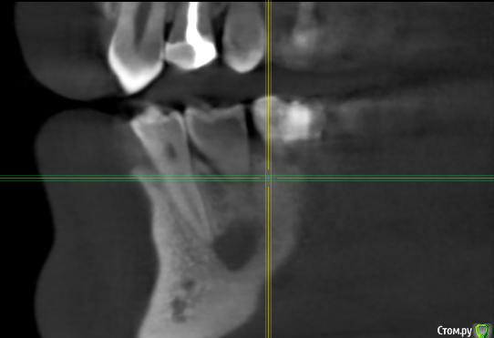
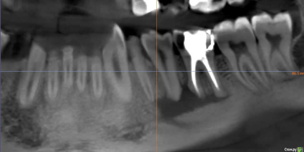
kramer Опубликовано 2 мая, 2018 Поделиться Опубликовано 2 мая, 2018 Коллеги! Помогите, пожалуйста, советом. Пациент обратился с жалобами на зуб 36, характерными для периодонтита (дискомфорт при накусывании, периодические обострения и т.д.). Зубы 35,34 интактные. Сделал КТ, вот что там: Синус-тракт в области 36: Область 35: Мезиально очаг поражения достигает апекса 34 и, видимо, уже частично разрушил компактную пластинку: Если это обычный периодонтит, то 1) почему такие странные очертания очага (или не странные?) 2) с 36 все понятно, но как могли быть поражены 35 и 34? Ссылка на комментарий
Евгений Ходыкин Опубликовано 2 мая, 2018 Поделиться Опубликовано 2 мая, 2018 Дак Вы 3.4 и 3.5 на витальность то проверили?? Ссылка на комментарий
kramer Опубликовано 3 мая, 2018 Автор Поделиться Опубликовано 3 мая, 2018 Дак Вы 3.4 и 3.5 на витальность то проверили??Да. Забыл написать. 34 витальный, 35 нет Ссылка на комментарий
Дмитрий Л. Опубликовано 3 мая, 2018 Поделиться Опубликовано 3 мая, 2018 Вы боитесь онко? Когда симптоматика появилась? Когда шестой лечили? Свищ есть или он неактивный сейчас? После лечения шестого симптоматика сохранялась? Есть снимки любые в этой области раньше? Как лимфоузлы? Я считаю, что это хр. гранулирующий периодонтит, согласен с вашим диагнозом. Вопрос только от пятого или от пятого и шестого (моляр недопломбирован). Ссылка на комментарий
kramer Опубликовано 3 мая, 2018 Автор Поделиться Опубликовано 3 мая, 2018 Вы боитесь онко? Когда симптоматика появилась? Когда шестой лечили? Свищ есть или он неактивный сейчас? После лечения шестого симптоматика сохранялась? Есть снимки любые в этой области раньше? Как лимфоузлы? Я считаю, что это хр. гранулирующий периодонтит, согласен с вашим диагнозом. Вопрос только от пятого или от пятого и шестого (моляр недопломбирован).36 лечен давным давно, свищ не активен. Я думаю, периодонтит 36 вследствие неудовлетворительного эндо. Мне неясно, почему поражены 34 и 35. Изначально пациент пришёл с прицельным снимком, на котором видна эта "амеба". Дифдиагноз был между периодонтитом, травматической костной кистой и кератокистой. Вариант 2 отпал после КТ, т.к. компактная пластинка оказалась разрушена у апексов упомянутых зубов. Ссылка на комментарий
Дмитрий Л. Опубликовано 3 мая, 2018 Поделиться Опубликовано 3 мая, 2018 Биопсия даст все ответы. Реально провести? Ссылка на комментарий
TIGER Опубликовано 3 мая, 2018 Поделиться Опубликовано 3 мая, 2018 Коллеги! Помогите, пожалуйста, советом. Пациент обратился с жалобами на зуб 36, характерными для периодонтита (дискомфорт при накусывании, периодические обострения и т.д.). Зубы 35,34 интактные. Сделал КТ, вот что там: раф1.png Синус-тракт в области 36:раф2.png Область 35:раф3.png Мезиально очаг поражения достигает апекса 34 и, видимо, уже частично разрушил компактную пластинку:раф4.png Если это обычный периодонтит, то 1) почему такие странные очертания очага (или не странные?) 2) с 36 все понятно, но как могли быть поражены 35 и 34? Гранулирующий периодонтит от 6 зуба.... Ссылка на комментарий
Nazim_NV86 Опубликовано 5 мая, 2018 Поделиться Опубликовано 5 мая, 2018 Во первых периодонтит старый. Корни деформированы. Во вторых тип кости такой, поэтому и очаг такой. Об эндо уже поздно говорить. Ссылка на комментарий
Nazim_NV86 Опубликовано 5 мая, 2018 Поделиться Опубликовано 5 мая, 2018 Биопсия даст все ответы. Реально провести?Вот после удаления и узнает ) Ссылка на комментарий
Рекомендуемые сообщения
Для публикации сообщений создайте учётную запись или авторизуйтесь
Вы должны быть пользователем, чтобы оставить комментарий
Создать аккаунт
Зарегистрируйте новый аккаунт в нашем сообществе. Это очень просто!
Регистрация нового пользователяВойти
Уже есть аккаунт? Войти в систему.
Войти