Перейти к содержанию
Стоматология для всех

Уважаемые врачи ортодонты помогите советом. Мезиальный прикус.


hitack

Рекомендуемые сообщения

Уважаемые врачи, доброго времени суток. Просьба высказать свое мнение по лечению, может быть подсказать направление, в какую сторону двигаться.

Мне 34 года, прикус мезиальный, наследственный. Решил исправить прикус. Есть нюанс по состоянию зубов, единицы, двойки, четверки и пятерки - коронки из композитного материала (световая пломба), после решения вопроса прикуса планирую заняться протезированием. Сходил к ортодонту, посоветовали съездить в Екб на консультацию в УГМУ. Съездил на консультацию, сказали что только операция с ортодонтической подготовкой до и после операции. При этом сказали, что удалять ничего не надо. 

В Екб не наездишься, начал искать ортодонта в своем городе.

Первый ортодонт, молодой врач. Посмотрел, сказал что готов взяться, но нужно будет удалять зубы точно, он предложил подготовить план лечения и ехать его согласовывать к хирургу в Екб. Смутило, что нужно удалять, взял паузу.

Второй ортодонт, взрослая опытная женщина. Посмотрела, сделала слепки, сказала, что можно попробывать без операции, если не получится готовится к операции, при этом удалять ничего не надо.

Хотел бы отметить, что отношусь с большим уважением ко всем врачам которых я посетил и вообще к профессии отодонта. 

Вопрос к вам уважаемые доктора, выскажите свое мнение исходя из своего опыта. Склоняюсь с работой по второму варианту, но тревожит мысль как бы не потерять время и деньги и не разочароваться. Может стоит ехать к челюстно-лицевому хирургу, если по этому варианту идти может вообще можно обойтись без брекетов.

post-52955-0-92746500-1524675019_thumb.jpgpost-52955-0-70004400-1524675034_thumb.jpgpost-52955-0-73464800-1524675053_thumb.jpgpost-52955-0-66217900-1524675069_thumb.jpgpost-52955-0-50445200-1524675087_thumb.jpgpost-52955-0-85773200-1524675107_thumb.jpgОТПГ.pdfpost-52955-0-77132300-1524675210_thumb.jpg

Ссылка на комментарий

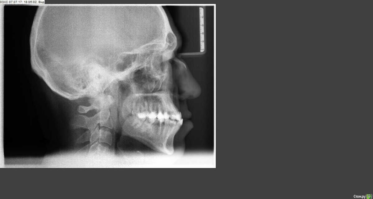
Уважаемые врачи, доброго времени суток. Просьба высказать свое мнение по лечению, может быть подсказать направление, в какую сторону двигаться.

Мне 34 года, прикус мезиальный, наследственный. Решил исправить прикус. Есть нюанс по состоянию зубов, единицы, двойки, четверки и пятерки - коронки из композитного материала (световая пломба), после решения вопроса прикуса планирую заняться протезированием. Сходил к ортодонту, посоветовали съездить в Екб на консультацию в УГМУ. Съездил на консультацию, сказали что только операция с ортодонтической подготовкой до и после операции. При этом сказали, что удалять ничего не надо. 

В Екб не наездишься, начал искать ортодонта в своем городе.

Первый ортодонт, молодой врач. Посмотрел, сказал что готов взяться, но нужно будет удалять зубы точно, он предложил подготовить план лечения и ехать его согласовывать к хирургу в Екб. Смутило, что нужно удалять, взял паузу.

Второй ортодонт, взрослая опытная женщина. Посмотрела, сделала слепки, сказала, что можно попробывать без операции, если не получится готовится к операции, при этом удалять ничего не надо.

Хотел бы отметить, что отношусь с большим уважением ко всем врачам которых я посетил и вообще к профессии отодонта. 

Вопрос к вам уважаемые доктора, выскажите свое мнение исходя из своего опыта. Склоняюсь с работой по второму варианту, но тревожит мысль как бы не потерять время и деньги и не разочароваться. Может стоит ехать к челюстно-лицевому хирургу, если по этому варианту идти может вообще можно обойтись без брекетов.

attachicon.gifIMG_4156.JPGattachicon.gifIMG_4157.JPGattachicon.gifIMG_4158.JPGattachicon.gifIMG_4159.JPGattachicon.gifIMG_4160.JPGattachicon.gifIMG_4162.JPGattachicon.gifОТПГ.pdfattachicon.gifТРГ.jpg

 

Попробуйте найти врача, владеющего многопетлевой дугой, вполне возможно, что и операции удастся избежать. Но, если хотите изменения профиля лица - только ортогнатическая операция.

Ссылка на комментарий

Для публикации сообщений создайте учётную запись или авторизуйтесь

Вы должны быть пользователем, чтобы оставить комментарий

Создать аккаунт

Зарегистрируйте новый аккаунт в нашем сообществе. Это очень просто!

Регистрация нового пользователя

Войти

Уже есть аккаунт? Войти в систему.

Войти
×
×
  • Создать...
Вверх