссылка на комментарий
Bier Опубликовано 17 мая, 2018 Поделиться Опубликовано 17 мая, 2018 Я так понимаю, что при резекции ретроградной пломбировки не было, что удивляться тогда наличию свища? Надо запломбировать. Ссылка на комментарий
Vilka Опубликовано 17 мая, 2018 Автор Поделиться Опубликовано 17 мая, 2018 Я так понимаю, что при резекции ретроградной пломбировки не было, что удивляться тогда наличию свища? Надо запломбировать.Да, все верно, ее, к сожалению не было, как потом мне объяснил хирург, корень спилен до штифта, но по моему это не так. То есть возможно ещё спасти зуб, если провести очередную резекцию? Ссылка на комментарий
АнтонТЛТ Опубликовано 17 мая, 2018 Поделиться Опубликовано 17 мая, 2018 Конечно спасать надо Ссылка на комментарий
Vilka Опубликовано 17 мая, 2018 Автор Поделиться Опубликовано 17 мая, 2018 Конечно спасать надоПопробую найти врача. Но не знаю, как третий разрез переживёт слизистая, после второго вскрытия еле зашили, возле уздечки слизистая рвалась. Забыла добавить, терапевт мне сказала, что воспаление сбоку вероятно из за перфорации корня, поэтому она не видит смысла сохранения зуба. Ссылка на комментарий
Дмитрий Л. Опубликовано 18 мая, 2018 Поделиться Опубликовано 18 мая, 2018 Жалобы только на уплотнение десны? Когда оперировали? Когда появилось уплотнение? Других жалоб нет? Отделяемого нет? Боль в десне в том месте есть когда трогаете? Моё мнение : при отсутствии других жалоб подождать месяц-другой. Через два месяца повторить рентген. Ссылка на комментарий
Vilka Опубликовано 22 мая, 2018 Автор Поделиться Опубликовано 22 мая, 2018 Жалобы только на уплотнение десны? Когда оперировали? Когда появилось уплотнение? Других жалоб нет? Отделяемого нет? Боль в десне в том месте есть когда трогаете? Моё мнение : при отсутствии других жалоб подождать месяц-другой. Через два месяца повторить рентген. Добрый день. Оперировали первый раз в октябре 2015 года, потом в марте 2016 года убирали излишки биоса.Уплотнение появилось в начале апреля, небольшое отделяемое есть, уплотнение в виде шарика, часть которого белая (это видимо гной), сдувается, потом опять наполняется. Десна не болит. Других жалоб нет (ну иногда зуб поднывает, но к слову: он у меня 2 года с момента проведения резекции ныл до тех пор пока я второй раз не обратилась к неврологу. Врач выписал препараты и зуб ныть перестал). Ссылка на комментарий
Nazim_NV86 Опубликовано 30 мая, 2018 Поделиться Опубликовано 30 мая, 2018 излишки биоса. Никогда там не будет кисты. Нет условий для её образования. Будет пухнуть только десна и иногда свищевать. Потяните какое-то время и придётся ставить имплантат. И как бы там не пришлось этот био-осс выковыривать. Ссылка на комментарий
Vilka Опубликовано 31 мая, 2018 Автор Поделиться Опубликовано 31 мая, 2018 Никогда там не будет кисты. Нет условий для её образования. Будет пухнуть только десна и иногда свищевать. Потяните какое-то время и придётся ставить имплантат. И как бы там не пришлось этот био-осс выковыривать.Сорри, кистой мы, простые люди, привыкли называть воспалительный процесс, а так конечно ее там нет. Да, скорее всего имплантацией у меня все и закончится, ибо врачей, желающих помочь спасти мой зуб, нет. Да и с моей кашей-малашей перспективы туманные. Большинство за удаление. Затягивать не хочу, ибо это чревато потерей кости (хотя и так уже затянула на два месяца: ищу врачей для тотального протезирования, которым планирую заняться после удаления этого зуба). Ссылка на комментарий
red_butler Опубликовано 31 мая, 2018 Поделиться Опубликовано 31 мая, 2018 ищу врачей для тотального протезирования, которым планирую заняться после удаления этого зуба). http://forum.stom.ru/topic/9249-posovetujte-ortopeda-v-gorode-n/ Ссылка на комментарий
Vilka Опубликовано 31 мая, 2018 Автор Поделиться Опубликовано 31 мая, 2018 http://forum.stom.ru/topic/9249-posovetujte-ortopeda-v-gorode-n/Спасибо, сейчас там напишу (я написала в разделе: ищу хирурга, пока тишина) Ссылка на комментарий
red_butler Опубликовано 31 мая, 2018 Поделиться Опубликовано 31 мая, 2018 Спасибо, сейчас там напишу (я написала в разделе: ищу хирурга, пока тишина)Так же Вы можете посмотреть работы врачей в профессиональных разделах и постучаться к ним в личку Ссылка на комментарий
Vilka Опубликовано 31 мая, 2018 Автор Поделиться Опубликовано 31 мая, 2018 Так же Вы можете посмотреть работы врачей в профессиональных разделах и постучаться к ним в личкуСпасибо за идею, я думала об этом, но как то стеснялась. Ссылка на комментарий
Bier Опубликовано 31 мая, 2018 Поделиться Опубликовано 31 мая, 2018 я же дал вам контакты ) Ссылка на комментарий
Vilka Опубликовано 31 мая, 2018 Автор Поделиться Опубликовано 31 мая, 2018 я же дал вам контакты )Да, спасибо. Я записалась на 7е июня, жду приема. Ссылка на комментарий
Рекомендуемые сообщения
Для публикации сообщений создайте учётную запись или авторизуйтесь
Вы должны быть пользователем, чтобы оставить комментарий
Создать аккаунт
Зарегистрируйте новый аккаунт в нашем сообществе. Это очень просто!
Регистрация нового пользователяВойти
Уже есть аккаунт? Войти в систему.
Войти