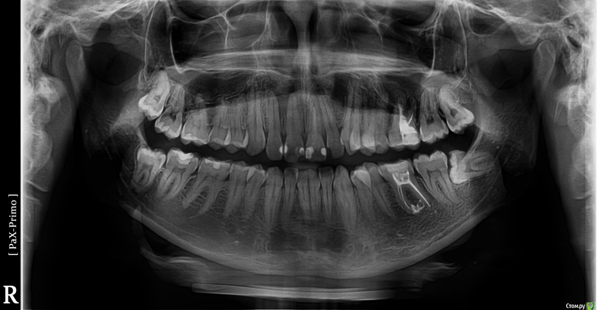
Chelsea Опубликовано 25 апреля, 2018 Поделиться Опубликовано 25 апреля, 2018 (изменено) Добрый день! Намереваюсь поставить брекеты, походил на консультации и разные ортодонты советуют удалять разное количество зубов мудрости. На данный момент уже удалили верхний слева, и точно буду удалять нижний слева. Вопрос - можно ли НЕ удалять восьмерки справа? (их два ортодонты советовали удалять "за компанию", один же требовал удаления всех). С точки зрения ортодонтии - не приведет ли удаление зубов мудрости только с одной стороны к ассиметрии, или к другим последствиям?Снимок прилагается.Спасибо! Изменено 25 апреля, 2018 пользователем Chelsea Ссылка на комментарий
red_butler Опубликовано 26 апреля, 2018 Поделиться Опубликовано 26 апреля, 2018 http://forum.stom.ru/topic/4655-patcientam/я бы удалил все 1 Ссылка на комментарий
Brigita Опубликовано 26 апреля, 2018 Поделиться Опубликовано 26 апреля, 2018 К ассиметрии не приведёт. Удалять лучше все восьмерки 2 Ссылка на комментарий
Monkey Опубликовано 2 мая, 2018 Поделиться Опубликовано 2 мая, 2018 Добрый день! Намереваюсь поставить брекеты, походил на консультации и разные ортодонты советуют удалять разное количество зубов мудрости. На данный момент уже удалили верхний слева, и точно буду удалять нижний слева. Вопрос - можно ли НЕ удалять восьмерки справа? (их два ортодонты советовали удалять "за компанию", один же требовал удаления всех). С точки зрения ортодонтии - не приведет ли удаление зубов мудрости только с одной стороны к ассиметрии, или к другим последствиям?Снимок прилагается.Спасибо! убирать все 1 Ссылка на комментарий
Opdihatop Опубликовано 3 июня, 2018 Поделиться Опубликовано 3 июня, 2018 Да все убирать конечно. Ссылка на комментарий
Рекомендуемые сообщения
Для публикации сообщений создайте учётную запись или авторизуйтесь
Вы должны быть пользователем, чтобы оставить комментарий
Создать аккаунт
Зарегистрируйте новый аккаунт в нашем сообществе. Это очень просто!
Регистрация нового пользователяВойти
Уже есть аккаунт? Войти в систему.
Войти