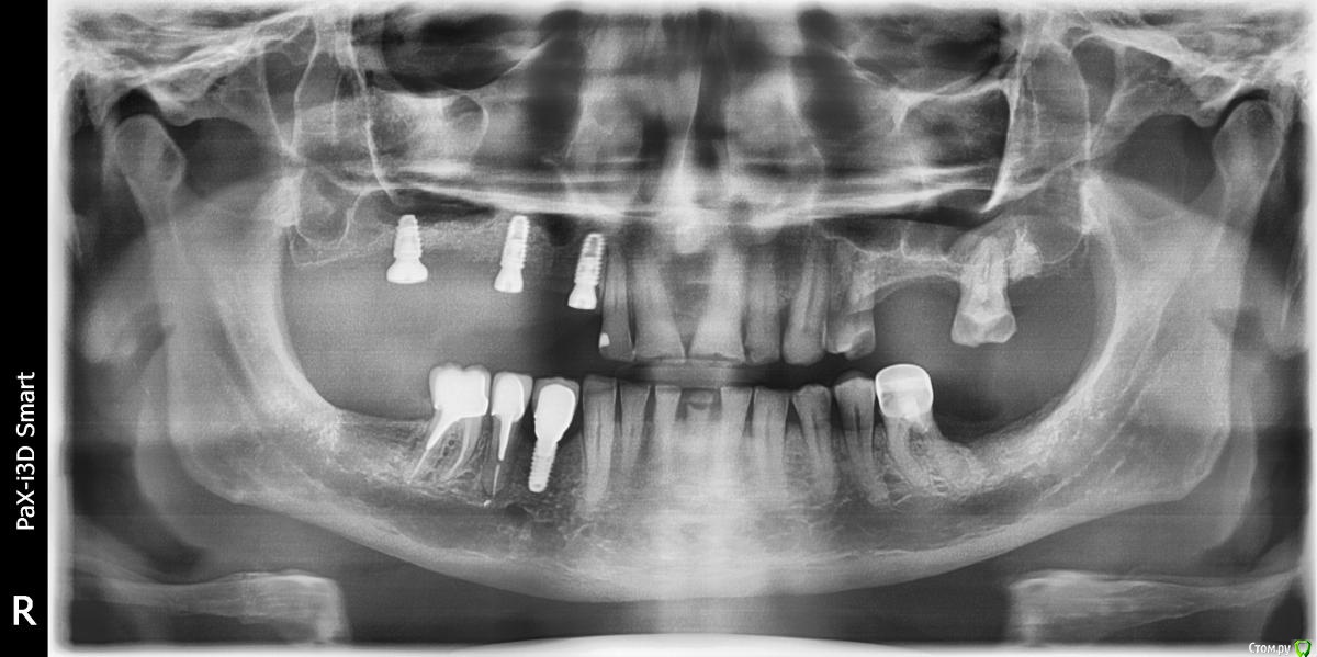
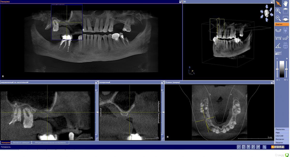
kamranchick Опубликовано 4 мая, 2018 Поделиться Опубликовано 4 мая, 2018 Обратился пациент после очередной халтуры которыми радуют меня коллеги из соседних клиник)фотопротокол ни как у Сашки Гудкова но более-менее понятно))Обратился пациент, в соседней клинике удаляли зуб, корень протолкнули в пазуху, далее пациент попал в ЧЛХ, там сделали радикальную гайморотомию, все достали, и вот попал пациент ко мне, так как в другой клинике сказали что у вас тут залу*а, а не кость, ну и погнали.1. пытался остро отслоиться, перфа на перфе, закрывал prf, мембранами, губками, стики бон + синус имплантация. ожидание 9 месяцев2. Пластика мягких тканей ожидание 2 месяца. 13 Ссылка на комментарий
krokomot Опубликовано 4 мая, 2018 Поделиться Опубликовано 4 мая, 2018 а рентген?)) 1 Ссылка на комментарий
kamranchick Опубликовано 4 мая, 2018 Автор Поделиться Опубликовано 4 мая, 2018 а рентген?))Есть кт до, и есть панорамник)завтра могу это все скинуть если интересно Ссылка на комментарий
krokomot Опубликовано 4 мая, 2018 Поделиться Опубликовано 4 мая, 2018 канэшна)) Ссылка на комментарий
kamranchick Опубликовано 4 мая, 2018 Автор Поделиться Опубликовано 4 мая, 2018 канэшна))Добренько) Ссылка на комментарий
Irouil Опубликовано 5 мая, 2018 Поделиться Опубликовано 5 мая, 2018 Гребень, конечно, был ужасный. Симпатично. Почему Паллачи? Ссылка на комментарий
kamranchick Опубликовано 5 мая, 2018 Автор Поделиться Опубликовано 5 мая, 2018 Гребень, конечно, был ужасный. Симпатично. Почему Паллачи?Я бы не сказал что это прям Палаччи)бугра нету так такого... плюс тут апикально надо было смещать, было 2 вариант, стрип, либо сдт около формиков, решил остановиться на таком варианте. Ссылка на комментарий
kamranchick Опубликовано 5 мая, 2018 Автор Поделиться Опубликовано 5 мая, 2018 канэшна)) Ссылка на комментарий
Nazim_NV86 Опубликовано 5 мая, 2018 Поделиться Опубликовано 5 мая, 2018 Хорошая работа. Осстем. Ссылка на комментарий
Kazankov.Egor Опубликовано 5 мая, 2018 Поделиться Опубликовано 5 мая, 2018 Обратился пациент после очередной халтуры которыми радуют меня коллеги из соседних клиник)фотопротокол ни как у Сашки Гудкова но более-менее понятно))Обратился пациент, в соседней клинике удаляли зуб, корень протолкнули в пазуху, далее пациент попал в ЧЛХ, там сделали радикальную гайморотомию, все достали, и вот попал пациент ко мне, так как в другой клинике сказали что у вас тут залу*а, а не кость, ну и погнали.1. пытался остро отслоиться, перфа на перфе, закрывал prf, мембранами, губками, стики бон + синус имплантация. ожидание 9 месяцев2. Пластика мягких тканей ожидание 2 месяца.К кому сходить на мягкие ткани? Посоветуйте пожалуйста. Ссылка на комментарий
kamranchick Опубликовано 5 мая, 2018 Автор Поделиться Опубликовано 5 мая, 2018 К кому сходить на мягкие ткани? Посоветуйте пожалуйста.Купите 2 книги. Сато и ЦураИ пару голов свиней и тренируйтесь.Лучшая учеба будет.Нежели тратить время на непонятные курсы... 1 Ссылка на комментарий
