kamranchick Опубликовано 4 мая, 2018 Поделиться Опубликовано 4 мая, 2018 Добрый день Уважаемые коллеги, имеются проблемы с ортодонтией в нашем славном городе.Какие будут предложения по кейсу, сколько визитов и по ценникам, можно в личку.Пациент готов ездить в другие городаP.S пациент тоже будет следить за ходом этой ветки))) Ссылка на комментарий
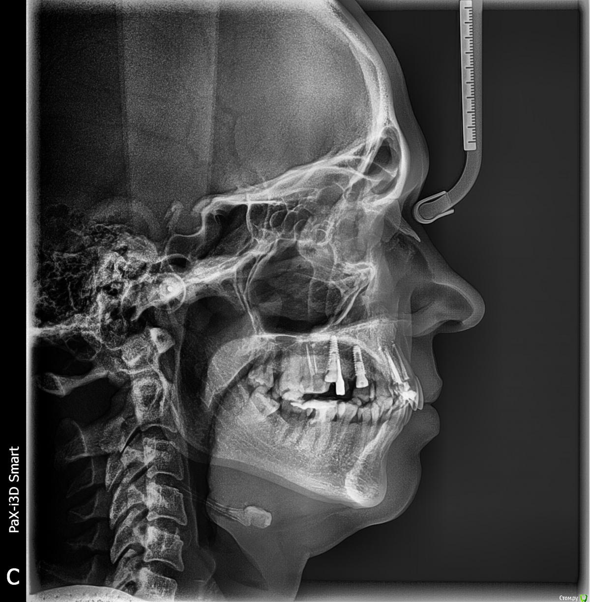
krokomot Опубликовано 4 мая, 2018 Поделиться Опубликовано 4 мая, 2018 А импланты уже успели установить. 1 Ссылка на комментарий
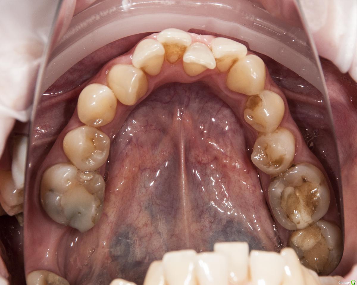
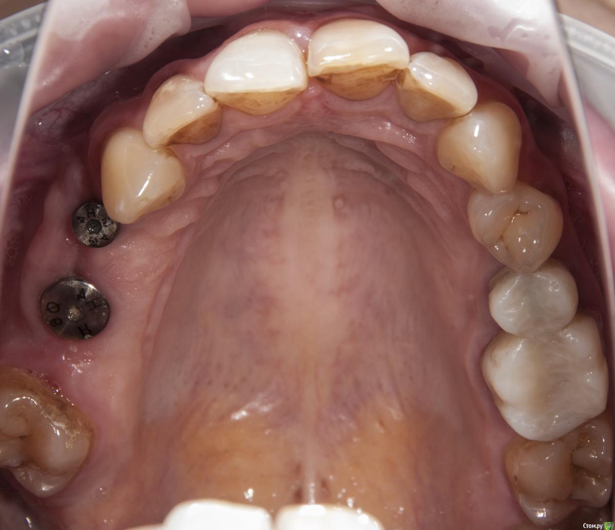
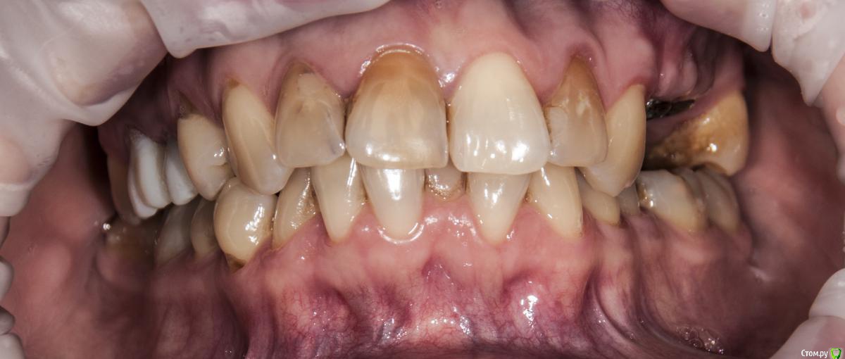
kamranchick Опубликовано 4 мая, 2018 Автор Поделиться Опубликовано 4 мая, 2018 А импланты уже успели установить.Как видите вопросов много конечно, но что можно предложить имея такую картину. Ссылка на комментарий
krokomot Опубликовано 4 мая, 2018 Поделиться Опубликовано 4 мая, 2018 а снижение высоты есть? Ссылка на комментарий
kamranchick Опубликовано 4 мая, 2018 Автор Поделиться Опубликовано 4 мая, 2018 а снижение высоты есть?Ну углы рта опущены, модели не видел Ссылка на комментарий
krokomot Опубликовано 4 мая, 2018 Поделиться Опубликовано 4 мая, 2018 не ужели так плохо ортодонтами в ульяновске? Ссылка на комментарий
kamranchick Опубликовано 4 мая, 2018 Автор Поделиться Опубликовано 4 мая, 2018 не ужели так плохо ортодонтами в ульяновске?Здесь на данный момент проблема с пародонтологами, лорами, ортодонтами, это те специалисты с кем я пытаюсь сотрудничать, но в итоге ничего путного, боюсь в других сферах вообще катастрофа, так что милости просим к нам на Колыму) ой, в Ульяновск) Ссылка на комментарий
krokomot Опубликовано 4 мая, 2018 Поделиться Опубликовано 4 мая, 2018 в данной ситуации конечно шляпа у пациента, если совсем все плохо, можно бы, ло бы просанировать для начала, снять скан, затем, поробовать на инвизилайнерах решить основные проблемы в окклюзии , затем тотальное протезирование. Идейка конечно не айс, но всё же выход. Ссылка на комментарий
Brigita Опубликовано 5 мая, 2018 Поделиться Опубликовано 5 мая, 2018 Это правильная идея. Ссылка на комментарий
kamranchick Опубликовано 5 мая, 2018 Автор Поделиться Опубликовано 5 мая, 2018 Понял)) спасибо) Ссылка на комментарий
Рекомендуемые сообщения
Для публикации сообщений создайте учётную запись или авторизуйтесь
Вы должны быть пользователем, чтобы оставить комментарий
Создать аккаунт
Зарегистрируйте новый аккаунт в нашем сообществе. Это очень просто!
Регистрация нового пользователяВойти
Уже есть аккаунт? Войти в систему.
Войти