Перейти к содержанию
Стоматология для всех

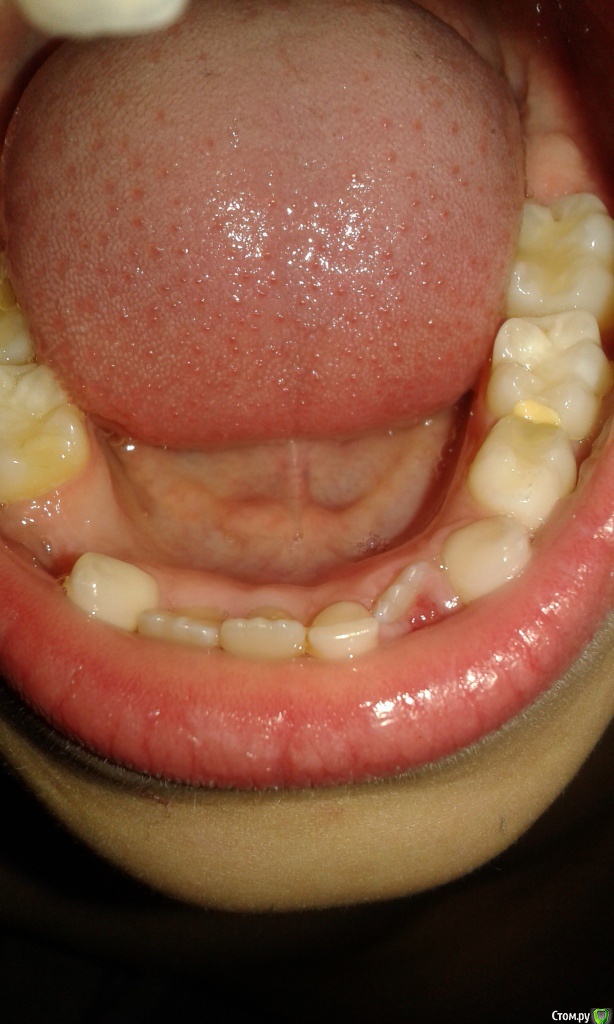
Между нижними резцами всего три коренных зуба, что делать?


Сергей П

Рекомендуемые сообщения

Здравствуйте.

Помогите пожалуйста

Суть проблемы в следующем.

В 5,5 лет сделали 3D снимок, на котором видно, что всего три зачатка коренных зубов между нижними резцами.

На сегодня ребенку 7 лет и у него вылезли все три коренных нижних зуба, но остался еще один нижний молочный зуб в этом ряду.

Вопрос состоит в том, что делать с этим молочным нижним зубом.

 

Прошу Вас дать совет.

post-35271-0-59508300-1525528470_thumb.jpg

post-35271-0-37602000-1525528478_thumb.jpg

post-35271-0-21694800-1525528485_thumb.jpg

Изменено пользователем Сергей П
Ссылка на комментарий

 

 

что делать с этим молочным нижним зубом

Пока ничего не делать.Когда нет зачатка постоянного молочные стоят относительно долго, во взрослом возрасте ( после 20 лет примерно)  или когда начнет шататься удалить и имплант.

Ссылка на комментарий

Для публикации сообщений создайте учётную запись или авторизуйтесь

Вы должны быть пользователем, чтобы оставить комментарий

Создать аккаунт

Зарегистрируйте новый аккаунт в нашем сообществе. Это очень просто!

Регистрация нового пользователя

Войти

Уже есть аккаунт? Войти в систему.

Войти
×
×
  • Создать...
Вверх