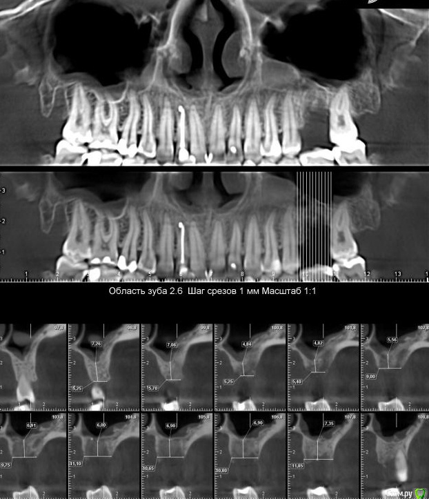
sole13 Опубликовано 26 апреля, 2018 Поделиться Опубликовано 26 апреля, 2018 посоветуйте, пожалуйста недавно удалили 26 зуб. КТ на дату 14 апреля (2, 5 месяца после удаления). Насколько я понимаю, в среднем у меня 6 мм кости. Возможен ли в моем случае закрытый синус лифтинг (а не открытый) и имплант 9 на 5 мм будет достаточен ?( высота и ширина) про достаточность - подразумевается, что конструкция будет выдерживать жевательную нагрузку на протяжении многих лет и при протезировании не будет "лошадиной" коронки. спасибо! Ссылка на комментарий
Aquarius Опубликовано 26 апреля, 2018 Поделиться Опубликовано 26 апреля, 2018 (изменено) Мне доводилось при 4 мм ставить закрытымВ данной ситуации только закрытый и показан. Изменено 26 апреля, 2018 пользователем Aquarius 1 Ссылка на комментарий
sole13 Опубликовано 26 апреля, 2018 Автор Поделиться Опубликовано 26 апреля, 2018 Мне доводилось при 4 мм ставить закрытымВ данной ситуации только закрытый и показан.насколько я понимаю, при закрытом максимум будет 9 мм имплантат,этого хватит при нагрузке на жевательных зубах? Ссылка на комментарий
колесников Опубликовано 26 апреля, 2018 Поделиться Опубликовано 26 апреля, 2018 На днях пациент заходил по другому поводу,увидел на кт «это». Вы спрашивали о достаточности и предпочтениях в мм. Ссылка на комментарий
sole13 Опубликовано 27 апреля, 2018 Автор Поделиться Опубликовано 27 апреля, 2018 На днях пациент заходил по другому поводу,увидел на кт «это». Вы спрашивали о достаточности и предпочтениях в мм. вот я и не хочу аналогичной ситуации в будущем,поэтому и спрашиваю) Ссылка на комментарий
Bier Опубликовано 27 апреля, 2018 Поделиться Опубликовано 27 апреля, 2018 нагрузку испытывают только первые 3 мм имплантата. Так что 9мм имплантат абсолютно нормальный. Я делаю закрытый и с 1-2 мм иногда. 1 Ссылка на комментарий
dok1 Опубликовано 27 апреля, 2018 Поделиться Опубликовано 27 апреля, 2018 Где бы этому поучиться... для меня это пока высший пилотаж. Ссылка на комментарий
Bier Опубликовано 27 апреля, 2018 Поделиться Опубликовано 27 апреля, 2018 Где бы этому поучиться... для меня это пока высший пилотаж.это и есть высший пилотаж, операция делается на тактильных ощущениях хирурга. Ссылка на комментарий
колесников Опубликовано 27 апреля, 2018 Поделиться Опубликовано 27 апреля, 2018 На самом деле все не так сложно. Самое главное застабилизировать Имплант в этом 1 мм. Ссылка на комментарий
sole13 Опубликовано 28 апреля, 2018 Автор Поделиться Опубликовано 28 апреля, 2018 поняла. т е тут возможен закрытый синус лифтинг а как убирается дефицит кости не в сторону гайморовой пазухи, а к десне? добавляется искусственная кость (костная пластика)? Ссылка на комментарий
Bier Опубликовано 28 апреля, 2018 Поделиться Опубликовано 28 апреля, 2018 поняла. т е тут возможен закрытый синус лифтинг а как убирается дефицит кости не в сторону гайморовой пазухи, а к десне? добавляется искусственная кость (костная пластика)?да, костная пластика Ссылка на комментарий