Irouil Опубликовано 5 мая, 2018 Поделиться Опубликовано 5 мая, 2018 Синусил и крутил одновременно? О_ОКупите 2 книги. Сато и ЦураИ пару голов свиней и тренируйтесь.Лучшая учеба будет.Нежели тратить время на непонятные курсы...Конкретно этого варианта, ЕМНИП, ни в Сато, ни в Цуре (в старом, по крайней мере) нет. Ссылка на комментарий
kamranchick Опубликовано 5 мая, 2018 Автор Поделиться Опубликовано 5 мая, 2018 Синусил и крутил одновременно? О_ОКонкретно этого варианта, ЕМНИП, ни в Сато, ни в Цуре (в старом, по крайней мере) нет.Тут я простило логически представил что куда и как))Ну и у паллачи подсмотрел Ссылка на комментарий
Карен Аванесов Опубликовано 5 мая, 2018 Поделиться Опубликовано 5 мая, 2018 Сложная работа. молодец Камран. покажи потом чек ап с ортопедией Ссылка на комментарий
Kazankov.Egor Опубликовано 5 мая, 2018 Поделиться Опубликовано 5 мая, 2018 Купите 2 книги. Сато и ЦураИ пару голов свиней и тренируйтесь.Лучшая учеба будет.Нежели тратить время на непонятные курсы...Спасибо! Ссылка на комментарий
Kazankov.Egor Опубликовано 5 мая, 2018 Поделиться Опубликовано 5 мая, 2018 Тут я простило логически представил что куда и как))Ну и у паллачи подсмотрелА у него книги тоже есть? Ссылка на комментарий
kamranchick Опубликовано 5 мая, 2018 Автор Поделиться Опубликовано 5 мая, 2018 Сложная работа. молодец Камран. покажи потом чек ап с ортопедиейСпасибо дорогой хорошо Ссылка на комментарий
kamranchick Опубликовано 5 мая, 2018 Автор Поделиться Опубликовано 5 мая, 2018 А у него книги тоже есть?Видео на ютубе Ссылка на комментарий
Eddie Опубликовано 7 мая, 2018 Поделиться Опубликовано 7 мая, 2018 У вас тут в области 13 и 15 диаметры имплантатов 3.5(3.8)? Выдержат такую конструкцию? Ссылка на комментарий
kamranchick Опубликовано 7 мая, 2018 Автор Поделиться Опубликовано 7 мая, 2018 У вас тут в области 13 и 15 диаметры имплантатов 3.5(3.8)? Выдержат такую конструкцию?ну да, а что ей будет) связанная конструкция, на израиле 3.75, служат) Ссылка на комментарий
kamranchick Опубликовано 7 мая, 2018 Автор Поделиться Опубликовано 7 мая, 2018 после таких манипуляций люди даже готовы жесткое не кушать)) Ссылка на комментарий
Nazim_NV86 Опубликовано 8 мая, 2018 Поделиться Опубликовано 8 мая, 2018 У вас тут в области 13 и 15 диаметры имплантатов 3.5(3.8)? Выдержат такую конструкцию?Есть пациенты с 3,5 на молярах. Более 7 лет. Всё Ок. Ссылка на комментарий
kamranchick Опубликовано 8 мая, 2018 Автор Поделиться Опубликовано 8 мая, 2018 Есть пациенты с 3,5 на молярах. Более 7 лет. Всё Ок.если на оригинальной протетике и отработана окклюзия то ничего не будет, на фейсбуке сергей гайзаков показывал очень много трещин вдоль имплантата, так что лучше не испытывать судьбу)) Ссылка на комментарий
Рекомендуемые сообщения
Для публикации сообщений создайте учётную запись или авторизуйтесь
Вы должны быть пользователем, чтобы оставить комментарий
Создать аккаунт
Зарегистрируйте новый аккаунт в нашем сообществе. Это очень просто!
Регистрация нового пользователяВойти
Уже есть аккаунт? Войти в систему.
Войти