sole13 Опубликовано 30 апреля, 2018 Автор Поделиться Опубликовано 30 апреля, 2018 без пластики костной в моей ситуации не надежно?понравился хирург, но костную пластику делать не рекомендует, считает что десной можно обойтись Ссылка на комментарий
Bier Опубликовано 30 апреля, 2018 Поделиться Опубликовано 30 апреля, 2018 без пластики костной в моей ситуации не надежно?понравился хирург, но костную пластику делать не рекомендует, считает что десной можно обойтисья с ним согласен. лучше закрытый синус и десны добавить Ссылка на комментарий
Irouil Опубликовано 2 мая, 2018 Поделиться Опубликовано 2 мая, 2018 (изменено) Коронка все равно выйдет большая, длинная вернее. Без костной пластики в сторону полости рта делать короткую коронку ненадёжно. По крайней мере по масштабам сделанных Вами срезов кажется именно так. Но я тоже согласен на 100, зуб боковой, эстетику не каждый стоматолог заметит при осмотре, с точки зрения надёжности и предсказуемости результатов синус лифт и имплантация. Да и запротезируетесь раньше. Изменено 2 мая, 2018 пользователем Irouil Ссылка на комментарий
sole13 Опубликовано 2 мая, 2018 Автор Поделиться Опубликовано 2 мая, 2018 (изменено) спасибо за мнениевозможно, я не так спрашиваю.. но я уточняла, что я не хочу лошадиную коронку, а хочу нормальную и чтобы зубы не отличались друг от друга. доктор сказал - да, так и будет. то есть тут наоборот ситуация, пациент просит больше вмешательств, а доктор не соглашается Изменено 2 мая, 2018 пользователем sole13 Ссылка на комментарий
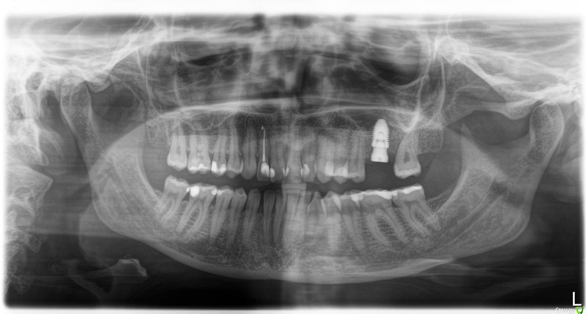
sole13 Опубликовано 5 мая, 2018 Автор Поделиться Опубликовано 5 мая, 2018 (изменено) уважаемые врачи, спасибо за мнения! решила выложить 3-4 снимка до финального момента,возможно, это будет полезно другим пациентам.------------------ вчера была имплантация, в силу моих ограничений временных был доступен врач,практикующий на Нобеле, поэтому с астрой и рекомендациями не сложилось установлен нобель коникал конекшен (pmc) 10 на 5 мм с закрытым синус лифтингом и формирователем сразу же. назначены стандартные антибиотики и противоотечные.на втором этапе через 3-4 месяца договорились решить про десневую пластику,далее временная коронка на 2-3 месяца и постоянная.врач говорит что скорее всего коронка будет выше остальных,но я надеюсь на десну и незаметность. пластику кости доктор, к сожалению, сказал что не сделает в моем случае одномоментно остео синтетическими материалами,только долго и дорого с куском своей кости и т д. перед началом операции врач предупредил что 50 на 50 закрытый или открытый синус, удалось с закрытым в моем случае. вся операция длилась 25 мин: сначала разрезали,потом посверлили ,потом постучали молотком, потом еще посверлили, потом попросили надуть щеки с зажатым носом,чтобы проверить отсутствие перфораций,потом имплант, формирователь и сами швы. потом снимок и принудительно 2 укола внутримышечно дексометазон и антибиотик, лед в руки и отпустили домой. Изменено 5 мая, 2018 пользователем sole13 1 Ссылка на комментарий
Aquarius Опубликовано 5 мая, 2018 Поделиться Опубликовано 5 мая, 2018 Все хорошо! Не переживайте! Ссылка на комментарий
Irouil Опубликовано 5 мая, 2018 Поделиться Опубликовано 5 мая, 2018 Все звучит и выглядит достойно. П. С. Коллеги, это паралел? Не узнаю в гриме Ссылка на комментарий
sole13 Опубликовано 5 мая, 2018 Автор Поделиться Опубликовано 5 мая, 2018 Все звучит и выглядит достойно. П. С. Коллеги, это паралел? Не узнаю в гримеу меня на сертификате написано:nobel replace conical connection PMC RP 5X10 1 Ссылка на комментарий
Bier Опубликовано 7 мая, 2018 Поделиться Опубликовано 7 мая, 2018 это не параллел, это риплейс СС Ссылка на комментарий
sole13 Опубликовано 18 мая, 2018 Автор Поделиться Опубликовано 18 мая, 2018 уважаемые хирурги, подскажите - как можно понять , что с оболочкой гайморовой пазухи все в порядке после закрытого синуса?после него уже около 2 недель постоянное ощущение слизи в носоглотке,назонекс и синупред не помогают, не заболевала, со стороны полости рта все хорошо,отделяемого из носа (типа гноя ) нет. Ссылка на комментарий
sole13 Опубликовано 10 августа, 2018 Автор Поделиться Опубликовано 10 августа, 2018 (изменено) уважаемые хирурги, прошу ваш совет 3 месяца назад было сделана имплантация 26 зуба, закрытый синус,сделано повторное свежее КТ через 3 месяца у меня ощущение постоянного комка слизи в носоглотке с момента операции (иногда отплевывается часть и это оч густое содержимое). пила 2 курса синупреда, 2 месяца на море, 2 курса ринофлоимуцила прокапала. если чуть заболеваю, то слева ощущение тяжести в крыле носа как при гайморите. хирург говорит, что перфорации гайморовой нет и в 50% случаях это нормальная реакция гайморовой - выделять слизь, что через месяца 3-4 у меня это пройдет. действительно гайморова пазуха не перфорирована и ощущение слизи -норма? еще меня смущает черная область вверху импланта справа на снимке и черное под имплантом и справа по вертикали - что это? Изменено 10 августа, 2018 пользователем sole13 Ссылка на комментарий
Irouil Опубликовано 10 августа, 2018 Поделиться Опубликовано 10 августа, 2018 Выскажу только свое частное мнение, что если носовой комплекс на 4 недели Назонексом/Аквамарисом/Полидексой/Виброцилом не поможет и после его отмены/во время его проведения больше двух недель симптомы сохранятся, то надо будет раскрывать латеральным окном пазуху и чистить ее дно, проводя паралельно новый синус лифт вокруг этого или, скорее, нового имплантата. Ссылка на комментарий
Neilrus Опубликовано 10 августа, 2018 Поделиться Опубликовано 10 августа, 2018 и я бы еще обратил внимание на 24 зуб, срезы бы посмотреть Ссылка на комментарий
Рекомендуемые сообщения
Для публикации сообщений создайте учётную запись или авторизуйтесь
Вы должны быть пользователем, чтобы оставить комментарий
Создать аккаунт
Зарегистрируйте новый аккаунт в нашем сообществе. Это очень просто!
Регистрация нового пользователяВойти
Уже есть аккаунт? Войти в систему.
Войти